有一位患者,在路边看牙的小摊上听说了松动牙固定这一名词,便要求我给他进行这一治疗。
所谓松牙固定术,就是将松动的牙齿,通过夹板互相连接,并固定在健康稳固的邻牙上,形成一个咀嚼群体。这样就避免了松动牙被拔掉的命运。

患者一开始有些抱怨,为什么有的大夫就建议我拔牙?人家路边摊都能做的松动牙固定,你们这么大的医院怎么就不能做呢?
非不能也,是不为也。
因为,松动牙固定,也是有适应症的。不是所有人都适合这一治疗。
针对牙周炎导致的松动牙,只有在牙周治疗后,软组织炎症已经控制,咬合干扰已经消除的情况下,仍然进行性松动的牙齿才能够进行松动牙固定。
但牙周炎未经牙周治疗,或经治疗,牙周组织炎症仍未消退,或口腔卫生仍不佳者,不易急于做松牙固定术。
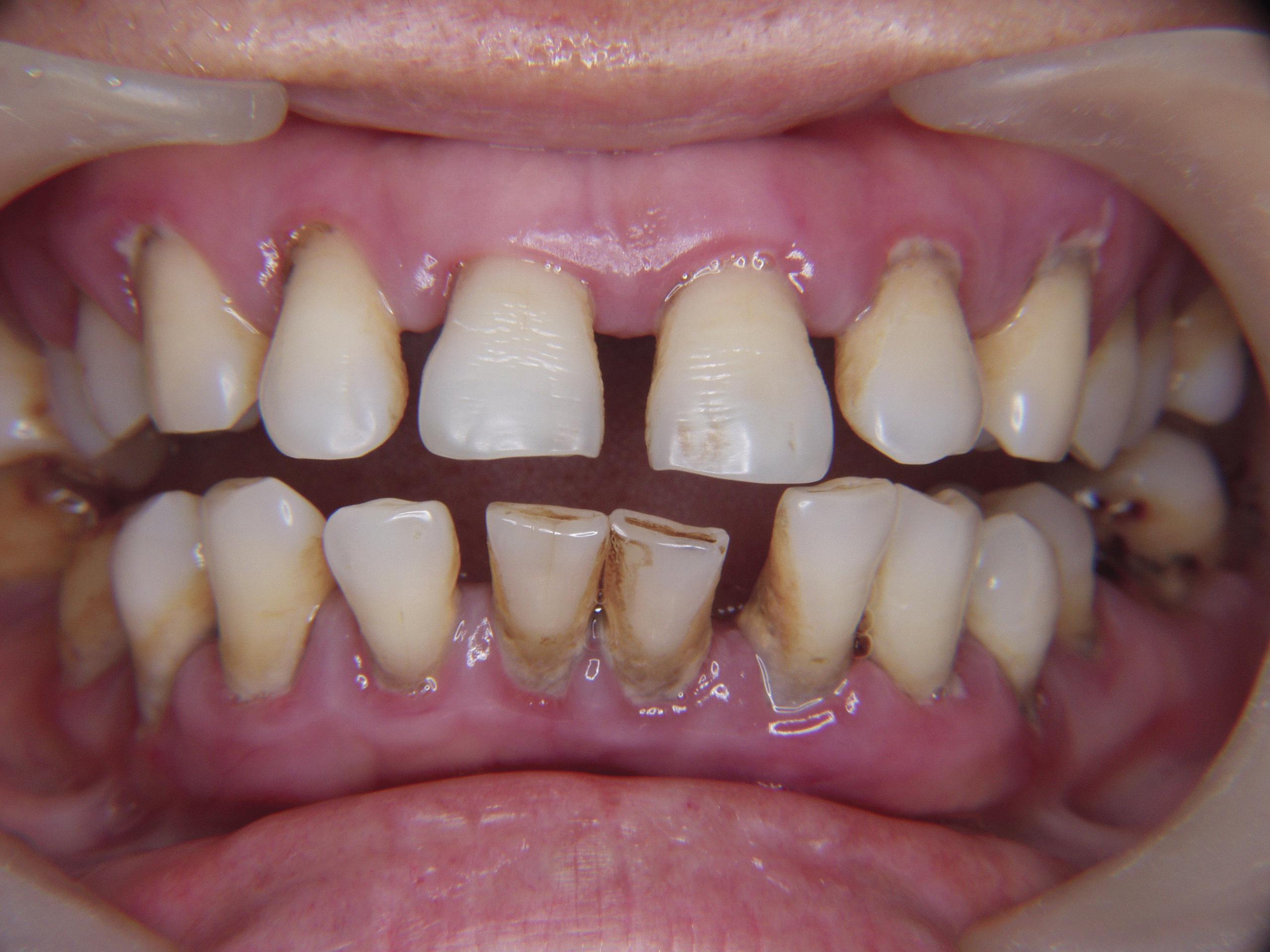
而这位患者的口腔状况如何呢?
请看下图,患者从来没有进行过牙周治疗,牙齿周围存在大量的牙石,牙周炎症较重,根本不符合松动牙固定的适应症。

只有经过牙周系统治疗,牙周炎得到控制,才能进行固定。而且固定之后也不是万无一失,仍然需要患者本人维护良好的口腔卫生。
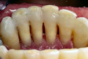
经过一番交流,患者终于明白治疗的流程,开始了第一阶段的牙周基础治疗——龈上洁治,龈下刮治。
松动牙固定术的过程,就是用不同的材料,将松动牙和健康牙连接固定在一起。目前比较常用的是钢丝+树脂或者玻璃纤维来进行固定。

松动牙固定后,局部更加容易停留菌斑,形成牙石,因此更加要固定牙齿的清洁,掌握有效的菌斑控制方法。
否则,局部的牙周炎症得不到有效的控制,仍会继续进展。最终,松动牙还是难逃脱落的命运。

我是口腔科海霞医生,欢迎关注,欢迎收藏,欢迎转发。