
来源:新乡医学影像
商务合作:[email protected]
版主微信号:fsslong2
1
腹部平片解剖

2
腹部平片正常表现
腹部脏器有实质器官和空腔脏器之分,其正常腹平片表现不同。
● 腹平片上实质器官的正常表现:
实质器官:肝、胰、脾和肾等是中等密度,但借助于器官周围或邻近的脂肪组织和相邻充气肠胃的对比,于腹平片上,可显示器官的轮廓、大小、形状及位置。
正位片在部分病人可显示肝下缘,肝下缘与肝外缘相交形成肝角,一般呈锐角。
脾上极与左膈影融合,下极较圆钝。而肾沿腰大肌上部排列。
胰腺于平片上不易显示。子宫偶尔显影,位于膀胱上缘上方呈扁圆形软组织影。
● 空腔脏器在腹平片上的主要表现:
空腔器官:膀胱的脏壁为中、胆囊和肠胃道等密度,依腔内容物不同而x线表现不同。
胃、十二指肠球部及结肠内可含气体,于腹平片上可显示其内腔。小肠除婴幼儿可有积气外,一般充满食糜及消化液,与肠壁同属中等密度,因缺乏对比而不能显示。
如胃内有较多固态食物,结肠或直肠内有较多粪便,由于它们周围有气体衬托,故可显出软组织密度斑片或团块影。
结肠分布于腹部四周。膀胱和胆囊周围有较多脂肪,也可显示部分边缘。
3
腹部平片关注事项
消化道穿孔 = 膈下月牙形游离气体。
急性肠梗阻 = 多个阶梯状液平。
泌尿系阳性结石 = 泌尿系路径上有高密度阴影(亮点)。
关注:
①诊断消化道穿孔时,不要将胃泡影、靠近膈肌下的阶梯状液平等误认为膈下游离气体。阅片时首先找到膈肌,其下的黑色月牙形阴影即为膈下游离气体,此为消化道穿孔的特征性X线表现。膈下游离气体常以右侧明显,左侧被胃掩盖,常不明显。
②正常人也可有少量液平面,因此不能发现液平,就诊断为急性肠梗阻,应结合病史。
③诊断泌尿系阳性结石时,应沿“肾脏→输尿管→膀胱”的径路,在脊柱两旁视察有无高密度亮点。
4
腹部平片病例分析
腹部平片是研究腹痛患者常见的一线影像学资料。非影像科医生需要能够独立地识别各种不同的肠道疾病。
病例一:

上张X线片在小肠靠近横结肠处出现几圈膨大后合并狭窄。术中发现该患者由于肠系膜动脉栓塞致小肠肠襻坏疽。

病人出现腹部不适的明显迹象。大肠梗阻在腹部平片上会表现为什么呢?

结肠扩张是由于粪便嵌塞。大肠可通过结肠袋来识别,并且其从升结肠延续至乙状结肠。由于排泄物挤压致粪便和气体积聚使直肠存留少量气体。这可通过肛门镜检或直肠指诊来确认。

腹痛患者所做的腹部平片。有助于临床诊断的微妙征象是什么呢?

气腹患者摩里逊陷凹存在气体。平片中,靠近11肋的右上象限可见三角形(如在这种情况下)、半圆形,或月牙形的气体集聚。在仰卧位X光片中,右上象限的气体不能解释为肠道内气体,通常为腹腔内游离气体的最早迹象。

同一患者前-后坐位的胸片所示右膈下(箭头)游离气体,证实了气腹的诊断。
病例二:

上图腹部平片检查是一6岁男孩,出现呕吐和急性右髂窝疼痛进行的。两个关键的发现在哪里?(提示:通过放射科医生所提供的箭头可以缩小关注点。)

右髂窝多个扩张的小肠襻出现小的钙化结节。小肠袢可与大肠区分开来,因为小肠的环状襞延伸至整个肠壁,而结肠袋只是部分延伸存在。在右下腹(箭头)的钙化结节高度提示阑尾粘连。这个病人开腹手术发现阑尾粘连致小肠梗阻。

腹痛患者的腹部X光片水平位(左侧)和直立位(右侧)所上图示。是什么原因导致该病人的不适呢?

X线片表现出充满整个腹部的乙状结肠扭转。乙状结肠的两端可以理解成一个倒置的朝向骨盆的U型(图U)。在X光片直立位,可以看出气液平面(箭头)。咖啡豆的标志是乙状结肠扭转的典型的表现。充满气体的肠道包绕重叠水肿的肠壁所形成致密的白线,类似于一个咖啡豆。在这些X光片中,大肠的其余部分均不膨大,大概是因为扭转的点不造成阻塞,从而使消化产物可进入乙状结肠。

逆行通过肛管后所行X光片所示,证明了乙状结肠襻和正常肠道结构压力减低。
病例三:

上图是一个孩子所做的腹部平片。有什么不好的发现(通过箭头的引导)?该平片显示坏死性小肠结肠炎患儿出现肠壁积气。肠壁积气是肠管缺血后的肠壁内的空气集聚。肠壁(箭头)出现线性的或曲线的透亮。在少数情况下,肠壁积气可以是慢性阻塞性肺病、腹部疾病、结缔组织疾病、使用类固醇类药物或化疗所致。

虽然X线平片足以诊断三分之二的肠壁积气病例,但CT可以更清楚地证明这种过程。CT上肠壁积气清晰可见(箭头)。

这例腹痛患者的主要异常在哪里?

该X光片显示伪膜性肠炎患者结肠袋广泛增厚(箭头)。结肠袋是结肠上小的囊袋状突起,这种分段的外观可以有助于在X线平片上区分小肠与结肠。伪膜性肠炎中,增厚的肠壁是由肠壁水肿引起的。典型的表现是结肠扩张、呈结节状增厚的结肠袋和拇指印。此X线片横结肠明显增厚。

钡剂灌肠进一步突出结肠袋增厚。
病例四:

急性腹痛、便血的65岁男子行腹部平片检查所上图示。除了近端小肠梗阻,箭头指向有没有其它重大异常?

箭头指向缺血性结肠炎患者的拇指纹。拇指纹是粘膜水肿的非特异性的表现,其可见于炎性肠病、伪膜性结肠炎或缺血性肠病。随着水肿加重,结肠袋可能完全消失,留下一个管状的外观。肠道的收缩狭窄可能是其它常见的发现。
病例五:

上图为一58岁男性,因1周前非特异性消化不良,行上消化道钡餐检查,做的腹部平片。患者最初表现为不确切的腹部不适和便血。现在又出现了腹痛和腹膜炎。箭头所指的典型表现是什么,诊断是什么?

箭头指向缺血穿孔性肠病患者的浅浮雕征。这也被称为双壁征或Rigler征。通常仅一侧肠壁可以看到。当双侧都能看到时,它表示腔内和腔外都有气体。当病人腹痛症状逐渐加重,肠壁穿孔是很有可能的。该患者手术过程中发现肠道脾曲缺血穿孔性肠病。
病例六:

上图符合53岁,女性,肠梗阻所做的腹部平片。发病初所拍图像在左侧,24小时后所拍图像在右侧。是什么原因造成病人梗阻?众多发现都在眼前,不要被箭头影响。

该患者存在一个大的盲肠肠扭转。左侧图像显示一个没有任何可见结肠袋(短箭头),内脏充满大量气体。在升结肠(红色箭头)存在粪便与空气,这表明没有完全阻塞并且一些气体正向远端移动。右图像显示内脏位置的变化,这表明梗阻是非固定的。扭转是由弯曲的箭头所圈出。典型的表现为盲肠头朝向右侧髂窝与肠扭转突出向上朝向左上腹部。
病例七:

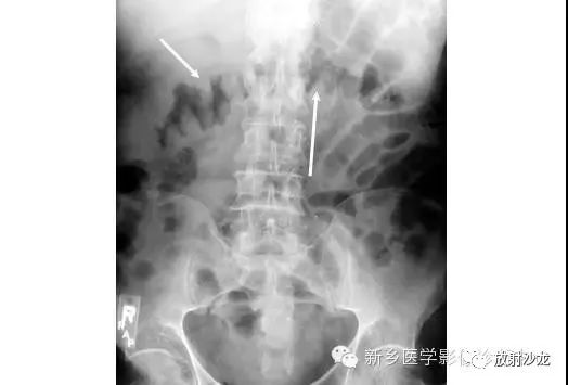
上图为9岁,腹痛、呕吐患儿所做的腹部平片。该患儿有阑尾炎合并腹膜炎病史。影像学异常是什么,最有可能的病因是什么?腹部X线片显示小肠襻的明显扩张、环状襞的消失,这与小肠梗阻的诊断相一致。该患儿既往有腹膜炎病史,梗阻是由腹腔粘连造成的。这个孩子最终经保守治疗康复。
病例八:

一位67岁腹部疼痛男性。他的腹部平片主要异常是什么?X光片显示肠道气体相对缺乏。在无症状的患者,这往往是正常的变化。在有症状的患者,就像这例患者,当发现当肠襻内充满液体而不是气体,就可以诊断为肠梗阻。其它潜在的腹部无气体的原因在腹水、大型腹部包块、结肠切除术后、急性胃肠炎和肠道缺血。
【高培毅精品课程】
快来跟名师学两招!

点击 “阅读原文” ,马上免费试听第一讲