病例丨病理结果「医看2016苏州阅片大赛」病例资料11:血管肌纤维母细胞瘤#医学影像#

病史

女,37岁,体检超声发现盆腔包块一周。无其他异常。

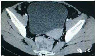
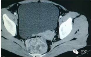
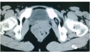
CT平扫(CT值23HU)

病例丨病理结果「医看2016苏州阅片大赛」病例资料11:血管肌纤维母细胞瘤#医学影像#

病例丨病理结果「医看2016苏州阅片大赛」病例资料11:血管肌纤维母细胞瘤#医学影像#

病例丨病理结果「医看2016苏州阅片大赛」病例资料11:血管肌纤维母细胞瘤#医学影像#

病例丨病理结果「医看2016苏州阅片大赛」病例资料11:血管肌纤维母细胞瘤#医学影像#

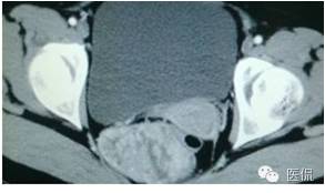
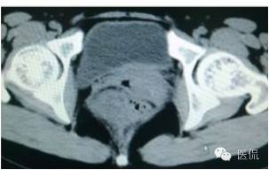
增强动脉期(CT值31HU)

病例丨病理结果「医看2016苏州阅片大赛」病例资料11:血管肌纤维母细胞瘤#医学影像#

病例丨病理结果「医看2016苏州阅片大赛」病例资料11:血管肌纤维母细胞瘤#医学影像#

病例丨病理结果「医看2016苏州阅片大赛」病例资料11:血管肌纤维母细胞瘤#医学影像#

病例丨病理结果「医看2016苏州阅片大赛」病例资料11:血管肌纤维母细胞瘤#医学影像#

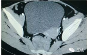
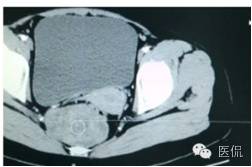
增强静脉期(CT值62HU)

病例丨病理结果「医看2016苏州阅片大赛」病例资料11:血管肌纤维母细胞瘤#医学影像#

病例丨病理结果「医看2016苏州阅片大赛」病例资料11:血管肌纤维母细胞瘤#医学影像#

病例丨病理结果「医看2016苏州阅片大赛」病例资料11:血管肌纤维母细胞瘤#医学影像#

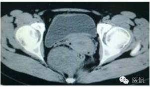
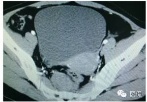
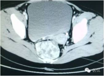
增强延迟期(CT值106HU)

病例丨病理结果「医看2016苏州阅片大赛」病例资料11:血管肌纤维母细胞瘤#医学影像#

病例丨病理结果「医看2016苏州阅片大赛」病例资料11:血管肌纤维母细胞瘤#医学影像#

病例丨病理结果「医看2016苏州阅片大赛」病例资料11:血管肌纤维母细胞瘤#医学影像#

结果

手术是:盆腔占位,病理为:血管肌纤维母细胞瘤。与肛门粘连,于是同时做了肛门的处理。