去医院看病,医生经常要求患者去“拍个片子”,有时候做X光、CT,有时候是核磁(MRI)。
为啥医生非得让我做核磁,而不是更便宜的CT呢?就是想赚我的钱,以前的医生就不会……如果你有这些埋怨或疑问,一定要仔细看这篇文章!
首先你要知道,X光、CT、核磁三者最大的不同之处在于——成像原理,这决定了它们适合检查什么疾病。
X光:主要看“密度”, 擅长骨折、肺脏病变
X线是一种能量很大的电磁波,对人体组织结构有着很强的穿透力。
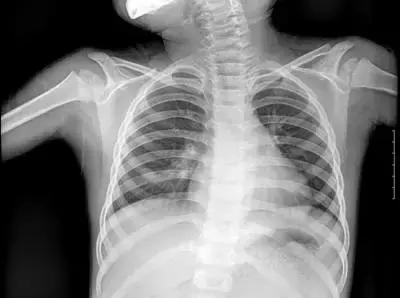
但人体各组织结构的密度不同,X线穿透时被吸收的量不同,就形成了黑白灰分明、层次显著的“片子”。看图举例子:

▲X射线成像图
-
骨骼、钙化灶、体内液体等(听起来质地较厚重的组织),吸收X光较多,因此形成白色影像,也就是传说中的“高密度影”,上图的上臂、肋骨就是如此。
-
呼吸道、胃肠道、脂肪组织(听起来质地较疏松),吸收X光较少,在片子上显现黑色影像,即“低密度影”,图中含气体较多的肺脏是代表。
-
再就是密度居中的实质器官、 肌肉、结缔组织,比如心脏,在片子上显现的影像介于黑白两色之间。
X光片“泾渭分明”的特点帮医生辨别身体的不同病变。
骨折、肋骨病变,密度高的骨骼白色影像哪里出问题一目了然,比如液气胸等肺部及气道病变,肺脏的黑色影像中就会混入明亮的白色。
不过,X光检查也有弱点,那就是缺乏特异性,比如照完X光发现肺部有阴影,可这个阴影到底是啥原因导致的呢?是肺结核?是普通炎症?还是肿瘤?
这时候,就该先让CT出场了。
CT:分层拍摄的X光, 擅长神经系统、心脏大血管疾病
无论价格还是名称,CT(即计算机断层扫描)似乎比X光高端不少,但实际上,拍CT片用的也是X射线!
两者不同的是, 拍X光:是坐是站、手臂外展还是抱头…摆什么pose就拍什么照片,影像相当于普通照片。
而CT呢,则是将被拍摄者横向“切分”成了统一厚度、统一间距的“片”,经过放射线穿透,留下一幅幅相似又不同的影像。这些断层影像通过计算机进行三维重建,医生读片时就能立体把握患者情况了。

▲CT扫描图
CT的三维图片就决定了它在分辨能力上的优势,如采用CT检查骨组织疾病可以捕捉到更清晰、更精确的“高密度影”。
除此之外,CT在诊断中枢神经系统(如颅内肿瘤、血肿、脑梗塞、脑出血、椎管内肿瘤等)、心脏大血管病变也有很高的参考价值。
检查效果时更佳了,但CT的有一个令人在意的问题——电离辐射,拍个CT接受的辐射量比普通X光要大。因此孕妈不能做CT检查。
解释:
电离辐射是一种可以把物质电离的辐射,对生物是危险的。不是所有辐射都叫做电离辐射。
那么,听起来高大上的核磁共振又是啥?……
核磁共振: 擅长检查软组织,这些人群不能做
一张床,患者躺上去,核磁共振(MRI)和CT的外观看上去很像,但它俩可不像X光和CT那样有“血缘关系”。

▲核磁共振检查现场图
核磁共振仪器其实是一块大磁铁,启动后可以对人体施加某特定频率的射频脉冲,使人体中的氢质子受到激励、发生磁共振现象,经过一系列射频脉冲(本质是一种电磁波)激发、采集、转换信号,进而生成图像。
在这个检查过程中,人体会受到一定的“电磁辐射”,也就是磁场和射频脉冲的影响。
解释:
电磁辐射的另一个通俗名字叫电磁波,只有高能量(高频率)电磁辐射是电离辐射,也只有这种有危险性。
说起来无须担心核磁共振带来的电磁辐射,因为:
-
目前尚未发现核磁共振检查的磁场对人体有什么危害。p.s 地球本身也是一个超大磁场。
-
射频脉冲产生的电磁辐射,其波段与手机发射的相类似,危害极小。且检查时间通常不超过1小时,有时比玩手机、煲电话粥的时间还要少很多。
核磁共振的长项恰恰就是X光和CT的短板——清 晰显示软组织疾病,针对膀胱、直肠、子宫、阴道、关节肌肉的检查优于CT。
不过,核磁共振检查在某些情况下(比如胃肠疾病)仍然需要有内镜检查等手段的配合才能帮助确诊疾病。 而且核磁不是谁想做都可以,检查前应满足的条条框框非!常!多!
-
危重病人不可以;
-
幽闭恐惧症患者不可以;
-
怀孕三个月内的孕妈不可以;
-
带有心脏起搏器、动脉瘤夹、人工金属心脏瓣膜绝对不可以;
-
还有很多不可以,检查之前会发一张单子,上面详细列出禁忌条件,不用担心漏掉关键点。
总之,同属影像学检查,X光、CT、核磁各有优势,没有谁比谁好之说,只有待查的疾病更适合哪个。
今天的医学成像技术日益发达,核磁能够精准诊断疾病,但像X光这样廉价快捷的检查仍然有着不可取代的地位。
