
春节回家,小美和许久不见的同学聚会,大吃了一顿火锅之后,右上腹部剧痛,感觉不能呼吸,一呼吸就剧痛。同学们赶紧把她送到医院急诊,经超声检查确诊为急性胆囊炎。经消炎治疗,症状得到了控制。小美一面痛下决心再也不吃刺激食物,一面庆幸世界上有这么厉害又方便的的医疗设备可以直接视察到自己的胆囊。
现在我们和小美一起了解下急诊医生是怎样对胆囊进行超声检查的。

胆囊的解剖知识
胆囊呈梨形,位于肝右叶下面的胆囊窝内。胆囊可分为底、体、颈三部分。底部多突出于肝的胆囊切迹之外,位置不固定,可以移动至右上腹的多个位置;底部向下延伸为体部,弹性较大;体部逐渐变细呈漏斗状连续于胆囊颈部。胆囊管与肝总管汇合成胆总管,胆总管位于门静脉前方,位置相对固定。
检查关键点
1.是否有胆囊结石。
2.胆囊体积是否增大,张力是否明显。探头加压是否有Murphy征。
3.胆囊壁是否增厚。
4.胆总管是否扩张。
5.胆囊窝是否有积液。
仪 器
根据患者胆囊深度的不同选用合适频率的探头,成人一般选用3.5 ~ 5.0MHz的扇形探头。聚焦定于合适深度,减低增益以免胆囊腔内发生混响伪像。
扫描方法
患者一般取仰卧位。首先将探头纵向置于右肋缘下,并沿肋缘移动探头找到无回声的胆囊腔,此时旋转探头直至显示胆囊最长轴。若胆囊显示困难,可嘱患者深吸气后屏气,使胆囊降落至肋弓以下。如果仍然显示困难,可让患者取左侧卧位。接下来要对胆囊进行横纵向多层面扫查以免漏诊结石,尤其是胆囊颈部的Hartman袋,结石易嵌顿于此处。
清晰显示胆囊后还需探查胆总管,根据胆总管的位置,最佳探查体位为左后斜位(即躯体向左侧倾斜45°)。嘱患者深吸气后屏气,探头加压沿胆总管长轴扫查。
最后如果需要评估是否存在急性胆囊炎,则需找到胆囊底部后探头加压,判断是否存在Murphy征阳性。这里要关注,探头加压处应位于肋弓以下,并在图像上看到胆囊底部有变形,以免误压肋骨出现疼痛造成误诊。
测 量
胆囊前后径、胆囊前壁厚度及胆总管宽度是三个重要参数。
禁食后成人胆囊正常大小:长度7 ~ 10cm;前后径3 ~4cm;壁厚<3cm。
胆囊壁增厚提示有胆囊炎,但有许多其他因素也能导致胆囊壁增厚,故探查到胆囊壁增厚后还应结合临床方可做出胆囊炎的诊断。测量胆囊壁厚度时要选择前壁,这样可避免声波穿过胆囊后发生增强效应而掩盖胆囊后壁的轻度增厚,造成测量不准确。
成人胆总管内径:2~6mm;正常:7 ~8mm需结合临床判断;>8mm不正常。
测量时应取一侧胆总管内壁至对侧内壁的宽度。胆总管内径可因胆囊切除、曾患胆道梗阻或年龄较大等原因增宽。
超声扫描技巧
扫描胆囊时的问题:
1.肋骨声影遮挡
(1) 调整探头的角度,从肋骨间扫查。
(2) 嘱患者深吸气使膈肌降落,胆囊可降至肋缘下。
2.未能探及胆囊
(1) 嘱患者左侧卧位,使胆囊更贴近腹壁;若患者为坐位,则让其上身前倾。
(2) 也可让患者俯身面向检查床,用手、膝关节支撑身体,借助重力作用使胆囊贴近腹壁。
(3) 进食后胆囊会排空缩小,故在情况允许时可以在1小时后待胆囊充盈再行检查。
3.未能探及胆总管
(1) 嘱患者深吸气和(或) 侧卧位。
(2) 若存在胆囊结石,且超声Murphy征阳性,则已完成胆囊超声检查目的,并不需要花费时间继续寻找胆总管,看其是否扩张。
(3) 用彩色多普勒帮助将肝动脉、门静脉与胆总管区分开。
4.不能确定患者超声Murphy 征是否阳性
(1) 首先确定不是探头直接压在肋骨上引起的疼痛。
( 2) 让患者深吸气,看是否可以使胆囊底降至肋缘以下。
5. 如何确认胆囊内的是结石不是伪影
(1) 增加探头频率。
(2) 嘱患者改变体位,视察可疑物的位置是否随体位不同而改变。
疾病超声表现
1.胆囊结石
(1) 超声表现
1) 典型表现:胆囊腔内强回声光团;后方伴有声影(结石直径>3mm);随体位改变而移动。
2) 非典型表现: ①胆囊结石充满型,胆囊窝处不能探及正常胆囊影像,取而代之出现一条弧形或条带状强回声后伴宽声影,胆囊下半部或后壁完全不显示。强回声的胆囊前壁包绕更强回声的结石,与结石后方的声影称为“囊壁-结石-声影三合征” (WES征)。②胆囊颈部结石,结石嵌顿于胆囊颈部时,有时仅能见到胆囊体积增大或胆囊颈部的声影,这时就需要多角度多层面的探查,以免发生结石的漏诊。③泥沙样结石,胆囊腔内的强回声光点沉积于胆囊后壁,可见伴有声影的强回声光带随体位改变而移动变形。④附壁胆固醇结晶,附着于胆囊壁的单发或多发的强回声光点,后伴 “彗星尾征”,位置不随体位变化而改变。
(2) 病例
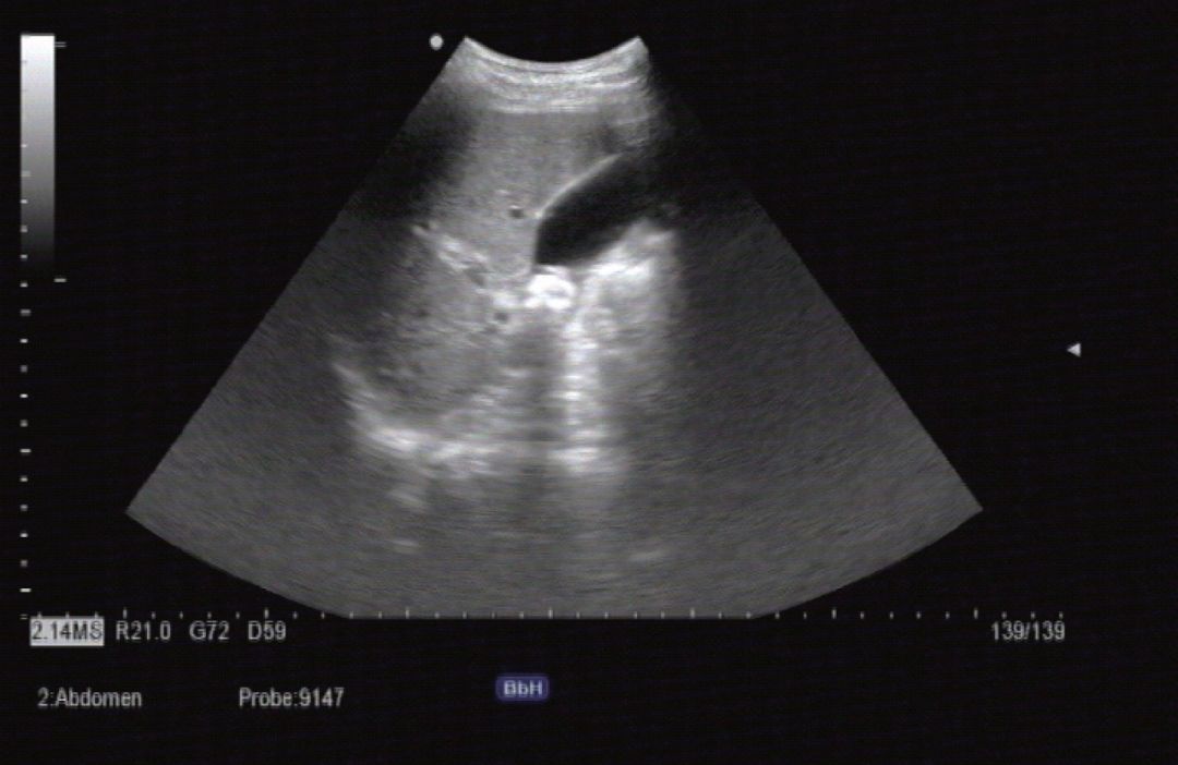
1) 病史:患者男,50岁,自觉右上腹不适就诊。
2) 超声描述: 胆囊腔内可见强回声光团后伴声影改变体位后可见此强回声光团移动。

2.急性胆囊炎
(1) 超声表现
1) 胆囊体积增大。胆囊大小变化范围很大,不应仅根据大于正常体积而做出诊断。要综合胆囊横径增大,张力增高,压缩性变差作为诊断依据。
2) 胆囊壁毛糙、增厚、水肿: 胆囊壁增厚>3mm边缘毛糙,部分可见胆囊壁“分边”呈“双层或三层”影。有时可见胆囊壁局限性或偏心性增厚。重者胆囊壁穿孔,表现为胆囊壁局限性膨出或缺损(多见于胆囊底部或颈部),胆囊腔内积气,胆囊窝或肝周出现局限性液性暗区。
3) 胆汁透声差:胆汁浑浊,腔内可见中低或中等回声光点沉积呈片状、絮状沉积,无声影,随体位改变而移动,胆囊后方的增强效应减弱或消失。
4) 超声Murphy征阳性。
(2) 病例
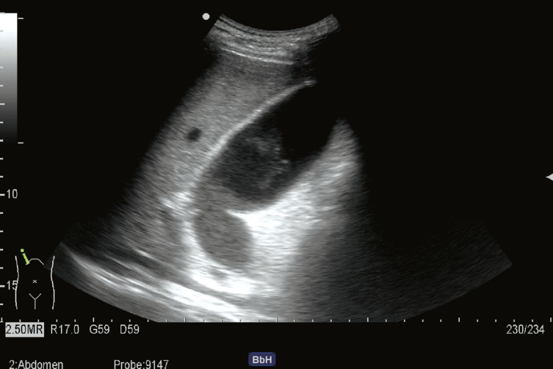
1) 病史:患者男,49岁,进餐后右上腹剧烈疼痛。体温38.7℃。
2) 超声描述:胆囊体积明显增大,显张力,胆囊壁毛糙增厚,胆汁透声差,可见中低及中等回声光点淤积。胆囊窝可见线样液性暗区。

3) 超声诊断:急性胆囊炎、胆汁淤积。
3.胆囊扭转 超声表现:胆囊体积增大,横径与长径相近;胆囊位置表浅、下垂,离开胆囊窝游离于肋缘下;胆囊颈部拉长呈锥形,并可见多条杂乱线形回声汇聚。超声Murphy征阳性。
4. 胆总管结石
(1) 超声表现
1) 胆总管扩张,若结石完全嵌顿可伴有胆囊体积增大和肝内胆管扩张。
2) 扩张的胆总管内可见与胆总管壁界线清晰的强回声光团,后伴声影。
3) 结石位于胆总管下段时,位置较深并受十二指肠气体干扰,往往显示困难。可嘱患者饮水后右侧卧位、仰卧位,探头加压并适度改变体位以增加结石检出率。
(2) 病例
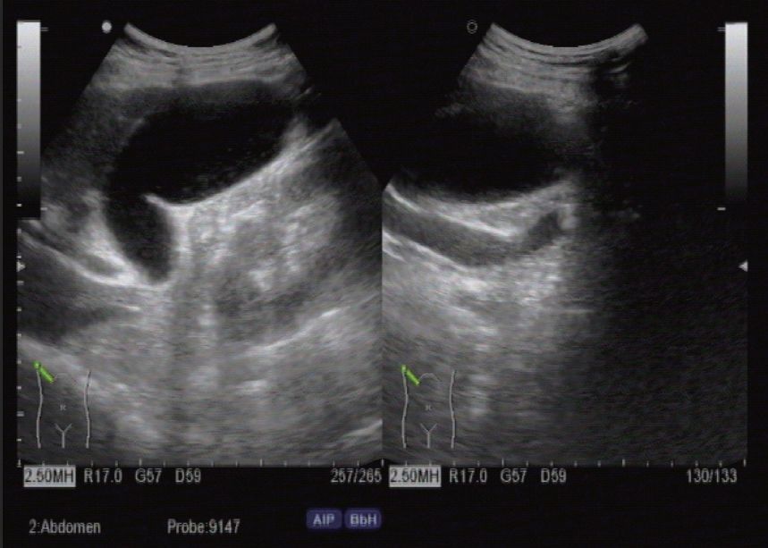
1) 病史:患者女,43岁,突发右上腹疼痛、恶心、呕吐,体温38.6℃。查体Murphy征阳性。
2) 超声描述:胆囊体积增大,壁毛糙增厚,胆汁透声可,腔内未见明显异常回声。胆总管上段扩张,腔内可见一强回声光团伴声影,位置不随体位变化而改变(图8-3)。

3) 超声诊断:急性胆囊炎、胆总管上段结石嵌顿。
临床诊断流程
胆囊疾病临床诊断流程见下图。

更多超声知识请见《协和简明急诊超声手册》

扫一扫,轻松下单
急诊超声检查是近年国内急诊培训的重要内容,《协和简明急诊超声手册》由急诊科一线临床医生结合临床实际工作经验编写而成。全书共18章,前2章介绍了超声检查的定义、原理和超声仪的基本构造,后16章介绍了急诊超声在各个系统中的应用。每章按照解剖、检查关键点、仪器、扫描方法和技巧及疾病超声表现进行编写。
《协和简明急诊超声手册》内容简明扼要,图片清晰多样,实用性强,适合急诊、ICU、院前急救相关临床医师、研究生使用。

科学出版社赛医学(sci_med)
科学出版社医学订阅号