宫内节育器(intrauterine device,IUD)作为一种简单,可逆,长效的避孕措施,一直以来是我国育龄妇女主要的避孕手段。放置后若无不良反应,一般会在计划妊娠或围绝经期选择取出宫内节育器。很多患者会问,取环的时候大夫看的见吗?重要事情说三遍:看不见,看不见,看不见!一般情况,取环是通过大夫的经验“盲取”。但即使“盲取”,在无特殊情况下,宫内节育器的取出是比较简单而且顺利的。但在宫内节育器异位的情况下,如部分嵌顿(节育器部分嵌顿入子宫肌层)、完全嵌顿(宫内节育器完全嵌入子宫肌层)、节育器异位(异位于子宫外)时,通过普通的取环(盲取),是很难取出的。

近日,我院妇科接诊了一例困难型取环患者。患者蔚女士,年龄65岁,带环40余年,绝经期20年,近4年来无诱因出现下腹部胀痛,时轻时重,2年前曾在私人诊所取环,结果取出失败。现为求取环,患者及家属经过谨慎考虑,来我院。入院后妇科彩超提示:子宫萎缩,宫腔可见“O”形环回声,位置正常。马辉平主任考虑到患者绝经20年,子宫萎缩,曾经有过取环失败史,入院后经过各项详细检查排除,排除手术禁忌证,马辉平主任准备为其行宫腔镜下取环术,令人惊讶的是宫腔镜下居然没有见到节育环,却发现了个一个3✖️2.5厘米粘膜下肌瘤,蒂部来源于子宫前壁。马主任考虑节育器移位了,到底移位到了哪里呢?子宫肌层、盆腔、腹腔、膀胱等,这些部位的可能性都很大。为了进一步明确节育环移位的部位,又进行了透视及CT检查,均显示节育环在子宫内。
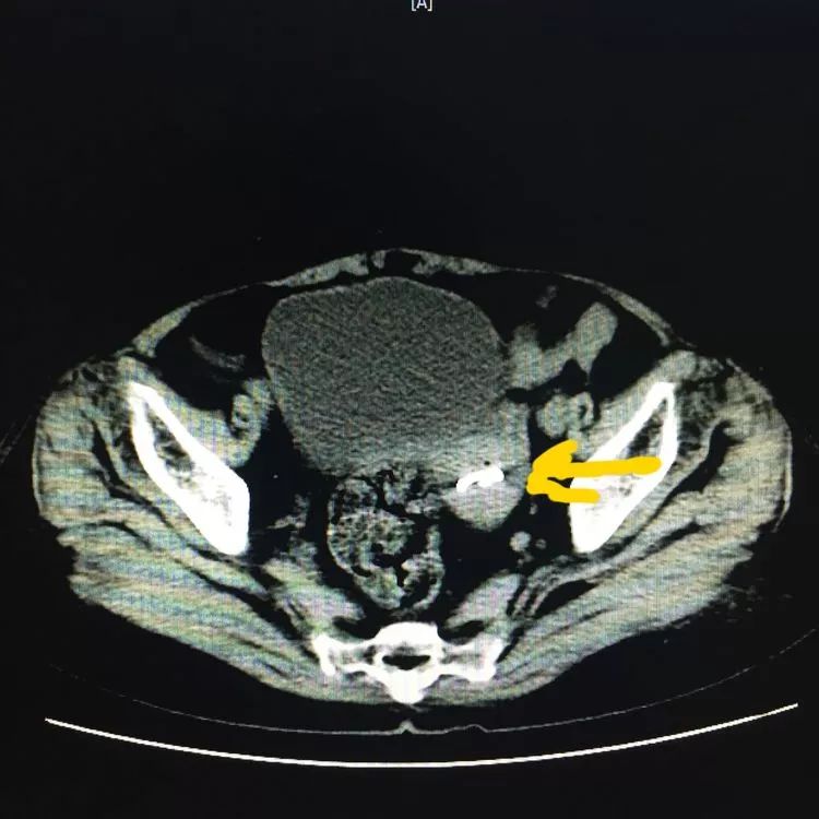
下面图中黄色箭头所指均为节育环的位置

宫内节育器异位都有哪些表现呢?
1.无不适:常缺乏特异症状,不压迫或损伤周围脏器时很难被发现;
2.下腹痛:一般表现为放置宫内节育器术中即出现明显下腹痛,提示术中子宫损伤;
3.*交性**痛:T型宫内节育器下移伴纵轴部分嵌入子宫颈管时可出现*交性**痛;
4.慢性表现:长期反复难以缓解的月经过多及持续时间长、腹痛;
5.周围脏器损伤表现:异位于腹腔时,可伤及肠管、膀胱等组织并造成粘连,引起相应的症状和体征,如膀胱刺激征、肛门坠胀感、大便次数增多和大便时疼痛,异位的节育器中15%可异位于肠道和膀胱内,尤其是肠道并发症有肠梗阻、肠穿孔、肠梗死、肠狭窄和肠疹,腹痛、发热、间断腹泻三联征结合宫内节育器异位的病史需警惕肠道损伤可能,长期异位于膀胱时还可导致膀胱结石形成。
那么宫内节育器异位应该如何处理呢?
原则:1987年WHO推荐,所有明确诊断的异位节育器均需手术取出。主要依据是异位节育器可能造成盆腔粘连,从而导致慢性疼痛、肠梗阻、不孕等不良反应。
方案:
1)宫腔镜:适用于异位节育器位于子宫壁内侧且未穿透子宫浆膜层者的患者;
2)腹腔镜:适用于节育器游离于子宫外且异位位置明确、与周围组织粘连较轻者;
3)经阴道穹隆切开术:适用于节育器游离于子宫外且异位位置较低,位置相对清楚,与周围组织粘连程度轻者,尤其适用于经产妇,可在门诊进行;
4)开腹:适用于节育器游离于子宫外且与周围组织粘连严重,术中可能修补周围脏器。
5)其他:针对异位于膀胱、肠管、胃内的节育器可以分别采用膀胱镜、肠镜、胃镜取出。

温馨提示:
节育环是女性非常好的避孕措施之一,但是在女性绝经后节育环的作用就失去了,所以这个时候取环很重要,但是取环的时候一定要关注取环的关注事项,比如说月经期间是不能取环的。取环前应先进行一次X线透视或B超检查,以证实环在子宫腔后再进行取环。绝经后取环的最佳时间是在女性绝经后6个月至1年,这时候取环是最好的时间,如果取环时间过早,会让自身内分泌情况出现不稳定,还可能会再次怀孕,同时也不能过晚取环,这是为了避免女性绝经时间过长,体内的雌激素水平发生降落,当子宫萎缩明显后,取环难度就会增加,在取环过程就会更困难,也影响女性身体的恢复。