?点 击 邵 逸 夫 医 院 星 标 我 们

林女士顺产生下第一个孩子后
汹涌而来的,不是母乳,不是母爱
而是漏尿量……

在她孕后期开始出现的咳嗽漏尿问题
并没有因为生完宝宝就好转
产后4个月
它仍然困扰着这位新晋妈妈
甚至更加嚣张
有着类似麻烦的产妇不在少数
女明星们也难逃此“劫”
有举重若轻的

有坦诚直言的

但更多普通妈妈讳莫如深
暗自靠卫生巾或少喝水来调节
但始终久久无法摆脱这个阴影
不
这不是什么不能说的秘密!
只是很多很多人都面对
或即将面临的小小障碍
31% 的中国成年女性患有尿*禁失**
流行病学研究显示,31%的中国成年女性患有尿*禁失**,其中产妇和中老年妇占比最高。
林女士在泌尿外科被确诊为“压力性尿*禁失**”,属于盆底功能障碍性疾病(pelvicfloor dysfunction,PFD),民间也俗称阴道松弛。

盆底肌,犹如一张“吊网”,也像一根“弹簧”,如果它“松”了,其他依靠盆底肌连接和固定的器官就无法维持在正常位置,从而出现压力性尿*禁失**(stress urinary incontinence,SUI)、盆腔器官脱垂(pelvicorgan prolapse,POP)等一系列盆底损伤与缺陷。

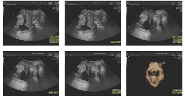
林女士的盆底彩超检查中,尿道内口的漏斗样开口,清晰可见。
康复科检查发现,林女士孕期BMI为28.3,产后4个月BMI为23.4,骨盆前倾、腹直肌分离-肚中3指,皮脂厚度31mm,1h尿垫试验12g(重度尿*禁失**),尿*禁失**生活质量问卷(IQOL)67分。
盆底肌表面肌电进一步提示,林女士快肌、慢肌及耐力均降落,盆底功能态势处于活动减弱型(松弛型)。

个性化盆底康复治疗
让姐妹们不再闻“生”色变
是病!能治!
林女士来到浙大邵逸夫医院后,康复治疗师首先对林女士进行了详细的姿势评估。

针对林女士的特征,康复治疗师制定了个性化盆底康复治疗方案,包括调整呼吸、姿势矫正、骨盆矫正、针对性稳定性训练、核心肌力训练等。

盆底肌训练
收缩盆底肌3秒
随后放松3秒
再次收缩
依次重复
每周增加1秒肌肉收缩的时间
达到10秒后不再增加
每天至少进行3组
每组时间约10-15分钟

阴道哑铃训练
这是一种越来越被大家了解的辅助工具
每个型号一般练习2~3周
在各种场景下不掉落的情况下
开始下一个更重的哑铃开始练习

放下二郎腿、拒绝葛优躺
妊娠和分娩只是改变骨盆位置的一个因素
影响更久远的是我们的日常姿势
比如二郎腿
比如葛优躺
比如低头看手机时间过长

如果不及时纠正这些不良姿势
不从根源去解决问题
我们只是一边卖力地做康复训练
一边错误地消耗身体

邵逸夫医院康复科也指导了林女士的坐立、办公、喂奶等生活必备姿势。
治疗4周后,林女士咳嗽漏尿症状明显减轻。复评结果显示BMI22.6,腹直肌分离脐中2指, 1h尿垫试验3g(中度尿*禁失**),尿*禁失**生活质量问卷(IQOL)84分,盆底快慢肌肌肉力量均有提高。
林女士可以回家自行训练了,1-2月后再来进行盆底表面肌电及盆底功能彩超评估。

当然
男性也有盆底肌
也有可能面临类似问题
为了提高*生活性**的满意度
促进身心健康
我们建议男女一起锻炼盆底肌哦
1.压腿
压腿的同时对臀部进行很好的锻炼
前后左右都要压一压
要压到位,胸部尽量碰到大腿
每天坚持做半个小时效果不错

2.跳绳
跳绳能收紧盆底的肌肉
刚开始要慢慢地跳
也不要跳得太高
先适应适应比较好

3.仰卧起坐
仰卧起坐主要是锻炼腹肌
但对盆底的肌肉训练也很有帮助
在做仰卧起坐时,臀部一收一紧
就锻炼了盆底肌

4.平板支撑
收紧腹肌运动,加强盆底肌收缩
向上抬起臀部及腰部,呈一字型
保持该动作
体能较强的,可以选择抬腿 x 60秒
一组5次

5.抬胯运动
让臀部浑圆紧实,加强盆底肌功能
于平地上仰躺
手掌朝上自然放置于身体两侧
膝盖并拢弯曲让双脚立起
两膝维持并拢,运用肩背的力量,将身体抬起
停留10秒钟
接着再慢慢回腰
动作重复10次

此外
还可以躺在床上
让他人用按摩捶敲打臀部
缓解臀部肌肉紧张
连续敲打还能锻炼臀部肌肉
刚开始锻炼盆底肌的时候
可能会有些不习惯
没关系
只要坚持一个星期、一个月、三个月
它会融入你的生活
如同早晚护肤一样
也呵护你“隐秘的角落”吧

邵逸夫医院康复医学中心 提供孕产康复服务范围
1 孕期体能训练
2 孕期/产后盆底肌肉训练
3 尿*禁失**康复治疗
4 产后形体恢复
5 产后骨盆带疼痛康复治疗
6 产后颈/腰/坐骨神经疼痛康复治疗
7 产后耻骨联合分离康复治疗

李建华
主任医师
专长:颈肩腰腿痛非手术治疗;疾病引起的肌肉痉挛治疗;脑卒中康复;盆底康复。
门诊时间:
庆春院区:
周三下午(名医)
周一上午、周三上午(专家)
下沙院区:
周二上午(专家)
来源:邵逸夫医院
作者:康复医学科 李建华
原创作品,转载请注明来源及出处

欢迎分享

在看扩散