良好的血管通路是进行血液透析的先决条件,自体血管动静脉内瘘目前仍是血透患者最为理想的血管通路,而针对急性肾功能不全临时透析、危重病例急诊血透及各种原因无法利用自身血管建立内瘘的维持性血透患者,血透深静脉留置导管确实为一种良好的血流通路,临床常见的有临时性和长期性双腔导管,现就一例深静脉留置导管过程中发生导管功能不良的原因及应对措施进行讨论。
病例介绍
患儿,女,7个月,体重7kg,因急性肾衰竭入院。最初进行腹膜透析,并在基因诊断为原发性高草酸尿后决定血液透析。将Medcomp®8 Fr×18 cm血管导管插入右侧颈内静脉,并从顶部切下1.5 cm,以便将套管置于皮肤下。经影像增强确认导管尖端位置正常,两个腔均被抽吸和冲洗干净,根据医院指南,每个管腔用肝素封管。
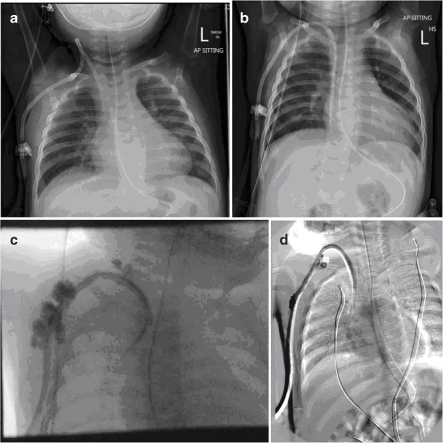
第二天,两个透析导管腔都很难抽吸,冲洗时需要高压。X光片显示导管尖端在上腔静脉中上部,提示导管位置异常(图1a)。导管流量小,无法血液透析,患者第二天返回手术室进行调整。在确认颈部入口处有扭结后,导管被重头定位。两个腔在术中冲洗和抽吸良好。患者在手术后立即开始第一次血液透析,持续2小时,患儿耐受良好,治疗成功。
在随后的血液透析过程中,发现动脉腔抽吸困难,血流速度减慢。静脉腔功能良好。置入后11天,x光片显示导管尖端在右心房内向下移动(图1b)。由于静脉回流压力高(>200mmHg)和次优最大血流量(30ml/min),血液透析提前终止。给予tPA,但没有令人满意的改善。最大血流速度可达到50ml/分钟,但回流压力仍然过高(250mmHg)。
将导管更换为Medcomp®10 Fr×15 cm分离式导管®,通过一个稍微位于前一切口内侧的新切口插入右侧颈内静脉。选择大口径、短导管,以达到更高的流速和避免导管尖端的移动。影像增强确认位置,两腔在手术室冲洗和抽吸良好。放置导管后,立即尝试血液透析,但尽管冲洗良好,动脉腔仍无法抽吸,患儿明显疼痛。影像学检查显示对比剂似乎从多个部位逃逸到周围组织中(图1c)。立即取出导管,用一个位于右心房的12-Fr剥离式鞘管通过上一个切口替换成新导管。在检查或冲洗拆除的管线时,未发现断裂迹象。影像增强确认了新透析通路的位置,在肝素封管前,两个管腔在手术室抽吸和冲洗良好。
在次日开始血液透析时,动脉压过高(>250 mmHg),血流速度不能超过30 mL/min。更换通路,之后达到50 mL/min的血流速度。然而,几分钟后,患儿表现出疼痛,并在出口处发现出血。影像学检查确认导管位置正常,但是,显示造影剂渗入周围组织(图1d)。

问题
血透深静脉留置导管功能不良的原因有哪些?
在这个病例中,最可能的原因是什么?
如何处理?
=======
中心静脉导管血管通路在血液透析患者中较常用,其堵管有三种可能的原因:导管尖端血栓、导管尖端粘连血管壁或包裹导管尖端的纤维蛋白鞘。
通过导管缓慢注射造影剂可以区分导管尖端血栓(造影剂喷射出导管时不规则)和导管尖端粘连血管壁(远离导管尖端的造影剂不对称或倾斜流动)。在这个病例中没有视察到这些迹象,故怀疑纤维蛋白鞘的存在。体内导管末端局部纤维蛋白鞘形成,DSA下可见沿体内导管外壁走形的线样、柱状或不规则状高密度影,包裹体内导管末端及侧孔,造影剂向上反流进入腔静脉;体内导管广泛性纤维蛋白鞘形成,DSA下可见沿体内导管外壁走形的不规则状高密度影,包裹整个或大部分体内导管,造影剂向上反流可进入植入侧皮下软组织内。纤维蛋白鞘的存在常被误认为导管破裂所致的外渗。在这个病例中,在取出导管后的检查中,没有发现管线断裂。

在这个病例中,最可能的原因是纤维蛋白鞘。
初始处理包括将tPA注入导管腔溶鞘至少2小时,必要时在24小时内重复给药。超声评估疗效。儿科溶鞘治疗成功率只有19%。
其他治疗方案包括腔内放置导丝和球囊血管成形术,经皮剥离纤维蛋白鞘,或通过平行于纤维蛋白鞘的穿刺更换导管。
========
知识点
纤维蛋白鞘是包裹于中心静脉导管表面,由细胞成分和非细胞成分组成的膜状物。它起始于导管与静脉壁的接触点,并与静脉壁紧容相联,即使导管披出也不易被移除。纤维蛋白鞘在置管24h后在导管和静脉壁接触点开始形成,然后沿管壁延伸,达到管壁全长约需要5~7天的时间。
========
相关教材(专著)知识体系切入点

永军朗读
