传统上,脑水肿可大致分为细胞毒性脑水肿和血管源性脑水肿,此外根据不同的分类方式,还可细分为间质性脑水肿、离子性脑水肿等。CT和MRI在水肿的检出中具有互补作用,对临床治疗决策具有一定价值。本文将对常见脑水肿的特点与影像学表现做一介绍。
细胞毒性脑水肿
缺血数分钟后,神经胶质细胞和神经元细胞的ATP出现耗竭,细胞膜的ATP依赖性钠-钾泵异常,离子(主要是Na +和Cl -)和水分子从细胞外向胞内空间的移动,从而造成细胞肿胀,引起细胞毒性脑水肿。由于细胞毒性水肿不影响X射线的衰减或诱导组织肿胀,因此CT扫描难以检测出单纯的细胞毒性脑水肿,而MRI上的DWI像和ADC图易于对细胞毒性脑水肿进行检测。
细胞毒性脑水肿常见于缺血缺氧性疾病的早期,早期CT和MRI的T1WI、T2WI变化不明显。但MRI的DWI序列则显现出易于识别的高信号,ADC信号降低。此后患者的CT和MRI将会出现进一步的改变,这种改变俗称为“细胞毒性脑水肿”,但事实上是离子性脑水肿引起的,后文将会提到。

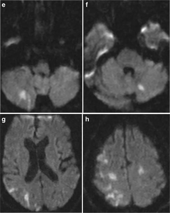
图1 62岁男性,突发左侧偏瘫87分钟后完成了CT扫描,但CT上并未检测出患者的细胞毒性脑水肿,小脑半球上两个微小的病变并不能对症状做出解释(a~d)。症状发作后3小时10分钟,患者完成了MRI扫描,DWI显示患者大脑和小脑半球显现出多发栓塞情势的小病灶,大脑半球右侧为著,这解释了患者的卒中症状(f~h)。经进一步检查,本例患者有主动脉夹层。
DWI上代表细胞毒性脑水肿的高信号可以在再灌注后消失,同时临床研究也显示,如果异常信号持续存在,则与脑梗死密切相关,在持续性大脑中动脉闭塞的患者中,发作14小时内检测出大于145 cm3的病灶,可以准确预测危及生命的梗死发展。不过,DWI并不能识别出即使完成再灌注同样有梗死风险的区域。
离子性脑水肿
离子性脑水肿是一种通常与细胞毒性水肿相关的脑水肿情势,与血管源性水肿的区别在于血脑屏障保持完整,水肿由于细胞损伤产生,通常由局部缺血导致。一旦发生细胞毒性水肿,并且只要毛细血管中有一些补充血液,毛细管腔内便会存在Na+的浓度梯度,离子穿过内皮并进入细胞外空间。离子性脑水肿是不可逆缺血性损伤的早期标志物。
这一术语用得并不多,临床上通常喜欢使用细胞毒性脑水肿这一术语来表示真正的细胞毒性脑水肿(细胞肿胀)和离子性脑水肿的组合。相比之下,细胞毒性脑水肿表示的仅仅是水、Na+、Cl-从细胞外区域再分配到细胞内的过程。
离子性脑水肿意味着严重缺血组织的含水量增加和肿胀。患者脑灰白质交界处变得模糊,CT上,由于额外的水流入细胞外空间,脑组织可出现均匀的低密度,针对局部缺血的病变,脑水肿低密度通常对应于受累的脑血管区域。MRI上则表现为T2/FLAIR的高信号,由于在急性和亚急性期的离子水肿之前存在潜在的细胞毒性水肿,通常也伴随有DWI上的弥散受限。

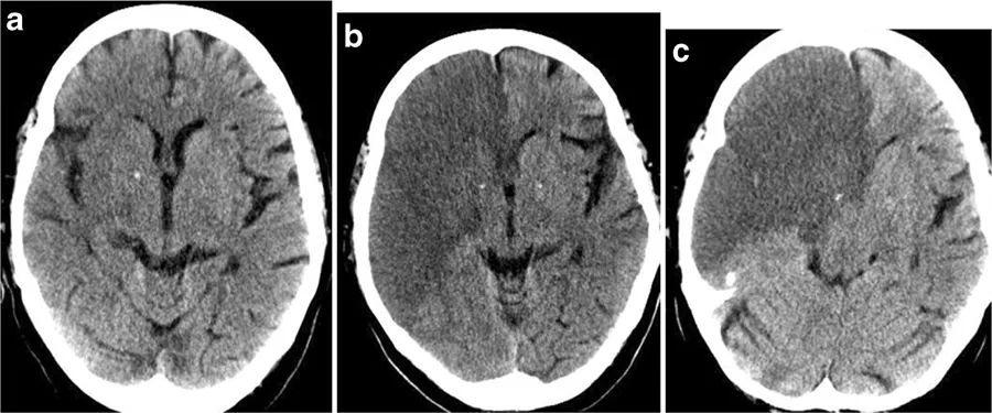
图2 恶性脑梗死的进展过程。在卒中发病的6小时内,CT仅显示额叶、岛叶皮质、颞叶、尾状核和豆状核的轻度密度减低(左);12小时后,可见大脑中动脉和大脑前动脉供血区域边界清晰的梗死区域(中);但没有占位效应。24小时后,病灶出现占位效应,中线移位(右)。
血管源性脑水肿
血管源性脑水肿是由于血脑屏障破裂,血浆蛋白质渗漏到细胞外空间,积存于血管周围及细胞间质的结果。静水压和渗透压梯度引起组织水含量的增加,从而可能导致严重的脑组织肿胀,最终可引起致命性脑疝。
引起血管源性脑水肿的典型疾病包括脑肿瘤、脑脓肿、脑炎等,一些成熟的脑挫伤和脑出血病灶周围也可以出现血管源性脑水肿。相比之下,血管源性脑水肿在白质分布较灰质更为明显,灰白质界限仍然保持,这与离子性脑水肿的灰白质界限模糊有所不同;病变常呈手指状延伸分布模式。CT上可看到脑白质的密度减低,MRI上T1WI呈低信号,T2WI呈高信号,DWI上并不显示明显的弥散受限。

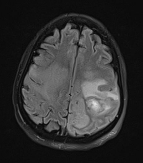
图3 40岁女性,脑脓肿,T2FLAIR像上可见病灶周围片状高信号区域,并呈手指状向周围延伸。
富含蛋白质的液体渗入脑组织可能会引起严重肿胀,造成继发性影响,CT和MRI上可检测到占位效应,出现中线结构的移位和内侧颞叶的突出等。此外,蛋白质和血液的渗漏可影响CT密度和MRI的信号,需要小心识别。

图4 乳腺癌脑转移,CT、MRI上可见广泛的血管源性脑水肿区域,侧脑室受压,中线移位。引起血管源性脑水肿的占位性病变位于左额上回。
间质性脑水肿
间质性脑水肿是一种由于脑室内压力增加而引起的脑水肿,由于脑脊液通过室管膜转移到脑室周围的脑实质中而引起,常见于急性阻塞性脑积水患者的侧脑室周围。掌握间质性脑水肿的特点,并与额叶前方信号的正常轻度增加,以及枕叶后方脑室炎相鉴别是很重要的。
CT上,侧脑室周围可见脑室周围条片状低密度影,相邻脑沟消失,以及阻塞性脑积水的其他特征。MRI上的FLAIR序列对这种脑水肿的检测尤为敏感,侧脑室周围可见T2/FLAIR高信号的晕圈,边界通常较清。

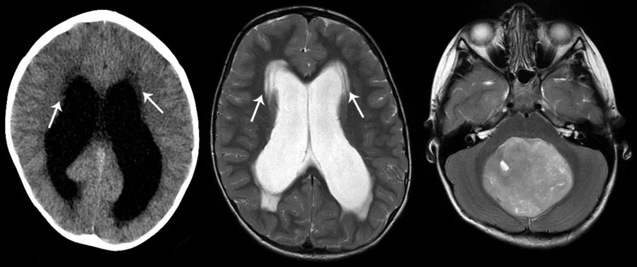
图5 侧脑室周围可见条片状异常密度,CT上呈低密度,MRI的T2WI上呈高信号,边界较清(左、中)。本例患者的阻塞性脑积水由后颅窝占位导致(右)。
小结
各类脑水肿的鉴别要点见下表。

参考文献:
[1] Rüdiger von Kummer, Imanuel Dzialowski. Imaging of cerebral ischemic edema and neuronal death[J]. Neuroradiology (2017) 59:545–553.
[2] radiopaedia.org