
本文作者:陈凯琳、罗亚平 北京协和医院核医学科
导读:放射性碘扫描是甲状腺疾病尤其是甲状腺癌治疗后随访的重要工具,由于正常甲状腺、分化型甲状腺癌组织具有摄碘功能,我们认为放射性碘扫描是一个特异性的针对甲状腺来源病变的检查。但实际上,即便是反映甲状腺功能的碘扫描,也有假阳性的情况。今天我们就来看看碘扫描的显像原理和常见的假阳性原因。
碘及甲状腺激素的代谢
碘是甲状腺激素的重要原料,口服摄入的碘在小肠被吸收进入碘池中,其中大约1/5的碘被甲状腺摄取(经钠碘转运体[sodiumiodine symporter, NIS]介导进入甲状腺滤泡细胞)用于合成甲状腺激素,剩余的碘经肾脏和肠道排出(约85%-90%经肾脏排泄,很少部分可从汗液、唾液排出)。

碘被甲状腺上皮细胞摄取后,在甲状腺过氧化物酶(TPO)的催化作用下被氧化为“活性碘”,然后与甲状腺球蛋白(Tg)上的酪氨酸残基结合生成一碘酪氨酸和二碘酪氨酸,两分子的二碘酪氨酸缩合成为T4,一分子的二碘酪氨酸和一分子的一碘酪氨酸缩合成为T3,含T3、T4的Tg储存在甲状腺腺泡腔的胶质中。在TSH和其他酶的作用下,Tg被水解,同时释放T3、T4入血(T4与T3的释放比例约10-20:1)。
T3、T4分泌入血后,99%以上与血浆中蛋白质结合(60%与甲状腺结合球蛋白TBG结合),但T3与TBG的结合不如T4结合的紧密,因此正常情况下,血中游离T3的浓度比游离T4高8-10倍,而起生理作用的正是游离的甲状腺激素。
甲状腺激素的降解途径主要是脱碘,80%以上的T4在外周组织(主要是肝脏、肌肉等)脱碘后成为T3及反T3,然后进一步脱碘或与某些有机物形成复合物;其余20%的T4与T3主要与葡萄糖醛酸或硫酸盐结合(少量以游离情势)经胆汁排入肠道。
除甲状腺细胞外,胃粘膜的壁细胞、乳腺的腺上皮、唾液腺、脉络丛也能摄取碘,因为在进化过程中它们也属于内胚层腺体,但它们不能合成甲状腺激素。

正常的放射性碘扫描
放射性碘扫描的一个重要适应症是甲状腺癌术后评估残余甲状腺和寻找转移灶。由于分化型甲状腺癌转移灶也表达NIS,因此也具有摄取碘的功能。
我们先来看一下碘扫的生理性摄取分布和可能出现的污染部位,这些地方的摄取与上面提到的碘的代谢密切相关。可出现生理性摄取的部位包括脉络丛、泪囊、鼻咽部、唾液腺、食管、残余甲状腺、乳腺、肝脏、胆道及胆囊、肠道、泌尿系统等。

放射性碘扫描假阳性原因
碘扫假阳性的原因可大致分为5类:
➤正常甲状腺以外的组织NIS表达;
➤放射性碘在代谢过程中的停留;
➤非甲状腺来源的肿瘤摄取;
➤炎性病变摄取;
➤污染。

1.非甲状腺组织NIS表达
除甲状腺以外,唾液腺、哺乳期乳腺、胸腺、胃壁细胞、脉络丛、泪腺、睫状体等也可表达NIS,另外异位的甲状腺组织也可摄取碘。
异位甲状腺大多在围绕甲状舌管发育沿线的路径上或在颈外侧,如在气管、下颌下、颈侧、食管、腋部、腭扁桃体、颈动脉分叉等部位,有时可见于眼虹膜、垂体、胸腹腔内脏器甚至卵巢、输卵管、子宫、阴道等部位。62岁男性,甲状腺乳头状癌全切术后,碘131治疗后7天碘扫见残留的甲状舌管及残余甲状腺组织摄取:

哺乳期乳腺摄取:

48岁女性,非哺乳期,碘扫见双侧乳腺生理性摄取增高(通常非哺乳期乳腺NIS表达低):

19岁男性,8年前因甲状腺乳头状癌全甲状腺切除术,并行放射碘治疗,近期因Tg水平升高(18ng/mL)再次行碘131治疗,治疗后碘扫见胸腺生理性摄取增高,这与胸腺NIS表达以及胸腺的Hassall小体和甲状腺滤泡结构相似有关:
2.放射性碘污染
碘可经尿液、胆汁、汗液等途径排泄,并可分泌至唾液、乳汁,因此尿液、肠道排泄物、汗液、唾液、乳汁都可能造成污染形成碘扫图像上假阳性表现。
54岁女性,甲状腺乳头状癌甲状腺全切除术后,碘131治疗后碘扫见足周、头皮由于汗液中放射性碘的污染导致的异常摄取:

3.放射性碘停留
碘在代谢过程中由于各种原因可能造成放射性碘在某处聚集,造成假阳性,比如在集合系统、鼻腔、消化道以及一些憩室中的停留等。
72岁男性,甲状腺全切术后(乳头状癌),碘131治疗后碘扫见鼻腔分泌物所致摄取:

38岁女性,甲状腺全切除术后(乳头状癌),碘131治疗后7天显像见乙状结肠局灶性摄取:

36岁女性,乳头状甲状腺癌甲状腺全切除术后,碘131治疗后7天显像见子宫内膜区摄取,考虑为碘在经血中停留所致:

胃食管返流所致上段食管摄取,饮水后显像消失(下图),同理贲门失迟缓症、食管裂孔疝等也可能造成食管异常摄取:

碘在一些囊性病变中也可形成局部停留,可能由于碘通过被动扩散进入到囊腔中然后停留,造成假阳性显像。
74岁男性,甲状腺全切除术后(乳头状癌),碘扫见颈部残余甲状腺,并可见背部皮脂腺囊肿异常摄取:

肝周或肝被膜下囊肿所致碘摄取:

单纯肾囊肿的碘摄取,可能由于囊液与集合系统的交通或碘通过囊肿上皮细胞分泌入囊内停留形成:

60岁男性,甲状腺全切除术后(乳头状癌),碘扫见颈部残余甲状腺及颈部淋巴结转移,此外上牙修复处见碘摄取,考虑可能为带负电的碘离子与带正电的金属材料结合并在局部停留所致:

4.炎症摄取
感染及非感染性炎症均有可能导致碘摄取,这并非由于炎症细胞NIS表达上调,而是与炎症部位常有血管扩张、毛细血管通透性增加等导致碘的非特异性摄取,造成假阳性。
63岁女性,甲状腺癌病史,肺内不典型分支杆菌感染所致碘摄取:

肺内曲霉菌球摄取:

鼻腔脓肿所致碘摄取,其下方可见颈部残余甲状腺:

小腿外伤导致的碘131摄取:

5.非甲状腺来源的肿瘤摄取
文献报道过多种肿瘤可能表现为碘假阳性摄取。有的肿瘤因为NIS表达摄取碘,比如唾液腺导管上皮来源肿瘤、胃癌、乳腺肿瘤、肺癌等;有的由于肿瘤血供丰富、瘤内血池停留、碘从瘤内毛细血管逸出等原因导致碘摄取,如脑膜瘤、血管瘤等;有的肿瘤由于碘被动扩散至瘤内或原因不明。
63岁女性,甲状腺乳头状癌甲状腺全切除术后,碘131治疗后,除颈部残余甲状腺外,碘扫见右侧腮腺软组织密度结节,摄取明显增高,穿刺活检提示腮腺良性肿瘤[2]:

鼻腔息肉所致碘摄取,同时可见颈部残余甲状腺组织:

乳腺良性纤维瘤碘摄取:

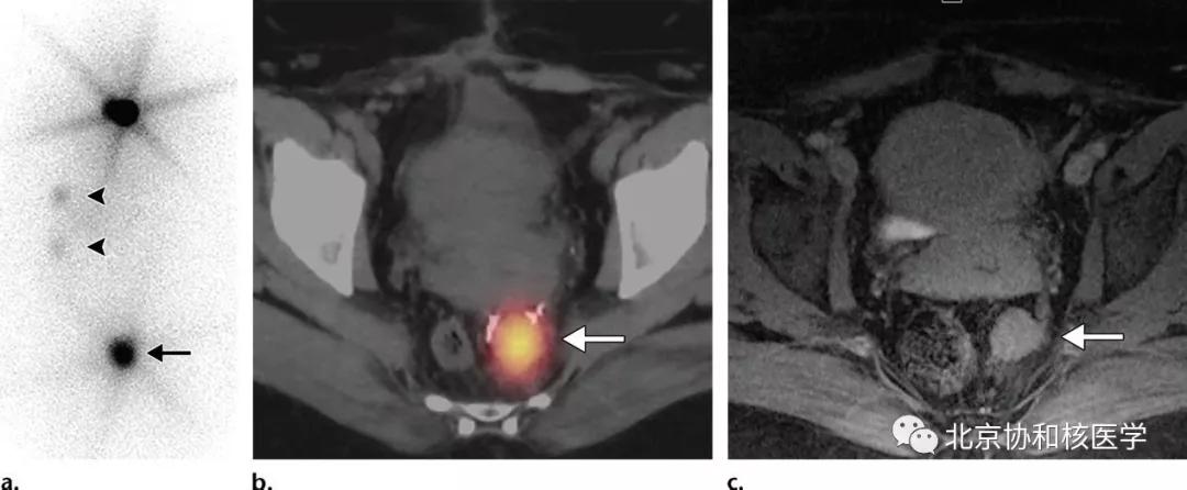
39岁女性,恶性卵巢甲状腺肿病史,行右侧卵巢切除术、甲状腺切除术、碘131治疗,碘扫可见残余甲状腺摄取、盆腔转移灶摄取及肝转移灶摄取:

脑膜瘤所致碘摄取:

鼻骨骨样骨瘤所致碘摄取,腹部另可见由于巨大肾囊肿所致碘异常摄取:

肺鳞癌所致碘摄取(后位图像),同时可见颈部甲状腺残余病灶:

由此可见,虽然放射性碘扫针对分化型甲状腺癌术后探测残余甲状腺和转移灶的敏感性和特异性都很高,但是仍然有假阳性的情况存在。这些问题让放射性碘扫描这一技术不够完美,但正是这样,我们才要更仔细的分析、解读每一个病例。
参考文献:
1.OhJR, Ahn BC. False-positive uptake on radioiodine whole-body scintigraphy:physiologic and pathologic variants unrelated to thyroid cancer. Am JNucl Med Mol Imaging. 2012;2(3):362-85.
2.ChudgarAV, Shah JC. Pictorial Review of False-Positive Results on RadioiodineScintigrams of Patients with Differentiated Thyroid Cancer. Radiographics.2017;37:298-315.
3.JiangX, Wang Q, Huang R. Nasal visualization on radioiodine whole-body scintigraphydue to benign abnormality. Clin Nucl Med. 2015;40:340-342.
4.SinhaP, Conrad GR, Holzhauer M. Incidental detection of a falx meningioma onpost-therapy radioiodide whole-body imaging. Clin Nucl Med. 2002;27:916-917.
5.RachinskyI, Shelef I, Agranovich S, Lantsberg S. Is osteoid osteoma an iodophiliclesion?: pathologically proved osteoid osteoma of nasal bone first seen onwhole-body iodine-131 scan. Clin Nucl Med. 2003;28:696-698.
6.Misaki T, Takeuchi R, Miyamoto S, Kasagi K,Matsui Y, Konishi J. Radioiodine uptake by squamous-cell carcinoma of the lung.J Nucl Med. 1994;35:474-475