这两天同事小张去口腔看了自己的牙齿,因为她上面的牙槽骨比较突出,再加上他的露龈笑,牙槽骨显得更加名明显了。每次一笑,牙槽骨突出的那两个地方展漏无疑。为此她很是苦恼。每次想要大笑的时候就用不由自主想要用手捂着嘴巴。
这两天去了口腔医院,医生给他通过X光拍了片。视察了之后告诉她,他这是属于牙槽骨骨质增生。那么牙槽骨增生到底是怎么回事?
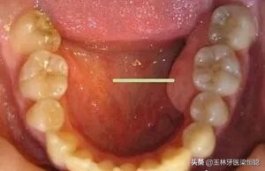
临床上,我们常常遇到患者说“牙龈上鼓了个包,硬硬的”,或镶牙的老人说“牙床压着疼”,通常可能是出现了牙槽骨骨质增生。

口腔内牙槽骨的骨质增生是指牙龈区域的牙槽骨出现骨质增生性突起,在临床上比较常见。
骨质增生是骨骼机体的一种体现和态势,表现为骨骼生长、发育及其完成功能的过程中,某些局部部位偏离了正常的生长发育趋势,失去了正常的形态。
骨质增生的情势多种多样,因所在部位不同而有其各自的特点,在口腔中多表现多圆锥状突起或小骨刺,一般没有明显的临床症状,有时候伴有轻微的疼痛,可以通过X光摄片清晰地辨认骨质增生的部位和增生的程度。
那么牙槽骨骨质增生是由什么引起的呢?

一般来说,有以下几种因素。
1.慢性炎症刺激。局部慢性骨髓炎症、牙齿根尖周炎症、牙周炎症等慢性炎症的长期刺激导致牙槽骨骨质增生,这是最为常见的原因。
2.创伤、压迫因素。
3.过度发育的原因。
4.遗传因素。
5.药物因素。
6.病毒因素。
7.年龄因素。年龄慢慢变大
上面关于牙槽骨增生的内容,大家有没有了解清楚呢?那么当我们遇到牙槽骨增生的时候
我们应该怎么办呢?

一般应该采取的处理措施如下:
1.牙槽骨质增生一般不会给患者带来痛苦,也不影响美观和牙齿功能,通常情况下是不需要治疗的。
2.针对生理性的骨隆突,一般也不进行治疗。在第三磨牙和双尖牙舌侧牙槽骨的舌侧骨隆突、上颌骨骨隆突、下颌隆突等生理性突起,在进行活动义齿修复时应避开这些地方,以免义齿佩戴后产生压痛。
3.骨质增生的患病率随着年龄增长而增加。老年人需要维持骨质的正常代谢,补食高钙食品如奶、蛋、豆制品、蔬菜和水果,并适当补充钙剂。
4.如果牙槽骨骨质增生影响到口腔治疗,需要手术去除多余的增生骨质,为修复创造条件。
5.针对影响口腔功能或产生疼痛症状的细小骨突起或骨刺,可以采取手指按压的方法,经过1~2月左右的按压一般会逐渐消失或明显减小。
6、如果由炎症引起的牙槽骨骨质增生要及时治疗,先消炎消肿,再配合局部按摩治疗,坚持用手按摩增生部位。如果是局部刺激引起的,首先要去除刺激物,比如说不良修复体。牙槽骨骨质增生是可以通过手术治疗的