随着房颤射频消融手术的广泛开展,房颤患者术后的管理愈发显得重要。房颤患者术后出现胸痛,是常见但需要高度重视的情况,找出其原因,并给予及时的处理,才能避免严重的临床后果。房颤患者术后的胸痛,可能的原因很多,包括气胸、心包填塞、心房食管瘘、心肌梗死、肺栓塞等。说起来气定神闲,但各个都是要命的狠角色。不过今天的这个病例,病因有点不一样。
作者:何金山 北京大学人民医院
本文为作者授权医脉通发布,未经授权请勿转载。

患者52岁男性,因心悸1年余入院,院外诊断为阵发性房颤,尝试了β受体阻断剂、普罗帕酮和胺碘酮等药物,房颤仍有发作并伴有明显的症状,于是决定进行射频消融手术。手术过程再普通不过,穿刺左侧锁骨下静脉,放置冠状窦,两次穿刺房间隔,环肺静脉构建左房的电解剖模型,而后压力导管完成双侧的肺静脉隔离,由于是阵发性房颤,并没有进一步加线消融。看起来这就和其他的阵发性房颤一样,术后视察3天左右,即可出院。
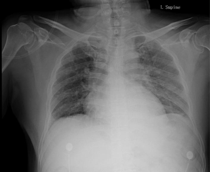
患者是在下午3点左右完成的手术,手术当天夜里10点出现了胸痛的症状,胸痛表现为与呼吸相关的刺痛。为患者完善了胸片,未见气胸,未见心包积液征象(图1)。这是典型的房颤患者围术期管理,因为进行了锁骨下静脉穿刺,因而需考虑到穿刺相关并发症的可能如气胸,但胸片无阳性发现,基本可除外。另外需要考虑到的致命并发症就是心包填塞,患者无心率快、血压低等典型表现,胸片未见心影增大,也不支持。

图1:患者开始出现胸痛,完善的胸片,未见气胸和心包积液表现,但回顾来看,左侧胸腔看似密度增高
患者胸痛原因未能明确,只能继续视察。次日凌晨4点,患者睡眠中痛醒,伴有呼吸困难,症状进一步加重,测血压100/60 mmHg(患者平素血压130/80 mmHg左右),心率100次/分。立即为患者完善了床旁心脏超声,仍然未见心包积液,看来心包填塞是确确实实除外了。可患者胸痛还在,这是什么原因呢?随后做完的床旁胸片,让大家吓了一跳,患者左肺几乎全白了(图2)。

图2:随后复查的胸片,可见左侧胸腔变白,提示发生了血胸
对比X线下的透光度,加上短时间内出现的特点,一个名字进入了我的脑海“血胸”。即大量的血液进入了患者的胸腔,最大的可能是患者在进行锁骨下静脉穿刺时,同时损伤到了血管和胸膜,胸膜腔内为负压,会对血管破损处产生“吸引力”,使得血液很容易进入胸膜腔(图3)。

图3:气胸、血胸和血气胸的定义,血液进入胸腔,形成血胸,结合锁骨下静脉穿刺的操作,此区域附近血管损伤加上胸膜破损的可能性大
开始时进入胸膜腔的血液比较少,胸膜炎明显,疼痛症状很重;随着血液的累积,整个左侧的胸腔大量血液,两层胸膜分开,疼痛症状缓解,但大量失血造成的血流动力学不稳定,和胸腔内积血压迫造成的呼吸困难开始显现出来。当然,房颤患者术中应用大量的肝素,和长期服用的抗凝药,也在血胸形成过程中发挥了重要作用,如果类似的损伤发生在无需抗凝的患者中,可能并不会造成如此严重的后果。
明确诊断后,立刻暂停了患者的抗凝治疗,补液、输血,胸腔穿刺置管引流。幸运的是,经上述治疗后,患者的情况很快得到了稳定,胸腔内积血逐渐减少(图4),使用抗生素预防可能继发的感染,患者仅出现了2天的低热,体温波动在37.5℃以内,其余时间并未出现发热。

图4:患者经胸腔置管引流后,积血逐渐减少,红色箭头指示胸腔内置管
结 语
临床就是这样,既要收获治愈疾病助健康之完美的喜悦,也要承担束手无策发生并发症的风险,并不是每一次都能化险为夷,但熟悉和识别可能的并发症,是救治这些患者的关键。
参考文献:
1. May J, Ades A. Porous diaphragm syndrome: haemothorax secondary to haemoperitoneum following laparoscopic hysterectomy. BMJ Case Rep. 2013 Dec 5.
2. Tatebe S, Kanazawa H, Yamazaki Y, Aoki E, Sakurai Y. Spontaneous hemopneumothorax. Ann Thorac Surg. 1996 Oct. 62 (4): 1011-5.
3. Nason KS, Ganim RB, Luketich JD. Chest wall, lung, mediastinum, and pleura. Brunicardi FC, Andersen DK, Billiar TR, Dunn DL, Hunter JG, Kao LS, et al, eds. Schwartz's Principles of Surgery. 11th ed. New York: McGraw-Hill; 2019. Vol 1: 661-750.
4. Di Crescenzo V, Laperuta P, Napolitano F, Carlomagno C, Garzi A, Vitale M. Pulmonary sequestration presented as massive left hemothorax and associated with primary lung sarcoma. BMC Surg. 2013 Oct 8. 13 Suppl 2: S34.
5. Broderick SR. Hemothorax: Etiology, diagnosis, and management. Thorac Surg Clin. 2013 Feb. 23 (1): 89-96, vi-vii.
