导读
急诊科接诊了一位巴基斯坦女性患者,她面色苍白,身后还跟着一个五六岁的小女孩。经询问后发现,她出现恶心、呕吐、腹泻、下腹痛和排尿困难症状已经一周了,开始并未在意,这几天症状越发严重,才来医院就诊。
患者今年26岁,已经是3个孩子的妈妈,3个孩子都是正常阴道分娩并且很健康。她月经失调、痛经已经1年了,此外,2年前还曾接受过肺结核治疗,无吸烟史,无定期药物服用,无特殊家族史。
检查
经体检发现,患者口腔温度为37.8℃,脉搏为100次/分,血压为160/100 mm Hg。患者全身苍白,但未检测到杵状指,黄疸或发绀。腹部检查显示轻度全身性压痛。发现有轻度至中度腹水。胸部检查提示双侧胸腔积液,左侧较大。
该患者的初步实验室检测显示,血红蛋白8mg/dL、红细胞沉降率(ESR)65mm/h、肝肾功能正常、尿液分析中红细胞(RBC)、白细胞(WBCs)和蛋白质阳性。胸部X线检查显示双侧胸腔积液(左侧更大)。Mantoux法皮肤测试为阴性。腹部和盆腔的超声检查显示双侧肾积水(图1)。

图1 腹部超声显示双侧肾积水
患者肠系膜和肠壁增厚,存在腹腔积液和中度腹水。用于分析的腹水样本显示渗出性腹水,以淋巴细胞为主(80%)。在细菌培养或革兰氏染色中未发现微生物,细胞学上未见恶性细胞。
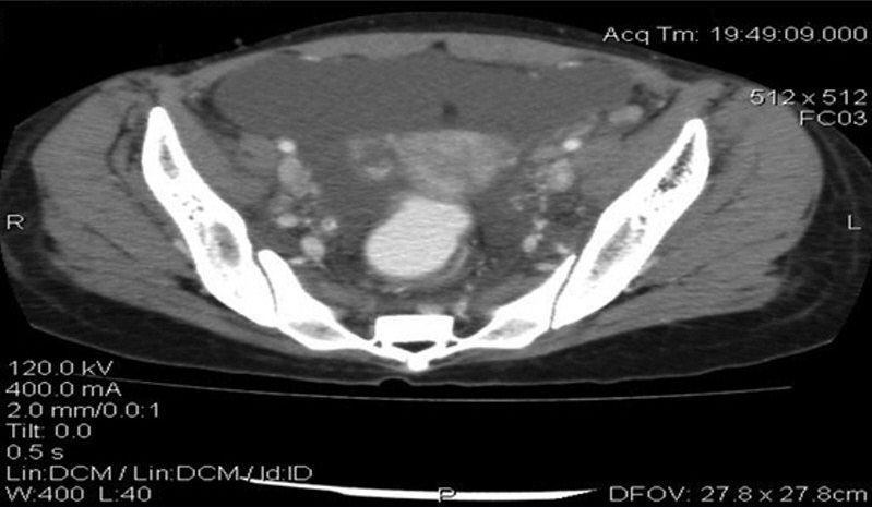
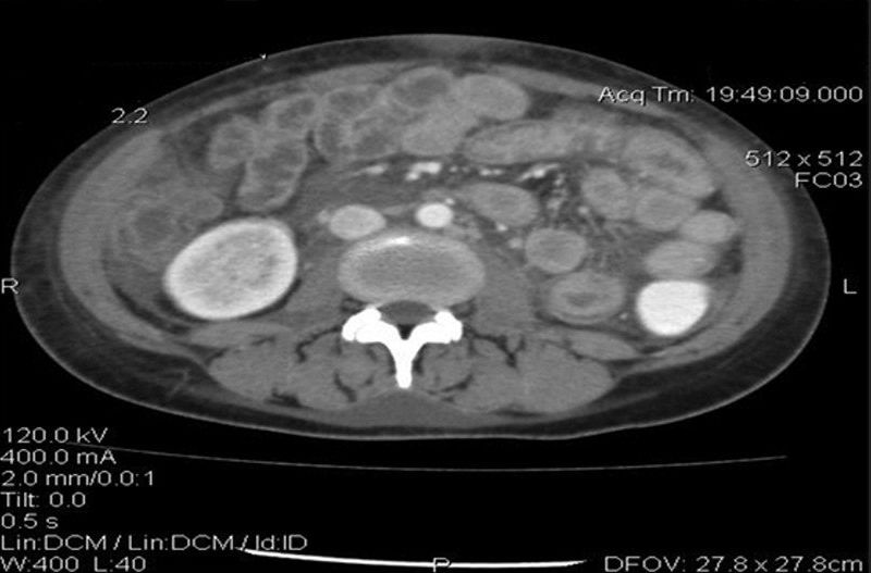
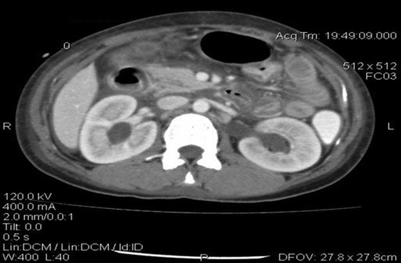
癌胚抗原(CEA)水平正常,但CA-125水平升高为93.5μg/ml(正常范围,0~35μg/ml)。进行腹部和盆腔的CT扫描,证实存在中度腹水和腹膜结节(图2)。膀胱壁和肠壁增厚(图3)。双侧肾积水和多个扩大的主动脉旁淋巴结也可见(图4)。

图2 盆腔增强CT显示盆腔游离液体

图3 腹部增强CT显示肠袢增厚

图4 腹部增强CT显示双侧肾积水
根据上述检测结果及既往结核病史,作出临时诊断为结核性腹膜炎,并开始进行抗结核治疗(ATT)。然而,患者的症状并未减轻,甚至在ATT治疗3周后,患者发烧和腹痛症状仍然持续。随后,患者发展为双手腕关节疼痛,ESR上升至130mm/h。
下列哪一个是最有可能的诊断?
A.转移性卵巢癌
B.结核性腹膜炎
C.系统性红斑狼疮
D.类风湿性关节炎
讨论
本例患者表现为腹部和泌尿系统不适,其实验室和放射学资料显示双侧胸腔积液、双侧膀胱壁增厚的肾积水、淋巴细胞渗出性腹水以及炎性标记物升高。因其有肺结核治疗史,且患者居住在地方病国家,最初认为结核病是病因;然而,在适当的ATT治疗3周后,患者的临床状况并未改善,还出现双手腕关节痛,ESR上升到130mm/h。
经过3周适当的抗结核治疗后状况并未改变,加之Mantoux检测阴性及细菌培养结果,这强烈提示并非结核病。虽然表现不典型,但关节痛的发展增加了系统性红斑狼疮(SLE)的可能性,SLE通常表现为浆膜炎、关节痛、贫血、肾脏疾病和淋巴结病。虽然卵巢癌可引起浆膜炎、腹膜腔增厚、淋巴结病和肾积水,但CT扫描中,无卵巢肿块且存在发热症状,使得该诊断可能性不大。该案例中,类风湿关节炎也不太可能,尤其是在无临床关节炎的情况下。
抗核抗体(ANA)检测呈强阳性。还发现患者的抗双链DNA抗体升高(>50 IU/L)。考虑到患者临床影像和风湿病学资料,诊断为系统性红斑狼疮,患者开始接受大剂量皮质类固醇和细胞毒性治疗。在该疗法开始后,患者的症状有所改善。
SLE是一种炎症性疾病,几乎可以累及任何器官系统。SLE的患病率随种族和地域而变化,反映了遗传和环境影响的相互作用。白人患病率大约是30例/10万人口,而黑人接近100例/10万人口。该疾病女性患病率是男性的9倍,尽管在任何年龄都可能发生,但育龄期女性多见。
SLE的特点是免疫系统失调,导致抗核抗体及其他自身抗体的产生,它们可形成循环免疫复合物或直接与组织结合。视察到许多免疫紊乱,包括与遗传关联的HLA类型、免疫调节基因、补体基因、T细胞功能和清除凋亡碎片。这种疾病可以涉及身体的任何部分,包括皮肤、肾脏、神经、心脏、肺和/或血液学表现。关节炎引起的关节疼痛和皮肤病是最常见的表现。
50%的病例会出现胃肠道(GI)症状。最常见的症状包括厌食、恶心、呕吐、腹泻和腹痛。并发症,如狼疮血管炎(涉及胃肠道的血管系统),慢性假性肠梗阻,无菌性腹膜炎。
SLE相关的胃肠道血管炎可累及从食道到结肠的肠道任何部位,患病率为0.2%-53%。然而,大多数胃肠道血管炎都会累及肠系膜上动脉(即小肠)。症状往往是非特异性的,可能包括腹胀,厌食,恶心,呕吐,腹泻或是并不常见的急腹症。
有些患者由于肠动力低下而出现慢性假性肠梗阻(如本例所示)。这是一种罕见的未知病理生理的临床综合征,可由内脏平滑肌、肠神经或内脏自主神经受累引起。类似的并发症可能在系统性硬化症和其他相关疾病中出现。

图5 免疫符合物介导的血管炎发生示意图
泌尿生殖系统的临床表现比较少见,往往与胃肠道疾病相关。狼疮性膀胱炎的发病机制是免疫复合物介导的血管炎。由此产生的慢性炎症和泌尿系统运动障碍导致膀胱壁增厚、泌尿系统梗阻性疾病和肾积水。本例患者双侧肾积水,超声和CT扫描显示膀胱壁增厚,后来在膀胱镜检查中证实。这些是SLE最常见的泌尿系统表现和血管炎现象。
患者的腹水检查显示渗出性图像,以淋巴细胞为主,这是SLE和结核性腹水的典型特征;然而,该患者的腹水分析没有显示任何感染性疾病或恶性肿瘤的证据。CA-125水平升高,但这并不是卵巢癌特征性的症状,在免疫或风湿性疾病或涉及腹膜的慢性炎症的过程中,该标记物也可能升高。
持续高ESR、高滴度ANA以及高滴度抗双链DNA抗体和低补体水平,高度提示SLE。尽管患者多发性浆膜炎、肠梗阻、高热和肾积水的症状表现并不常见,但其关节炎、浆膜炎和肾脏受累的表现,满足美国风湿病协会SLE的修订标准,该标准以关节炎、浆膜炎和肾脏受累为基础。ANA和抗双链DNA的尿中和高滴度
该患者最初接受大剂量糖皮质激素和细胞毒性治疗,然后维持口服类固醇。每月定期随访,包括全血细胞计数(CBC)ESR、肾功能和尿液分析,以监测治疗反应和不良反应,并检测新器官系统受累的迹象和症状。治疗反应良好,未发现不良反应。
综上,系统性红斑狼疮诊断上具有一定挑战性。在检查结果无特异性、未能明确诊断的情况下,应强烈考虑风湿性疾病。
医脉通编译自:Kaleem Ullah Toori et al. A 26-Year-Old Woman With Pleural Effusion, Hydronephrosis, and Ascites.Medscape.August 16, 2018.
