肺部真菌感染发病率越来越高,以前认为该病只发生于免疫力降低或者长期口服免疫抑制药物患者,但现在有向免疫力正常人群蔓延的趋势,甚至城市白领时有因此病来就诊者。曲霉菌是致病性真菌中比较重要的致病菌,根据患者免疫力情况及吸入曲霉菌数量,该病侵袭人肺主要分三种类型,下面简单的介绍一下。

曲菌球形成
该类型主要发生于以前有过肺结核,支气管扩张,肺脓肿等疾病所致肺部空洞的患者,由于长期反复发作肺部普通细菌感染,患者常常因消耗而免疫力低下,曲霉菌容易乘虚而入,在空洞中寄生,而身体为了限制曲霉菌生长,会分泌白细胞,纤维素以及液体去消灭并包裹该菌,但身体的免疫力又不够以消灭真菌,慢慢的真菌、死去的白细胞、纤维素、身体分泌的液体长成了一个球状,并在空洞中滚来滚去,如果撕裂血管可能导致致命性大出血。

侵袭性肺曲菌病
这种态势是真菌直接感染了没有空洞的肺部,在肺部形成病灶的表现,通常发生于糖尿病、白血病等恶性肿瘤化疗后、长期服用糖皮质激素以及免疫抑制药等免疫力低下的患者,可以在肺部形成团块影、片状影,有的还能形成空洞,在病灶周围还会形成圆形晕征。

变态反应性支气管肺曲菌病
这种态势是身体本身为过敏体质,长期合并曲菌吸入,身体因为严重的过敏反应形成大量粘稠的粘液栓塞在气管中,很容易形成中央型支气管扩张,患者同时伴有哮喘样发作,很容易和哮喘混淆,但使用抗哮喘药物无效。

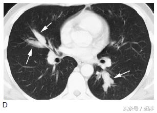
箭头所指为粘液栓和支气管扩张
治疗
治疗曲菌主要使用抗真菌药物,比如伊曲康唑或者伏立康唑,使用疗程一般要三个月以上,针对形成曲菌球的患者,如果长期有咯血,甚至大出血威胁生命时,需要紧急手术治疗。变态反应性支气管肺曲菌病在抗真菌的同时还要用吸入剂扩张气道平喘治疗。
有兴趣了解更多呼吸系统疾病知识,可点击:通俗呼吸病学,读完了可以做半个医生,常见的呼吸病都在这里了