总有一些人
他们会刻意将异物塞入肛门
塞进去的东西也是五花八门
只有你想不到,没有他们做不到

前不长
一个惊人的病例引爆朋友圈
一位患者因为从肛门塞入三条泥鳅而就诊
CT三维重建下三条泥鳅的骨骼清晰可见
占据整个下腹部和盆腔......

图片被转发到微博以后
引来了大量网友的转发评论
俨然成了一场肛门异物的学术大讨论

评论区画风是这样的
......

有人为泥鳅鸣不平!

有人在讨论这是泥鳅还是黄鳝,
不过很快有水产领域的
课代表出来划重点!

是的
是三条大鳞副泥鳅,俗称大泥鳅
中国特有品种,体长10公分以上
首诊医生@刘冠羣字斩仙现身说法
原来真实情况是这样的!

患者是一位40多岁的男性病人
因为听信网上治疗前列腺增生的偏方
把三条大泥鳅塞入肛门
下面是刘大夫亲述:
2月10日那天我看的急诊,事情的经过是这样的,我是他的首诊大夫,一开始急诊打电话急会诊说是吃泥鳅吃坏了肚子,我觉得这也没啥,然后让他做腹部CT。后来看到他的CT赫然三条鱼骨头。我一看CT很吃惊,难道是生吃的?
去一楼急诊问患者本人,当时我听他说了事实,是下面塞进去的真把我吓一跳。他第一句话就是说,听信网上前列腺偏方把他害惨了,让我救救他赶紧手术,问我有没有穿孔,当时只有一个小时,还早,摸着板状腹很硬。他意识还有,后来就慢慢感染中毒休克了。后来术中发现乙状结肠穿孔,三条鱼都到了腹腔里,有一条还往回盲部钻,不过取出来应该都是死的了。
急诊做了肠穿孔修补,双腔造瘘。术后病人转去ICU,暂时稳定了。
事情终于水落石出
通过这个病例也告诉大家
千万不要轻易相信偏方
肛门异物无法取出的案例层出不穷
2019年才刚刚开始
急诊医生就接诊了各种各样的肛门异物
01
浙江一小伙为寻求刺激,在元旦当天上午把一玻璃棒状物体塞进肛门。
随着直肠肌肉收缩和肠管蠕动,玻璃棒逐渐深入肠道。
也许是兴奋过头了,小伙竟没有把握好尺度,致使整根玻璃棒全部进入肠道。
由于玻璃棒体积较大,在肠道内润滑液的作用下,不仅没办法取出,反而越陷越深。
一开始小伙羞于启齿,没有及时就诊。
下午的时候感到腹部不适,肛门胀痛难忍,无奈之下到医院就诊。
经X光片检查发现,玻璃棒状物体已经完全进入直肠,并进入乙状结肠,末端到达平脐的位置。

到了医院后,医生只能通过在麻醉镇静及肌松作用下,运用钳具尝试将玻璃棒取出。
庆幸的是,在麻醉态势下,两位医生通力合作将异物取出。
取出的物体足有25cm长,最粗的部位有5cm,有手腕子这么粗。
小伙在一天后顺利出院。

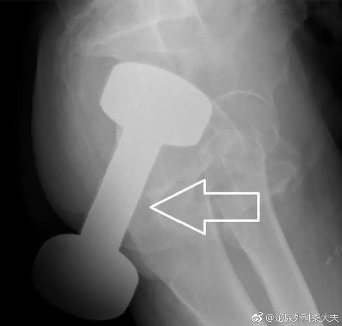
02
春节假临近结束,一位50多岁的男子发现了这种新奇玩法。
把哑铃塞进了肛门,到急诊后隐瞒了部分病史,直到拍片子的时候医生才发现了这个重达10斤的哑铃的“重大秘密”。

最后这个哑铃在足够的润滑和牵引后被从直肠中取出。
综合: 医学论坛网、医圈那点事儿
千万不要听信偏方
往肛门内塞异物啊啊啊!
有病还是要及时要医院治疗啊!
有同感戳“好看”!
转出去!让更多人看到!