一芳龄25的花季少女,最初因“腰痛”去骨科就诊,后来经过我科拍片,CT和MRI的一系列检查,最后转而去了泌尿科,放射科大夫到底看到了什么?
她大约一月前开始出现腰痛,以为是累的,没太在意,直到腰部脊柱旁的皮肤出现了一个小口子,还往外流水,才有些紧张,来骨科看病。
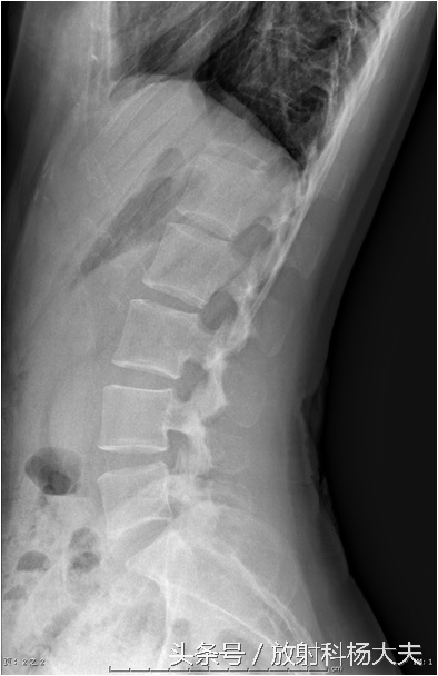
先拍片子吧,看看骨头有没有问题。
片子拍了,很好,没有任何问题,没有骨质破坏,没有骨刺,椎间隙也不窄。

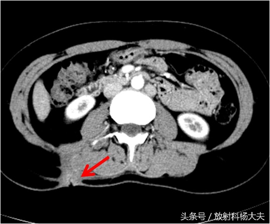
骨科接着开了腰椎CT,骨科大夫怀疑背部是一个窦道,猜测窦道可能是脊柱旁,因此开了腰椎CT平扫,腰椎CT扫描的时候是以腰椎和椎间盘为主的,范围不大,但我们却在不大的范围内发现了问题,除了窦道,肾上有东西!但腰椎CT平扫实在难以评价,因此做了腹部增强CT,发现了实属罕见的情况:那个确实是个窦道,如下图红箭所示,窦道外口在体表,也就是流水的地方。窦道的上口却是在肾脏!

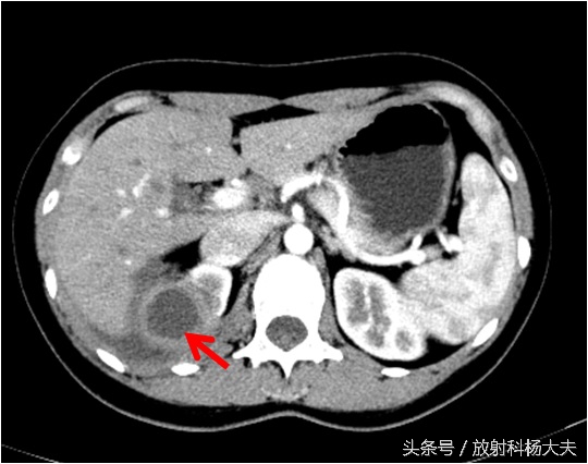
如下图,右肾上长了个东西,囊性的,壁挺厚。

女孩的肾功能是好的,可以看到VR图像里双肾盂和输尿管显影很清楚。

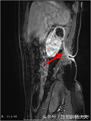
这个囊性病变到底是什么?囊性肿瘤?有无办法继续明确呢?有!那就是MRI,除了进一步明确,还能更清楚的显示窦道的走行。下图这个序列,叫DWI,红箭所示的白白的东西,证明这是一个脓肿!

终于搞清楚了,原来一个月前的腰痛,是肾脏的脓肿,而且MRI上还能清晰的显示脓肿破口的位置,下图中黄箭所示(红箭为脓肿)。

还有那弯曲的窦道。

肾脓肿并不少见,少见的是破溃后的脓液沿着肾周间隙一直到腰部,并破溃到体表,形成了脓肿。幸亏借助现代影像技术,我们一步步帮助病人搞清楚了病变的性质和部位,才能精准的找到负责科室:泌尿科,泌尿科大夫根据这些影像检查结果就可以有的放矢的治疗了!