养猪累,但是我们养猪更怕的是白白废力气;母猪怀孕时我们生产的基础如何确定是不是怀孕的;今天把常见的方法跟大家分析下;
一、通过声波(或者仪器)
1、常见的B超,以及A超,多普勒超声诊断仪;

23天的B超图
2、这里只说下B超因为本人用的也比较多;

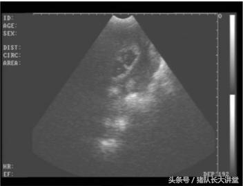
27天图
A、可以较为准确的测出是不是有小猪,具体使用办法,根据说明使用,大家也可以提出问题;关注,一般你检测有的就是有了,单是检测没有的时候应该多视察;
B、缺点,价格还是比较贵的,大家可以从不同渠道借下,但是要保证靠谱,不然误诊大了不如不测;

中间的黑球是初期胚胎
二、激素检测(药物)
1、 孕马血清促性腺激素:
A、使用方法:配种2周后就可以了,肌肉注射700IU;
B、判定标准:如果母猪发情不是特别明显(不发情或者不接受交配),那就是已经配上了;如果母猪在5天内发情了,说明这个猪就没有配上;
C、好处:不会造成猪的流产或者产自数量减少;
2、已烯雌酚;
A、使用方法:配种2周后,肌肉注射1毫升就可以;
B、判定标准:不发情即可;
3、其他类激素比如很多促性腺激素,用的比较少就不再多分析;
三、尿液检查
1、检查尿中的雌酮,就是使用特定的试纸来检测的办法,使用较多,但是原理较为复杂;
2、尿液碘化罚(较多使用):
A、使用方法:配种2周后,清晨取新鲜尿;加入碘酊1毫升,摇匀,然后加热沸腾就行了;
B、判定标准:尿液如果变为红色,就是怀孕了;如果变红后,待放置褪色为黄色或者其他颜色就是没有怀孕;
C、这个方法使用简单,但是容易受杂志影响,所以使用一定关注清洁以及消毒,减少干扰;四、血小板计数法
A、使用方法:配种一周后仪器直接检测就可以;
B、判定标准:如果血小板显著减少就是怀孕了;
五、其它方法
1 公猪试情法:公猪诱情发情了,当然就是没配上;
2 阴道检查法:如果阴道颜色变浅,并且有浓稠黏液,,说明已经妊娠。外阴户也可以但是难度较大,阴户最下边如果逐渐收缩紧闭,且开始明显地向上翘,说明已经妊娠。
其实还有直肠检查法、血和乳中孕酮检测法、EPF检测、红细胞凝集、掐压腰背部、子宫颈黏液涂片这些办法,但是限制都比较大就不再详细赘述了;
猪队长大讲堂原创。新年祝大家养猪顺利,事事顺心,养猪继续赚大钱;
三农、畜牧业、农业、养猪、猪、猪病