痔疮可能出现在直肠内部(内痔)、肛门周围的皮肤(外痔)或两者兼有,肛门疼痛、出血、瘙痒及肛周有硬块都是痔疮的症状。虽然,多数痔疮会在几天内好转,但长痔疮总会让人坐立难安,你说难受不难受。

· 患了痔疮会发生什么? ·
痔疮最常见的致病原因是排便用力、便秘和怀孕,其症状取决于长痔疮的部位。内痔会导致排便时出血,但通常自己感觉不到痔疮存在。有时,内痔会露出肛门,可能导致刺激感和疼痛。外痔通常会引起肛门周围瘙痒和出血、有时会导致血块并可能异常疼痛和肿胀。
如何治疗呢?
痔疮膏、霜、栓剂只能缓解症状并不能缩小或消除痔疮,严重时就要手术了。
难道就没有更好的办法了吗?
有
在中美医院消化科
有一种叫(CAES)的术式能有效解决地痔疮问题。

※
看案例
患者,男性,50岁
主诉: 间断便血、肛门烧灼感1年,发现内痔半月。
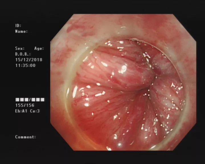
现病史:患者1年前进食辛辣食物后出现便血,为鲜血,量较少,伴肛门部烧灼感,大便正常,无头晕、心悸,无腹痛,未予重视,半月前再次出现上述症状,就诊于我院门诊,查肠镜提示“慢性结肠炎(直肠、乙状结肠)内痔”,建议行透明帽辅助内镜下痔疮硬化术(CAES),今日为求内痔治疗而来我院。
既往史:发现血压升高10年,最高140/110mmHg,口服“缬沙坦胶囊”,血压控制不详;间断上腹胀2月。

(15日)手术在静脉麻醉下进行,在透明帽辅助下成功完成内痔痔核聚桂醇硬化注射治疗,整个手术过程进展非常顺利,持续约20分钟,患者完全没有痛苦。术后患者排便正常,无特殊不适。
· CAES不是你想做就能做? ·
内痔的分期
Ⅰ期:以无痛性便血为主要症状,无内痔脱出,便后出血可自行停止。
Ⅱ期:便时带血、滴血或喷射状出血,伴有痔核脱出,便后可自行回纳。
Ⅲ期:便时带血或滴血,伴内痔脱出,或久站,咳嗽,劳累,负重时内痔脱出,须用手回纳。
Ⅳ期:内痔脱出不能回纳,内痔可伴发绞窄、嵌顿。
CAES适应症:Ⅰ期、Ⅱ期、Ⅲ期内痔,混合痔内痔部分(尤其对出血内痔效果尤佳),直肠脱垂,合并长蒂赘生物。
CAES禁忌症:急性血栓性痔疮导致肛门疼痛、肛门狭窄、肛裂、肛瘘、大便*禁失**、溃疡性结肠炎、克罗恩病和有出血倾向疾病的患者,以及患者在过去12小时内有急性腹泻,或有严重感染、结肠肿瘤、妊娠、产褥期、精神异常、门脉高压等情况不适合该项治疗。
京东中美医院消化科内镜团队在冯子坛教授的指导下,率先在京东地区采用国内先进的领头的透明帽辅助肠镜下内痔硬化剂注射治疗技术,全新的治疗方式和理念,视野好,安全微创,效果好,术后恢复快!现已成功治疗数名内痔患者,病患便血、疼痛、大便不净感等临床症状完全缓解,患者非常满意,部分患者内镜复查见内痔完全消失。
哪些因素会加重病情?
任何对静脉的压迫都会使痔疮症状恶化,包括便秘、坐马桶时间过长、在冷硬表面久坐、肥胖、怀孕、使用有香味或染料的卫生纸、及肛门*交性**。
应该何时就诊?
如果在家治疗后症状没有好转或直肠出血,请及时就医。如果有严重直肠出血、或觉得头晕或眩晕,需要马上就医。
