近日,我院心胸外二科与甲状腺血管外科、麻醉科密切配合、联合手术,成功切除一例巨大后纵隔结节性甲状腺肿物。

△巨大的后纵隔结节性甲状腺肿
患者老年女性,近几年憋喘,进食较硬食物后偶有吞咽困难,时有声音嘶哑症状,但疏于体检和诊疗,一直不知是什么原因,自行服用多种药物,症状未见好转,为求进一步诊治,慕名来我院找到心胸外二科侯秋雨主任。经过详细询问病史、查体后,完善胸部CT检查,发现后纵隔内肿物,经进一步诊查后,诊断指向了后纵隔结节性甲状腺肿。

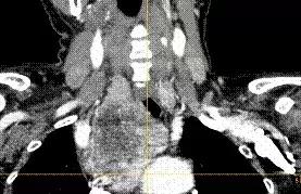
△CT影像可见甲状腺右叶下极显著增大,肿瘤延伸至胸廓入口下、向下延伸进入后纵膈,气管、食管受压左移
心胸外科随即邀请了甲状腺、血管外科赵勇主任和葛卫宁主治医师会诊,并共同完成术前讨论。两科室一同为患者制定了安全、详尽的手术方案,并探讨了围手术期相关事项。
侯秋雨主任和赵勇主任领衔,两科室数名医生同登手术台。在麻醉科的大力协助下,采用颈部切口+胸腔镜在全身麻醉下给患者行双侧甲状腺全切术+双侧喉返神经探查术+VATS后纵隔结节性甲状腺肿切术。术中,可见右侧甲状腺内有多个结节,较大位于中下部,右侧甲状腺下极有一大小约7×9cm囊实性肿物向下延伸到后纵隔、至奇静脉弓水平。患者仰卧位,颈部过伸,甲状腺、血管外科专家采用颈部低位领式切口,切除双侧甲状腺,并向下游离至甲状腺下动脉水平。心胸外二科采用左侧90°卧位,胸腔镜下游离后纵隔甲状腺肿,上至胸廓出口,与甲状腺外科会师,将后纵隔甲状腺从颈部切口拉出,避免了胸部大切口及相关并发症。

△术中切除的后纵隔巨大肿物
手术过程顺利,完整切除肿物。术后患者安全返回病房,术后无声音嘶哑、饮水呛咳、手足麻木、抽搐,术后影像检查评价手术效果好。特别值得一提的是,本次联合手术采用的是颈部低位领式切口入路+胸腔镜操作,避免了胸骨劈开入路、胸腔“L”型入路造成的创伤,有助于患者康复。

△胜利的喜悦
健康链接:
胸骨后甲状腺肿又可称之为坠入性胸腔内甲状腺肿,是指胸骨之后、纵膈区域的甲状腺肿,临床症状多与增大的甲状腺肿压迫胸内器官有关。
甲状腺肿物为何能跑到胸骨后?
甲状腺肿物由于自身重力的作用,使其渐下坠。最后发展到进入胸廓入口,后受到胸腔内负压的吸引,使正常的或肿大的甲状腺部分或完全坠入胸骨后间隙内,故又可称为坠入性胸腔内甲状腺肿,根据其坠入程度,又可分为部分型或完全型。临床上所见的胸内甲状腺肿病例,大多数属此类型,其血供主要来源于甲状腺下动脉及其分支。
为何右侧多见?
此类型甲状腺肿物本应左右机会相等,但由于人体解剖位置的关系,降落的甲状腺或肿瘤,在左侧将要遇到左锁骨下动脉,左颈总动脉及主动脉弓,而在右侧仅有无名动脉,间隙较宽,因此临床上以右侧为多见。
亮点:后纵隔结节性甲状腺肿与胸骨后甲状腺肿的区别
胸骨后甲状腺肿物顾名思义,肿瘤位于胸骨后,即前纵膈。肿瘤多呈“倒葫芦型”,颈部肿物大,手术几乎不需胸外科参与,患者仰卧位甲状腺外科医生就可以从颈部切口把胸骨后甲状腺切除。此例结节性甲状腺肿位于后纵隔,肿瘤胸腔内大,因胸廓出口的挤压,出现瓶颈,显现“哑葫芦型”,与胸骨后甲状腺肿不同,经胸廓出口进入后纵隔的巨大结节性甲状腺肿需胸外科和甲状腺外科共同完成。胸廓出口是重要的神经、血管,如:锁骨下动静脉、颈总动静脉、喉返神经、迷走神经、膈神经等,集中经过的必经之路,过去胸外科医生和甲状腺外科医生是采用经外侧开胸或者胸骨正中切口+颈部切口切除后纵隔巨大的结节性甲状腺肿。现在我院胸外科联合甲状腺外科采用颈部切口+胸腔镜下微创手术,术后第2天拔除胸腔引流管,患者即可出院,加速了患者康复。