胸部CT检查(Chest CT esamination)针对诊断新型冠状病毒肺炎有着重要的临床参考价值。本文主要将新型冠状病毒感染的肺炎患者常见的肺部影像学CT改变介绍给大家【1】。
当新型冠状病毒感染者持续的发烧、咳嗽、以及出现无法解释的乏力时,患者的CT肺部影像学结果基本为阳性。

以下图片可能不太清晰请参考原图a-h
根据钟南山教授 1099例患者中的840名病人入院接受胸部断层扫描时,其中76.4%表现为肺炎,其意味着紧靠CT确诊新型冠状 病毒感染准确率为76.4%。《Clinical characteristics of 2019 novel coronavirus infection in China》-2020.02.09
肺部影像学改变,其中毛玻璃样阴影占50.00%,双侧斑块状阴影46.0%,有9例患者无明显异常改变。
早期CT肺部影像学
在早期胸部影像学改变为肺低玻璃阴影

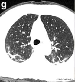
毛玻璃样阴影
肺实变和结节

肺结节
中心结节周围毛玻璃样改变

中心结节、周围毛玻璃样改变
根据感染的不同程度累积一个或多个肺叶

肺部感染涉及多个肺叶-1

肺部感染涉及多个肺叶-2

肺部感染涉及多个肺叶-3
当涉及到一个或多个肺叶,肺功能的影响并不严重时,呼吸急促和呼吸困难的症状也并不严重。随着病情的发展,肺部实变开始吸收,密度降低逐渐变成毛玻璃样的混浊,像融化的糖。

肺实变吸收后“融化的糖”样改变
肺部好转
如果患者得到有效的治疗,或者患者症状较轻免疫力成功抵御了病毒,炎症将进一步吸收程度开始降低。

开始恢复的肺
恶化
如果治疗不及时,或者免疫力无法抵御病毒,则很可能威胁生命,发展为白肺。

白肺,肺部恶化
当然白肺在仅仅发生在极少数弥漫性肺部损伤且涉及多个肺叶的危重型患者。
在此阶段,患者肺通气功能严重受损需要持续性吸氧,甚至需要进行体外膜氧合(ECMO)俗称人工肺。

EMCO人工肺,使肺部充分休息,防止呼吸衰竭
新手写作,望诸位大佬在评论区批评指教^_^我们下期见!
参考文献:
[1] Imaging changes in patients with 2019-nCov Published in European Radiology on February 06, 2020