腰椎间盘突出症是临床最常见的脊柱疾病之一,临床上只有不到10%的患者需要手术治疗。近日,唐都医院脊柱神经外科接诊一例腰椎间盘突出症患者,手术治疗后患者症状缓解。特别值得一提的是此例手术中借助椎间孔镜技术,手术切口只有 7mm 左右 。
病情介绍
患者青年男性,33岁,陕西榆林人。
病史
1、患者于6个月左右前出现腰部疼痛症状,疼痛不严重,未治疗;
2、患者病情显现进行性加重,症状长期不缓解,给予保守治疗,症状未缓解;
3、患者腰部疼痛不缓解,并于半个月前出现下肢疼痛症状,疼痛呈放射性;
4、患者就诊于当地医院被诊断为腰椎间盘突出症,为进一步诊疗选择唐都医院脊柱神经外科就诊。
诊断
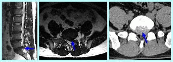
唐都医院脊柱神经外科王鹏教授结合患者病史、体征、症状及影像资料确诊患者为腰5骶1椎间盘突出,且突出造成明显的左侧神经根压迫,患者手术指征明确,建议手术治疗。

释疑:腰椎 间盘突出症患者什么时候需要手术?
临床上,90%以上的腰椎间盘突出症患者可在按摩、理疗、卧床休息、佩戴腰围等保守治疗后缓解症状,但是并非所有腰椎间盘突出症患者都能通过保守治疗治愈。当患者为以下任一情况时,脊柱神经外科医生多建议患者手术:
1、患者出现严重腰腿疼痛的情况,已经严重影响患者日常的生活或工作;
2、患者经过3~6个月保守治疗,但是没有取得明显效果;
3、患者出现走路不稳等运动障碍症状;
4、患者出现大小便功能障碍、性功能障碍时,需要手术给受压的马尾神经减压;
5、患者腰椎出现不稳时,需要手术维持脊柱稳定,避免椎间盘乃至周围的器官的损害。
治疗
唐都医院神经外科专家组讨论认为:患者手术指征明确,无明显手术禁忌,完善术前各项检查后建议脊柱亚专业组尽快行手术治疗。
手术
椎间孔镜下椎间盘髓核摘除术
术者
唐都医院脊柱神经外科王鹏教授
术后
本例手术患者切口只有7mm左右,更有助于患者恢复。术后患者症状缓解明显,恢复良好。

特色技术:比微创更微创——椎间孔镜
近年来,微创手术是外科手术发展的大趋势,很多患者在就诊的时候都会问:医生,微创是手术切口只有xxx大小吗?事实上,微创手术的切口并没有明确规定有多大,微创更多时候是一种理念,是指用最小的创伤达到治疗目的。
椎间孔镜技术属于脊柱内镜技术,是近年来逐渐应用于临床的尖端技术之一,秉承微创理念,脊柱稳定性影响较小,是比传统意义上的微创手术更加微创的手术,对患者而言切口小(本例只有7mm)出血少、恢复快,是腰椎间盘突出症患者手术治疗的最佳选择。