宫颈癌手术病理单怎样看懂 (宫颈癌影像知识)

【知识要点】

1.概述

子宫颈癌占妇女恶性肿瘤的一半以上,以30~50岁多见。子宫颈癌可分为四种类型:

①糜烂型:环绕宫颈外口有较粗糙的颗粒状糜烂区,或不规则溃破面,触易出血。

②外生型:亦称增生型,癌组织向外生长,最初呈息肉样隆起,继而向阴道内突出呈巨大菜花状赘生物,易出血。

③内生型:亦称浸润型,癌组织向宫颈深部组织浸润,宫颈肥大而硬,但宫颈表面光滑或仅有浅表溃疡。

④溃疡型:癌组织进一步发展坏死脱落形成凹陷性溃疡。

宫颈癌超声病例,宫颈癌手术病理单怎样看懂 2.临床表现

早期子宫颈癌多无症状,有些患者有类似宫颈炎的症状,一旦出现症状主要表现为接触性阴道出血、分泌物增多及持续性疼痛。

3.预防治疗

大力开展防癌普查,定期检查;关注*生活性**和经期卫生;积极治疗炎症。子宫颈癌的治疗强调个体化,主要有手术、放疗、化疗及中西医结合等治疗方法。

【超声影像学表现】

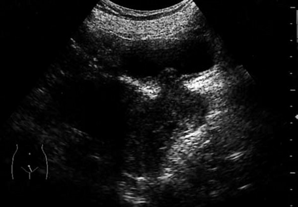
1. 子宫颈癌表现

①宫颈增大,直径> 4 cm,无子宫体连续性及均匀回声特点。

②宫颈内部回声不均匀,可见粗大的高回声斑点或团块状低回声。

③宫颈管受浸润阻塞时子宫不规则增大,宫腔内可见积液无回声区。

宫颈癌超声病例,宫颈癌手术病理单怎样看懂 2.晚期子宫颈癌表现

①宫颈癌直接向宫体蔓延浸润,在宫体下部后壁可显示不规则中低回声团块,与宫体分界不清,但其回声不同。

②肿瘤向前侵蚀膀胱后壁,可见膀胱后壁浆膜层及肌层回声中断,与后方肿瘤病灶无分界,黏膜层不光滑并向膀胱内突起。

宫颈癌超声病例,宫颈癌手术病理单怎样看懂 ③癌肿侵入输尿管,或肿瘤及肿大的淋巴结压迫输尿管时,可见肾盂积水及输尿管梗阻的声像改变。

【鉴别诊断】

1. 子宫颈肥大:子宫颈肥大形态规则,宫颈与子宫体肌层连续,回声均匀。

2. 子宫内膜癌:子宫内膜癌声像图表现为子宫内膜弥漫不均匀增厚或团块状回声,子宫肌层常有浸润,出现不规则异常回声。

3. 子宫颈部肌瘤:子宫颈部肌瘤声像图周边规则、清楚,内部回声呈漩涡状,对毗邻脏器可造成压迫,但分界明显,无浸润征象,可与鉴别。

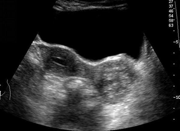
【经典病例】

患者,女,28岁。因接触性不规则阴道流血3个月来院就诊。超声检查报告显示宫颈增大,形态不规则,有一6.0 cm×4.5cm×5.1cm低回声区,境界不清,回声分布不均匀。CDFI:见稀疏血流。

超声提示:宫颈实质性占位病变(符合宫颈癌)。

病理诊断:子宫颈大细胞非角化性鳞形细胞癌,浸润宫颈壁全层。

更多专业知识!请关注微信公众号“超声掌中宝”