胆道系统构成:
胆道系统包括:肝内、外胆管、胆囊管及Oddi括约肌等部分。

肝内胆管:毛细胆管→小叶间胆管→肝段、肝叶胆管
肝内胆管胆管与肝动静脉及其分支的走形一致,被Glisson鞘包裹
一级支:左、右肝管
左、右肝管:左肝管较为细长,长约 2.5~4 cm,全程位于肝门横沟内,与肝总管间形成 90°夹角;右肝管较粗短,长约 1~3 cm,与肝总管间形成约 150°夹角。
二级支:左内叶、左外叶、右前叶、右后叶
三级支:各肝段胆管

肝外胆道系统
胆囊管→胆总管←肝总管←左、右肝管
胆总管直径0.6-0.8cm,超过1cm应视为病理情况

胆总管分段:
①十二指肠上段
②十二指肠后段
③胰腺段
④十二指肠壁内段

先天性胆管扩张症
- 可发生于肝内、外胆管的任何部分,因好发于胆总管,又称之为先天性胆总管囊肿。
- 好发于东方国家,尤以日本常见。
- 女性多见。男女之比约为1:3-4.
- 约80%病例在儿童期发病。
胆管囊肿发病原因:(存在争议)
- 一般认为:与胆总管远端梗阻、胆总管发育不良、神经分布异常或胆管、胰管合流异常有关。
- 另少部分学者认为:与胆道闭锁、新生儿肝炎是同一种基本病变,具有相同病例生理过程的不同表现,认为是有胆管上皮遭受病毒性感染导致管壁薄弱或(和)管腔阻塞所引起。
胆管囊肿 临床表现
多见于女性,婴幼儿及儿童占2/3,老年人少见。
典型的三大临床症状:
1.腹部包块(≥90%)
2.黄疸(约50~70%)
3.腹痛(约60%)
其他临床症状:营养不良,出血倾向,肝功能异常(2/3)、腹水,可并发胰腺炎、胆管炎、胆结石及胆管癌。
胆管囊肿 分型
根据胆管扩张的部位、范围和形态,分为五类
Ⅰ型(囊肿型):最多见类型,占90%,为胆总管囊状或梭形扩张,左、右肝管及肝内胆管正常,胆囊管一般汇入囊肿内,。




Ⅱ型(憩室型):为胆总管真性憩室。少见(2%),呈憩室状从一侧突至胆总管壁外,以中、小憩室多见,有的憩室颈部狭窄。常合并结石、胰腺炎及梗阻性黄疸。


Ⅲ型(膨出型):为胆总管十二指肠内段囊性扩张。或称为胆总管口的囊性脱垂、Vater壶腹囊肿,此型罕见,可突入十二指肠腔内。


Ⅳ型:为肝内、外胆管多发扩张( Ⅳa )或肝外胆管多发扩张( Ⅳb )。


Ⅴ型肝内胆管扩张病即Caroli病为肝内胆管多发囊性扩张伴肝纤维化,肝外胆管无扩张。
Ⅳa型很容易和Caroli病混淆,关注有无肝外胆管扩张为其鉴别重点,也有学者认为Ⅳa型也属于Caroli病。


Caroli病( Ⅴ型)
- 先天性肝内胆管扩张症(Caroli病),是一种较为少见的先天性胆道疾病, 1958年由法国学者Caroli首先详细描述、并报道一例肝内末梢胆管的多发性囊状扩张的病例, 故称为Caroli病。其特征为肝内胆管囊性扩张而形成胆管囊肿,可单发,为多发性常见。有学者认为这是一种常染色体隐性遗传病,但许多病例无法追寻典型的遗传家族史
- 就Caroli病是否包括合并肝外胆管扩张,目前存在学术上争议,有些报道则严格将单纯的先天性肝内胆管扩张症才称为Caroli病,随着对本症与先天性胆管扩张症(Ⅰ- Ⅳ型)类型了解的深入,目前多数学者认为这是一独立的病症,其与先天性胆管扩张症有着本质的区别。
临床表现
本症主要发生于儿童或青少年,10岁以下开始发病出现症状者约占全部病例的60%。女性稍多于男性。
临床症状
- 常不典型,以肝内胆管扩张和胆汁淤积所致的肝内小胆管炎症及结石形成为其临床特点,可起病于任何年龄。
- 由于本病常合并存在其他器官的囊性病变,应该同时了解肾脏、胰腺、脾脏是否也有囊性改变。
病理学
病理学特点
- 以肝内胆管囊状扩张及肝内多发结石为特征
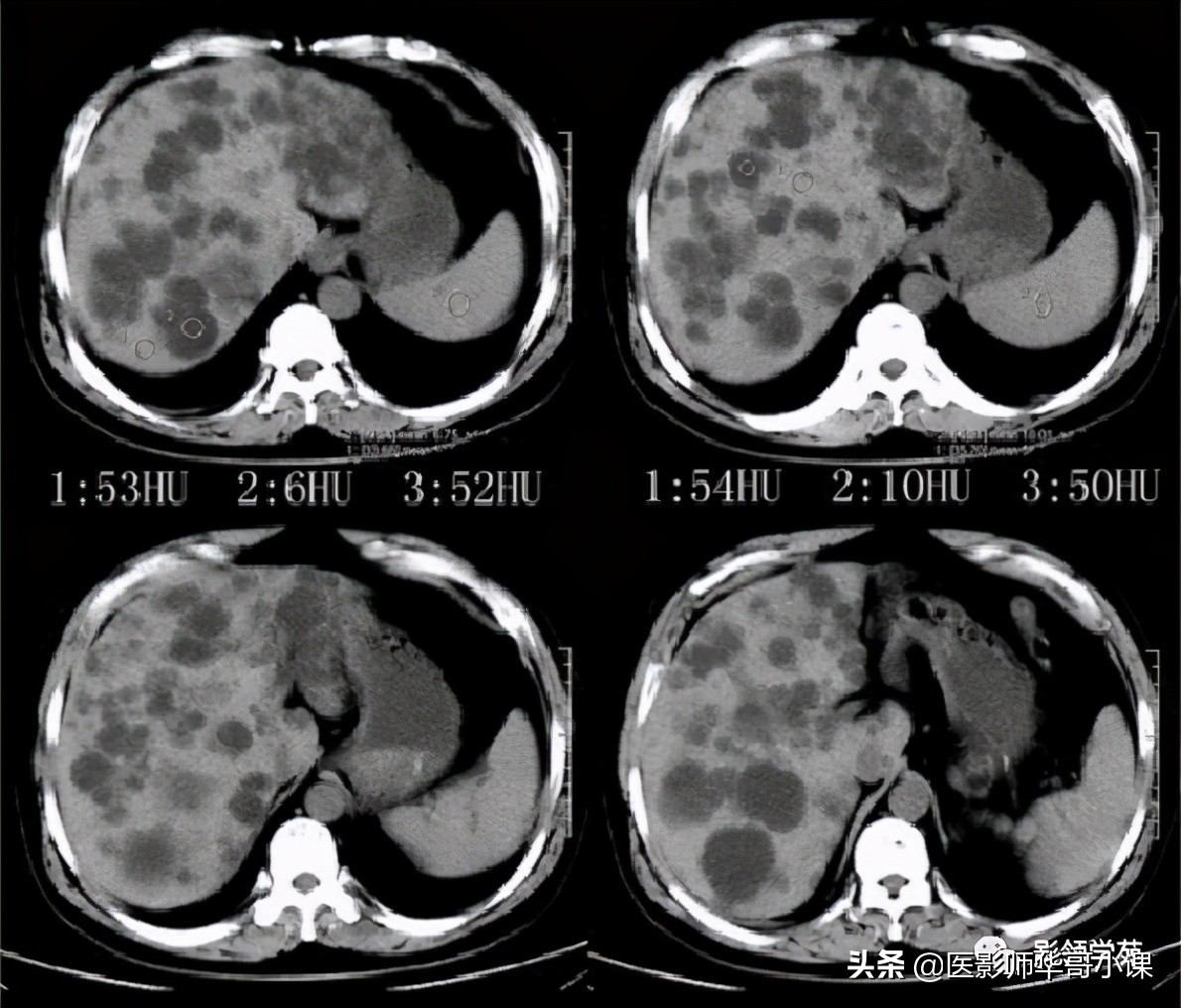
- 囊状扩张的胆管与胆树交通
- 部分囊状扩张的胆管腔内有门静脉分支(箭头)

Caroli病影像诊断要点
1、肝内胆管不成比例的扩张,并与正常胆管相间,这是鉴别本病与继发性阻塞性肝内胆管扩张的关键所在,后者表现为从中央向末梢逐渐变细的、成比例的扩张。


2、“中心点征”是又一重要的征象,是指囊肿阴影内的小点状软组织影像,平扫密度等于或高肝实质,在T2WI序列上呈环状低黑信号,中央区呈圆柱稍高信号,其病理基础是门静脉分支被胆管扩张的囊壁包绕,并在切面上呈轴位投影。Seth等认为“中心点”征象的出现足准确的诊断本病。



Caroli病 其他检查
磁共振胰胆管造影(MRCP)
- MRCP是一种有效的检查方法,可清楚地了解肝外及肝内胆管的形态。根据重T2 权重序列的静态水(包括胆管和胰管内分泌物)表现为高信号,而实质性器官为低信号,流动的血液因为流空效应而无信号,因而MRCP不需要造影剂就可以获得良好的对比。可显示肝内胆管扩张的部位、大小以及有无结石存在,且有三维结构形态。并可发现本症并不合并胰胆管合流异常,此为与先天性胆管扩张症区别之一。后者可合并肝内胆管的扩张,且几乎均存在胰胆合流异常,而先天性肝内胆管扩张症则不合并胰胆合流异常。Caroli病多无明显的肝外胆管的狭窄和梗阻征象。许多学者认为本法可以作为Carolis病的首选方法。
- 经皮肝穿刺造影 (PTC):因PTC是有损伤性的检查,现临床上已较少应用。
鉴别诊断:
主要和多发性肝囊肿、硬化性胆管炎及家族性胆汁郁积症鉴别。其他少见疾病如:胆道错构瘤也需除外。
1)硬化性胆管炎:在小儿较少见,多见于25~50岁青壮年。
鉴别要点:无“中心点征”,不同程度的胆管狭窄、胆管扩张交替存在,一般“扩张段”扩张程度较轻,甚至不明显。

2)多囊肝:常染色体显性遗传,也常合并多囊肾。临床无症状,囊腔形态多数较规则,不与胆管相通,胆管不扩张,无“中心点征”。


3)家族性肝内胆汁郁积症(Byler病):可发生于婴儿早期,比较难以鉴别,临床上大多数病人均会发生门脉周围纤维化及结节性肝硬化,也有“中心点征”,但不与胆管相通。
4)胆道错构瘤:少见病,多无临床症状,是由于胚胎发育异常所导致的先天性胆道畸形。
鉴别要点:囊状扩张与胆道无联系,CT增强呈环形强化。


来源:影领学苑