
凌晨三点,我正趴在电脑前研究着那些没有情节只有骨与肉的片子。
美小护捂着肚子走了进来:老娘快痛死了,怎么办?
其实美小护每个月都有痛上几天的:谁让你亲戚那么疼爱你呢,先吃点布洛芬吧?
但是她却拧着眉头说:我感觉这一次应该是阑尾的问题,不会是阑尾炎吧?
看惯了美小护痛经时模样的我已经有些麻木不仁了,摸完她的肚子后我终于确定这是又一次的痛经罢了。
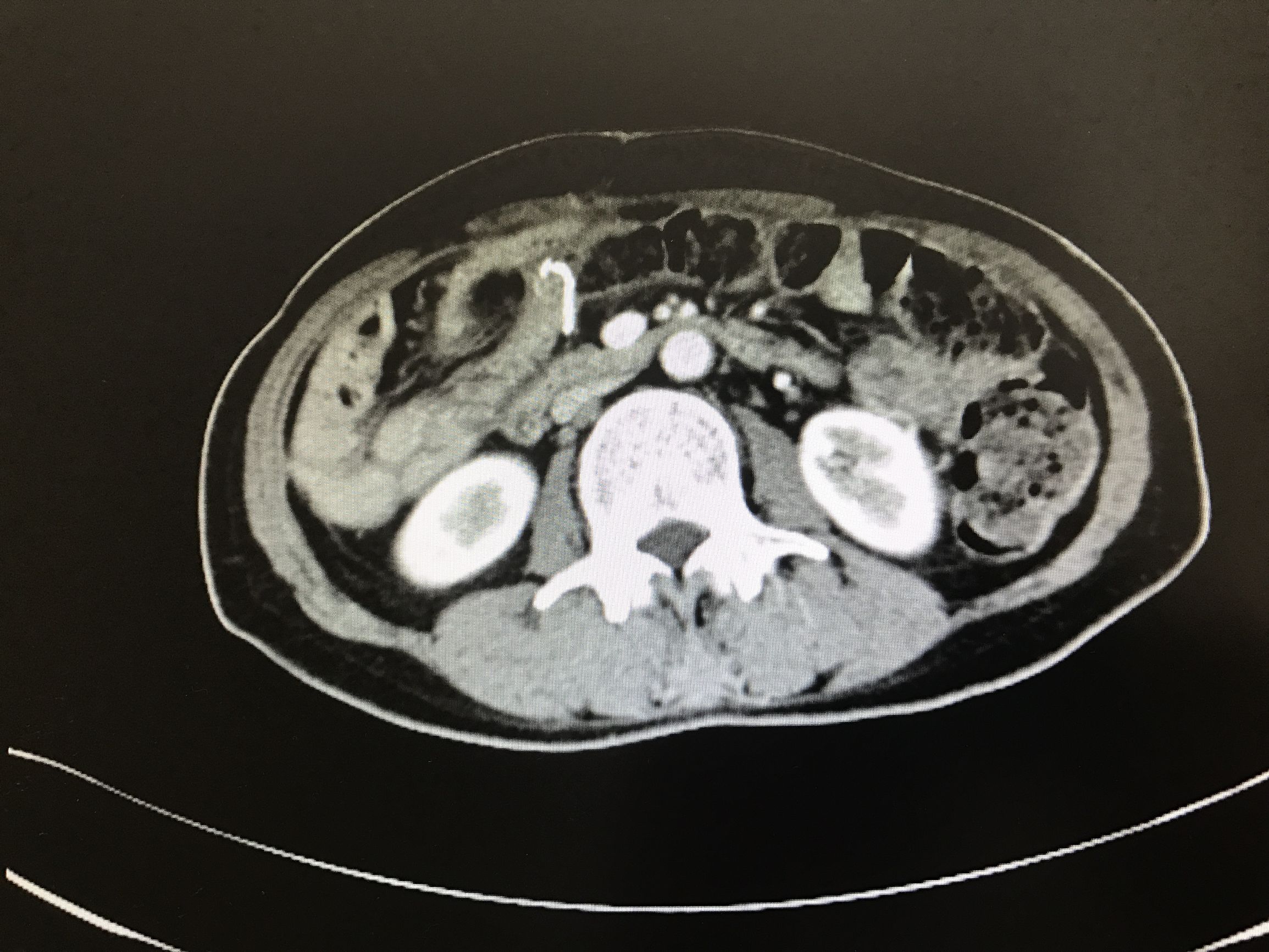
不过说起阑尾,我突然想到一个问题;阑尾炎很常见,但是阑尾癌你听过吗?
我想绝大多数的人可能从来都不知道阑尾也能癌变这个事实吧?包括一部分医务人员也是从不曾见过的,最起码内科医生绝少遇见。
美小护狠狠的瞪了我一眼:不就是个腹痛的阑尾吗,看把你嘚瑟的!
其实很多人都有这样错误的认识,认为阑尾炎是一种小病,认为阑尾是一种可有可无的器官。
但是,他们却不知道急性阑尾炎也是可以致命的,阑尾的存在也是有一定作用的。
有一个农妇因为反复腹痛半个月而至镇卫生院治疗,医生一看:你这是阑尾炎呀,要么手术要么输液。
大多数人看病都是抱着这样的错误态度:能不检查不检查,能输液不开刀,能输液不吃药。
可是输液几天后没有任何效果,反而出现了下腹胀痛的感觉,儿子一看这样不行,咱们还是去大医院吧!
因为患者有下腹胀痛的感觉,所以被分诊到了妇产科。妇产科做了阴道后穹窿穿刺,结果很糟糕:浸润性粘液腺癌!
后来经过一系列的检查被确诊为阑尾黏液腺癌!
虽然病情确诊了,但是紧接着全家陷入了无限的纠结迷茫之中!因为患者的癌症已经转移,如果不治疗必死无疑,如果治疗也不一定保住性命。
最关键的事是:钱!
后来的后来,农妇被推上了手术台:子宫切除、附件切除、脾脏切除、直肠切除、盆腔腹膜切除……
看着这些文字上的东西你或许无动于衷,但是针对患者来说确是生不如死。
阑尾黏液腺癌一般在早期没有任何症状,等到出现腹痛等症状时为时已晚。因为只有它已经侵及腹膜腔,广泛种植在腹盆腔脏器以及大小网膜表面,黏连形成肿块或者形成大量黏液性积液,这个时候患者才会出现一系列症状。
大约有四分之一的患者是以右下腹痛的阑尾炎症状起病的,所以有些病人和医生会轻视它。
但是,有一点需要提醒:中老年人反复发生的右下腹痛等阑尾炎症状,应当考虑到此病!
美小护认真的说:听你说完后,我觉得自己全身每一个毛孔里都是癌细胞……
让更多人了解更多一点!