临床上不孕的病人不少,最常见的原因是精子不好、不能排卵、输卵管不通等等。
但是有一类病人,这些方面都没有问题,只是B超检查时发现子宫腔里头长了一个内膜息肉,而恰恰是这个小东西影响了受孕。

子宫内膜息肉到底是什么东东?
内膜息肉是由子宫内膜腺体,间质和血管组成的,大小不一,小的只有几毫米,大的可以2-3cm,占据整个宫腔。个数也是有多有少,长相也各异。

宫腔镜下见到的内膜息肉

宫腔镜下见到的内膜息肉
具体的病因不是很清楚,有研究发现,可能和这几个因素有关,包括慢性炎症刺激、年龄、高血压、肥胖和他莫昔芬(乳腺癌术后的一种用药)。
大多数时候,子宫内膜不会引起什么不舒服的症状,少数可能有不正常的阴道流血,可能是因为影响了内膜的面积,导致内膜厚薄不均,剥脱不同步等等。
内膜息肉几乎都是良性的,很少癌变。不过,如果绝经后出现内膜息肉,又有阴道出血,那么危险性会大一点。
内膜息肉怎么影响怀孕?
成功怀孕要各方面条件都符合要求才可以,宫腔内膜是胚胎生长的地方,就需要这个床铺够大,席梦思够软。

宫腔镜下正常宫腔形态
如果内膜上长了一个息肉,凸起一块,受精卵来到这里,着不了床,引起不孕。有的就算种下来了,血供也可能出问题,导致胚胎停育,流产。
针对宫腔来说,息肉也算是一种异物,有点像节育环,会引起周边内膜的慢性炎性反应,炎性因子一多,也会影响受精卵成功着床。
当然,如果息肉不是很大,或者没长在靠近宫底部的内膜,还有足够的正常内膜,也可以怀孕的。
怎样才能知道自己有内膜息肉?
如果有子宫异常出血,就是类似月经淋漓不尽、月经后阴道出血等等情况,或者有不孕症的病人,都要去排查一下是否有子宫内膜息肉。
常规的妇科检查,最多看到宫颈就到底了,双合诊摸的话,也摸不到宫腔里头。所以,无法诊断出是否有内膜息肉。
我们能借助的就是B超,绝大多数1cm以上的息肉是可以被阴超发现的,有时候几毫米的也行。B超便宜无辐射,临床应用最多。当然也可以运用CT和MRI来判断,就是贵了点。

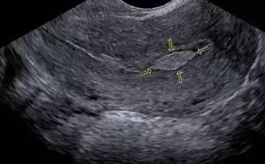
B超所见的内膜息肉(箭头所指)
有时候病人是因为不孕做输卵管造影,结果显示宫腔有充盈缺损,提示可能是息肉。或者是做宫腔镜检查才发现原来内膜还长了息肉。
当然,这些检查都不能最后确诊内膜息肉,有时候可能是小的粘膜下肌瘤,唯一能确诊的只有病理检查,这就需要宫腔镜下手术切除息肉之后才可以。
是不是发现息肉就要去切除它呢?
如果是不孕的病人,发现有内膜息肉,不管息肉大小,都可以考虑做宫腔镜检查,检查宫腔形态的同时可以切除息肉和输卵管通液,有必要的话还可以结合腹腔镜一起处理盆腔的病变。即使是考虑做试管婴儿,也建议先宫腔镜下切除息肉。
如果有异常的子宫出血,也建议切除内膜息肉。不过,不推荐传统的刮宫术,因为很多时候不能完全切除息肉。我们推荐做宫腔镜下的内膜息肉切除和诊刮。

如果没有什么不舒服,没有出血和不孕,息肉1-1.5cm以下,可以啥事都不做,定期复查。有25%的内膜息肉可以自行消失,越小消失的概率越大。即使再大一点,也可以考虑在下次月经来的第5-6天复查一下阴超,也有消失的可能。
为什么息肉会自己消失呢?这些息肉都是B超看出来的,就有可能不是真正的息肉,而是内膜增生局部增厚,B超看来很像是息肉,当月经来潮内膜脱落,自然也就消失了,因此需要在月经来的第5-6天复查阴超,以免内膜再增厚影响判断。还可能的确是息肉自己变小,小到阴超看不到了。
有没有药可以吃?
口服避孕药、曼月乐环和GnRHa等药物可能有一定的效果,可以控制息肉生长、预防复发,但是还缺乏明确的证据,也存在其他的副作用。所以,临床上不常规推荐。
怀孕了怎么办?
那就恭喜啦,说明息肉对你无害。产后再随访B超。
复发怎么办?
内膜息肉有一定的复发率,真的复发了,也是按照这个防治方案来。
有没有办法根治?
切子宫!你愿意吗!
总之,子宫内膜息肉如果小且没有症状,可以不治疗;需要治疗的,则建议宫腔镜手术。
作者:复旦大学附属妇产科医院邹世恩主任医师