【二维超声心动图表现】
1.当瘘管较小时,超声心动图显示心内结构无改变。
2.当瘘管较大时,则会引起肺静脉扩张。当局限性肺动静脉瘘时,肺静脉可呈瘤样扩张,瘘口近端肺动脉扩张,左心房和左心室扩大,二尖瓣活动幅度增大。
【多普勒超声心动图表现】
3.彩色多普勒显示一股五彩镶嵌血流从肺静脉射入左心房。
4.脉冲多普勒取样为高速双峰血流频谱。
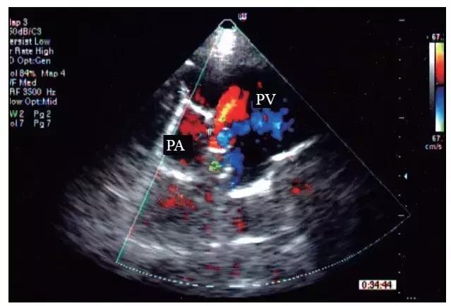
5.在闻及连续性杂音的部位探查,往往可显示肺动脉内五彩镶嵌血流射入呈瘤样扩张的肺静脉内(图1),连续多普勒在瘘口处取样为连续性湍流频谱(图 2)。

图1 肺动静脉瘘的彩色多普勒表现

图2 肺动静脉瘘的频谱多普勒表现
【右心声学造影】
先天性肺动静脉瘘是一种少见的先天性心脏病,小的瘘管只在胸部闻及连续性杂音而无明显的血流动力学改变,也无特征性超声心动图表现,因此肺动静脉瘘的临床主要依靠右心声学造影检查。右心声学造影检查显示造影剂从右心房→右心室→肺动脉→肺静脉→左心房→左心室依次显影,各心腔均充满气泡回声,并可显示微气泡直接从瘘口进入扩张的肺静脉(图9-23-3)。

图9-23-3 肺动静脉瘘的右心声学造影表现
右心声学造影显示肺动静脉瘘时左心房、左心室、右心房和右心室内均充满密集的气泡回声,有时还可在瘘口处显示气泡直接从肺动脉进入肺静脉(箭头所指)(AO-主动脉 LA-左心房 LV-左心室 PA-肺动脉 PV-肺静脉 RV-右心室)
四、鉴别诊断
1.肺动静脉瘘是肺动静脉远段的异常交通,右心声学造影时,在右心系统显影后3~4 个心动周期,左心房、左心室及主动脉内也出现造影剂回声,这种造影剂回声出现的时间差是诊断本病的重要依据,结合彩色多普勒显示肺静脉*射内**出的五彩镶嵌血流信号,即可作出明确诊断。但必须指出,有些患者如果需要确定瘘口的具体部位则还需要结合X线右心导管造影检查。
2.超声心动图诊断肺动静脉瘘时需与动脉导管未闭相鉴别:两者均有左心房和左心室扩大,但动脉导管未闭时有肺动脉增宽现象,而肺动静脉瘘则无这种改变;动脉导管未闭引起肺动脉高压时,微气泡出现在降主动脉和腹主动脉,而左心房和左心室内无微气泡回声,因此右心声学造影是诊断肺动静脉瘘的可靠方法,两者的超声心动图鉴别详见表1。
表1 肺动静脉瘘与动脉导管未闭的超声心动图鉴别诊断

更多专业知识!请关注微信公众号“超声掌中宝”