22的甘肃女孩小虹(化名)现在看起来和平常人没什么两样,但是完全想不到的是她曾经有十五年的癫痫病史。十多年来,家人四处寻医问药,带她去过全国很多地方看病,但都没什么效果。直到后来在网上查到我们医院,这给小虹带来了希望。经过全面的术前评估,为其实施左侧标准颞叶切除术。手术非常成功,术后恢复效果也很理想。
感觉不明物体眼前晃,却查不出什么病
在医院里,她已经可以跟记者、医护人员正常交流,和正常人没什么两样。但让人完全想不到的是,这位女孩曾经有十五年的癫痫病史。
小虹的父亲介绍说,大约小虹八九岁的时候,家人发现小虹有些不对劲。“女儿刚开始跟我说感觉眼前老闪,像是有什么东西在晃动。”那时候小虹甚至有时什么都看不到。父亲赶紧带小虹去了当地医院就诊,但什么都没有查出来,只是让回去关注休息。父亲说:“当时并没有想到是癫痫。”从那以后,小虹的病情有并没有特别大的变化,只是偶尔犯过。

描述起当时的病情,父女俩还是一脸愁容
治遍大半个中国,最后在航空总院看到希望
直到小虹十二岁,小虹病情恶化,发作也严重起来,这让家人忧心不已。家人又带小虹去当地某医院,做了脑电图,查出是得了癫痫,“从那以后,才按照癫痫病来治疗。”小虹父亲说,医院给开了治疗癫痫的药物,但是效果并不好。
家人开始带着小虹四处求医,按照小虹父亲的说法“治遍了大半个中国。”在甘肃到过几家医院,也去外省医院看过,后来还到了北京的几家医院。“在北京的一家医院,医生说这个病不太严重,用药治疗就可以。但是吃了并不管用,后来越来越严重,发作的频率越来越高。”
一晃十几年过去了,小虹的病一直没有得到特别有效的治疗,但是一家人并没有放弃求医。“一天都没有放弃过,想尽一切办法也要治好孩子的病。”小虹的父亲介绍。
结束十五年的折磨,颞叶切除术还给她正常生活
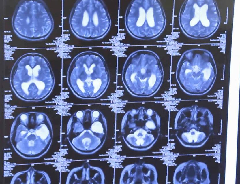
根据问诊情况和检查评估,确认小虹大脑颞叶部位放电异常,并且已经十五年的病史。“做脑电图发现她双侧放电都挺多的,而且一发作就是大发作,很严重。”,认为小虹情况符合手术指征。与病人家属沟通后,张教授为小虹实施了左侧颞叶标准切除术。手术历时七个小时,非常成功。

手术后检查一切正常
通过手术将致痫灶切除,基本不会再犯。手术非常成熟,切口也小,在全国甚至前世界可以说是最小的切口之一。

父女俩再次来到医院感谢
手术到现在一年多了,小虹恢复得特别好。再次给小红复查后介绍,癫痫也不发作了,大脑核磁复查也没什么问题,小姑娘精神态势也不错,效果还是比较理想的。小虹的父亲说:“之后没有发作过,现在挺好的,能自己自由行动,大人也不用跟着照看。”