摘要:
皮癣菌是猫最常见的皮肤病,大多数发病群体为品种猫,近年来在许多家猫身上亦有不少。品种猫中短毛猫则以英国短毛猫、异国短毛猫居多,大多数长毛猫为携带及传染者但不一定发病。一般家猫短毛品种则多数为局灶性病变,而品种猫则多发为全身性。最常见的所谓猫癣致病的癣菌为犬小孢子菌及毛癣菌。其中犬小孢子菌则最容易传染给人类及犬只。
病例分析:
1 基础资料
1)英国短毛猫 2m 母 免疫未全 驱虫
2)病史:耳螨。
2 主诉
曾患有耳螨,最近发现左眼眼睑肿起,嘴边有脱毛。
3 临床症状
全身多处结痂鳞屑,眼周及嘴周鳞屑皮肤红肿。未有明显瘙痒。
4 基础检查
T:38.3℃ 心率:125次/分 呼吸:30次/分 体重:1.25kg
5 实验室检查
5.1伍德氏灯照射反应:阳性
灯照病灶可见病灶周边毛根部有苹果绿荧光反应。
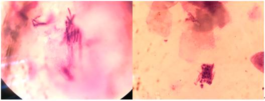
5.2皮肤显微镜检查:
透明胶带粘贴*4
部分镜检图片如下:


判读结果:
镜检可见大量小分生孢子、菌丝。毛发呈干枯木样,毛髓变性、中空。毛发周边可见小孢子菌包围。
5.3 真菌培养
将病灶处毛发拔出置于真菌培养基内,室温25-30℃环境中培养3-5天。

培养结果判读:
培养基培养三日后,培养基内出现白色绒毛絮状物产生,则可判别真菌感染阳性。挑出絮状物进行显微镜镜检可见大量真菌菌丝及大分生孢子。经鉴别诊断可得所患真菌为毛癣菌属。
6 初步诊断
皮肤癣菌感染(猫癣)
7 治疗
口服伊曲康唑(Itraconazole)5mg

,10mg/q24h
Chlorhexidine3%(Pyoderm® Virbac)维克派奥洁,药浴 q7d
一般使用伊曲康唑需维持4-6周为之最佳,但大多数患猫宠主不愿接受,因为其会进行网络查询及咨询发现“多年前”的知识及病例分析中提及抗真菌药针对肝脏功能存在一定的损害。然而在临床中,现如今的药品并不会那么轻易的造成肝脏的损伤,发生的概率不超过10%。但为了避免少量可能性的出现,仍需要定期进行ALT及TBIL的监测,若用药过程中出现升高则及时停药即可。
治疗第二周后,患猫全身病灶红肿减少,未见扩散,鳞屑减少,未见明显色素沉着。
治疗第四周后,患猫全身病灶开始生长毛发。此时需增加爱乐滴、黄金点等皮肤修复剂,恢复皮肤油脂分泌,维持皮肤菌群营养平衡,促进毛发生长。
药浴在完全康复后仍然需要保持每月一次的频率。半年之后方可慢慢减少。
8 病例分析
在临床上经常可见大多数宠主接回幼猫时发现身上出现所谓“奶癣”脱毛病灶,而幼猫旧主往往跟宠主说明并无要害,幼猫会自行恢复。
而后我们会发现,部分局灶性“奶癣”确实会自行修复,但其前提是幼猫免疫力较强,且具有较好的皮肤修复能力。大多数奶癣病因不明,有寄生虫(如耳螨、疥螨、蠕形螨等)造成的脱毛,也有真菌癣菌导致的鳞屑脱毛。若宠主一味盲目用药,反而会导致病变增多甚至病情加重。大多数的外用药因为无法完全渗入病灶根部,而出现“反复”“好了之后不喷药又出现”的情况。因此确定病因针对皮肤病的治疗尤其重要。
真菌癣菌其实并不难治,坚持用药,保持卫生,增强动物自身免疫力,大多数癣菌是不会出现复发的。
该病例中的幼猫在服用口服药时同时喂食了营养膏,这不仅减少了喂药的困难度同时也能起到增强动物体质的作用。
皮肤癣菌感染一般预后良好。
网址:http://www.rp-pet.com/rmgjcgl/1044.html