
一位21岁非裔美国男性,在没有明显病史的情况下突发一周的咳嗽、气短、腰痛及体重减轻(10磅)的症状。
体魄检查
患者心动过速、呼吸急促、发热,在2L/min的输氧治疗下血氧饱和度为92%。心脏检查显示心动过速,律齐,S1、S2正常,无杂音。肺部检查双肺弥漫性啰音。皮肤无皮疹。
实验室检查
全血白细胞计数为13.4*109/L,血红蛋白8.5g/dL,血小板138/μL,C-反应蛋白28.8(正常值<3.0)。动脉血气分析显示pH值为7.30,PCO2为48.2,PO2为71.8,血培养呈阴性,进行BAL培养(包括细菌培养、病毒培养、真菌培养)。胸部X线及胸部CT显示弥漫性斑片状阴影(图1.2)。颈椎、胸椎和腰椎的CT扫描显示椎体病变(图3.4)。由于脾脏有多处病变,也进行了脾活检(图5)。

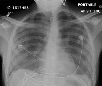
图1 胸片:弥漫性双侧间质浸润,无积液或实变

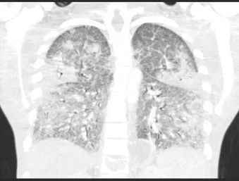
图2 胸部CT扫描:双肺均出现梯状浑浊及磨玻璃影,弥漫性间隔增厚,可见散在结节,右上叶最明显

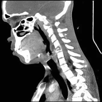
图3 颈椎/胸椎CT:C5椎体广泛透明、前路高度破坏约70%

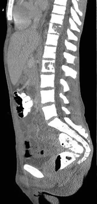
图4 腰椎CT:T11和L2椎体破坏性病变

图5 脾活检:球状芽孢子破裂,内含完整的内孢子
患者因低氧性呼吸衰竭而插管并采取俯卧位卧床,仍有持续的低氧性呼吸衰竭。
诊断:诊断为继发于播散性球孢子菌病的急性呼吸窘迫综合征(ARDS)。静脉-静脉体外膜氧合(VV-ECMO)可用于治疗继发于呼吸道地方性真菌感染的难治性呼吸衰竭。
临床病程
患者在另一家医院通过第二肋骨活检的溶骨性病变诊断为播散性球孢子菌病,虽使用两性霉素B进行治疗,但患者的低氧性呼吸衰竭仍持续恶化。患者因严重急性呼吸窘迫综合征(ARDS)转院接受静脉-静脉体外膜氧合(VV-ECMO)治疗。疾病播散至三块椎骨、左骶骨、左肩胛骨和多根肋骨并引起骨病变,还引起脾脓肿、肌肉脓肿并累及视网膜。考虑到抗真菌治疗不能有效治疗所有的骨病变,在与患者家属讨论后,采用矫正手术、肋骨切除和神经外科介入的多学科方法进行治疗。
进行神经外科手术时,持续使用肝素至抗Xa水平和活化部分凝血活酶时间正常。术后肝素保留了48小时。一旦恢复抗凝,抗Xa水平为0.1~0.3U/ml,活化部分凝血活酶时间小于80秒。
该患者在ECMO期间成功接受了13次以上的外科手术,未出现明显的围手术期出血并发症。停止及重头开始抗凝的时间需多学科共同协商,以防止血液凝固、血栓和肺栓塞。
经过90天的ECMO治疗后,患者出院并接受长期口服氟康唑治疗。
讨论
粗/波萨达斯球孢子菌是美国西南部特有的双态真菌。大约2/3的患者在感染后没有症状或轻微症状,少部分患者的肺部发生大量的免疫反应,出现类似肺炎的症状,如发烧、寒颤、咳嗽、胸膜疼痛和身体不适等。大多数患者通过对症支持治疗即可,特殊患者需口服抗真菌药物进行治疗。疾病很少累及至其他系统(0.2%~4.7%)。若仅有肺部症状,死亡率基本为0,若为播散性疾病,死亡率可达50%。
疾病治疗的主要手段为抗真菌治疗,若发现骨性病变,需外科清创才能根除。
患有播散性球孢子菌病患者的死亡原因大多为急性呼吸窘迫综合征和多器官衰竭。一项研究结果表明,针对其他治疗严重呼吸衰竭的常规策略失败的患者,体外膜氧合(ECMO)是一种有效的治疗手段,接受ECMO治疗的患者的总死亡率可降低11%。
当需要外科清创来控制疾病时,ECMO的使用需十分谨慎。由于神经外科手术的报道较少,且手术方式和肝素使用方案的不同,出血并发症的风险也不同。基于目前有限的数据,针对需要手术治疗播散性真菌感染的患者,ECMO不应成为绝对禁忌症。抗凝策略应与多学科团队共同讨论,以限制出血并发症。
总结
1.播散性球孢子菌病虽然是典型的良性感染,但菲律宾人、非裔美国人、美国原住民及西班牙裔是高危人群,即使既往健康,仍可突发急性呼吸衰竭。
2.针对播散性球孢子菌病引起的严重ARDS,ECMO是一种治疗方法。
3.手术并不是VV-ECMO的绝对禁忌症,即使是有显著出血风险的手术,严谨的抗凝策略可避免严重的出血并发症。
文献索引:
Moulton MN, Yabes JM, Berglund AJ, et al.Chest. 2020 Oct;158(4):e181-e185.