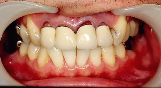
俗话说:“人是铁,饭是钢,一顿不吃饿得慌”这话一点不假。但是牙齿脱落后,咀嚼食物自然成了大问题。食欲变差,咀嚼不充分直接影响到营养的摄取,导致身体健康状况越来越差。
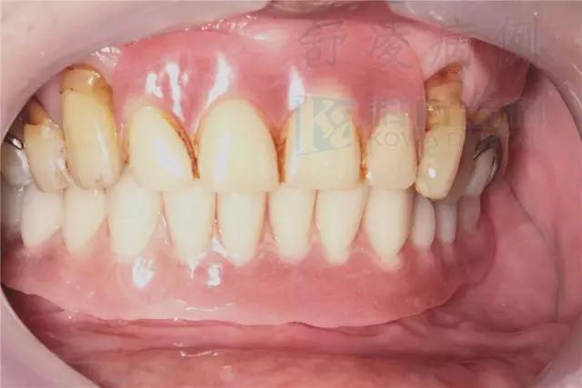
安装义齿则是很好的修复方法,很多人一开始在缺失牙齿时会想到佩戴活动假牙,因为它容易取戴和清洁,且价格便宜。殊不知活动假牙直接压迫牙龈,可能会带来不可逆转的后果。

活动假牙主要依靠钩子和基托板起固位稳定作用。如果钩、托太松,生怕戴不牢脱落;太紧,又怕取不下无法清洗,基牙还会疼痛。而且钩子易钩坏、钩伤、钩松缺失牙两旁的基牙,从而导致基牙发炎,松动。


如果再重头装牙,松动就会不断加重直至全部牙齿脱落,此时只能装全*活口**动假牙,危害就会更大。

因为全*活口**动假牙是直接压迫在牙床上的,牙床压迫强度大,骨头流失的速度越快,造成牙龈萎缩,最后假牙也会戴不住,这时候再想要解决就只能种植,但是骨量不够又会增加种植难度,费用更高甚至失去种植的条件。

牙龈萎缩
此外很多半口甚至全口牙齿缺失的患者,考虑到活动假牙后续不必要的麻烦,一开始就想做固定式种植全口假牙,但这种方法存在种植体数量多、价格昂贵等问题,让很多想种却又无力承担全口种植费用的患者望而却步。

为了不让患者面对这样两难的处境,今天不妨就给大家介绍一种经济实用的修复方式——半固定式种植牙。
这种修复方式首先是通过金属铸造杆卡固定在种植体上,然后再将卡扣卡在金属杆卡上来实现咬合功能。
-
种植杆卡

-
试杆卡及正式牙咬合、高度等,做正式牙蜡型



-
种植模型

-
正式牙

-
愈合基台、牙龈成型


-
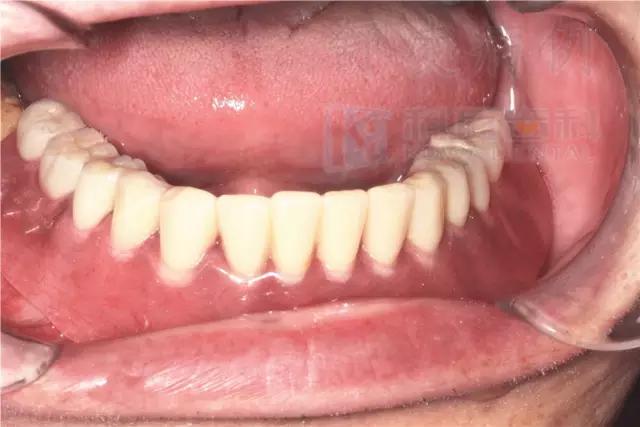
杆卡固定在种植体上,加力、不可拆卸




一般种植体为4颗,牙齿骨量多的3颗也可以(如上图),费用也会便宜一点
-
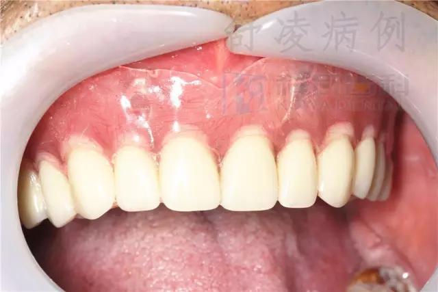
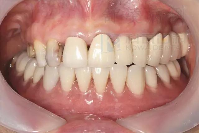
口内修复照




半固定式种植牙比固定式的价格便宜差不多一半,并且可以拆卸,吃完饭需拿下来刷干净,每天睡觉前取下来。时间证明,半固定义齿在功能上和固定义齿基本是一样的,且费用要比固定义齿要少!后期维修更加简便,且维护成本也更低。