一般健康成年人的牙齿数量在28-32颗之间,其中有4颗为智齿,但是并不是所有人都能长出来。而且,有些人在长智齿的时候半边脸都肿起来,特别痛苦。
不就长个智齿嘛,为什么会有这么大动静?
原因就是人类的进化,食物精细化,脸逐渐变窄,颌骨缩小,整个口腔呈慢慢变小的趋势。但是你要知道牙齿的数目和大小没有变化,而且智齿长出来比较晚,等它长出来的时候,其他28颗牙齿已经先入为主了,空间基本占满了,所以智齿没有足够的空间,只能以各种姿势出现在口腔中。横着、斜着、躺着、竖着、歪着、挤着,怎么舒服怎么来。

如果智齿能顺利长出的话最好不过了,但有些智齿长不出来,尤其是横着的,是一项难度较大的小手术,先将黏膜切开,然后去骨....犹如剖腹产一样。拔掉后不需要镶牙,有利于身体健康,保护附近其他牙齿。

走吧。跟我一起去牙科拔智齿。










看看更直观的动图~~~

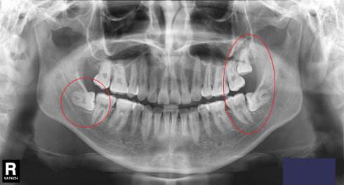
这图片是阻生智齿,也就包括横着长的智齿拔除,会比较复杂些,平常简单的拔牙就是用工具将牙齿拔掉,不用缝线,上个药就搞定啦。
至于说拔智齿疼不疼,我想说:拔的时候不痛,麻药退了之后痛不痛因人而异。
上排智齿由于上颌牙槽骨疏松,容易拔,术后也不容易出现剧烈疼痛。
下排智齿用下牙槽神经阻滞麻醉术,进针时胀痛,麻药生效后牙槽骨,牙龈、舌等麻木,所以拔牙时不疼,但是牙脱位时部分人有酸软感。
至于麻药散了后,也不会太疼,当然下排智齿因为创伤大,所以拔牙后会引起半边脸肿胀,一周左右就好了。如果一直不见好那就找医生大大去吧。