
来源:医脉通神经科
商务合作:[email protected]
版主微信号:fsslong2
导语
头痛的诱发因素有很多,包括压力、月经、*行为性**等等,此外也有一些少见原因引发的头痛,如大笑、打喷嚏等。本文介绍了2例由于大笑引发头痛的病例,并且对相关文献进行回顾,总结了大笑引发头痛的特征,一起来学习一下。
1
病例回顾
病例1
32岁女性,由于大笑后出现复发性头痛3年而就诊。
患者自述疼痛剧烈,主要疼痛部位位于双侧顶枕部区域,持续时间大约10秒,没有相关的恶心、呕吐、畏光或畏声。患者在屈身的时候也可出现类似的头痛,但从未在咳嗽、打喷嚏或运动的时候出现此类头痛。患者既往未遭受过头痛,也没有头痛的家族史。
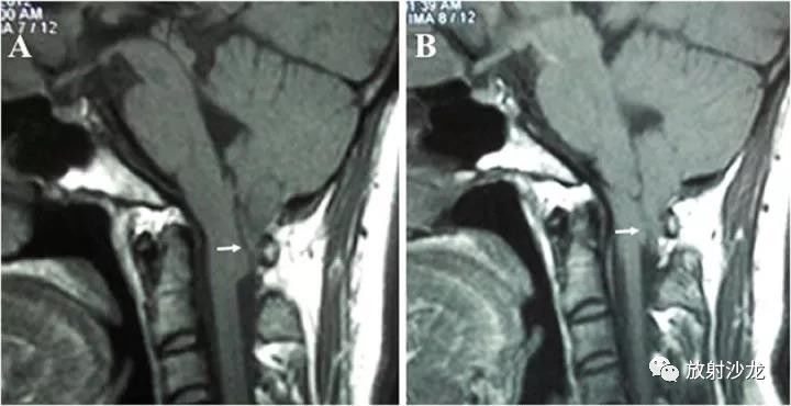
体魄检查中,神经系统检查未见显著异常。影像学检查中,MRI显示出小脑扁桃体下垂至枕骨大孔以下水平,即Chiari畸形1型(见图1)。患者拒绝了脑部手术或常规使用头痛药物,而是通过避免触发因素来管理头痛症状。

图1 矢状位MRI显示小脑扁桃体的尾部下移(箭头)
病例2
19岁男性,由于打篮球20分钟后出现严重头痛而就诊。
半年以来,患者一直经历着由于大笑而引发的轻度头痛,而无其他诱发因素,头痛的疼痛感迅速达峰,并在休息或停止大笑后1分钟内缓解,疼痛为非搏动性,主要位于双侧枕骨区域,无相关症状。患者既往无头痛病史。
患者的神经系统检查未发现显著异常,脑MRI同样正常。患者拒绝了进一步的磁共振血管造影,包括MRA和MRV。患者每天服用吲哚美辛25 mg,治疗1个月。在接下来的3年内,患者未再出现头痛发作。
2讨论
笑引发头痛(LH)在国际头痛疾病分类3b(ICHD-3b)中并没有该分类。针对LH伴有颅内疾病的病例,可以将其分为继发性LH,如病例1中提到的归因于Chiari畸形1型的头痛。而其他没有基础神经疾病的LH患者则可归类为原发性LH,如病例2。以前的报道中,没有颅内疾病的LH病例常被归类为原发性咳嗽性头痛(PCH)或原发性运动性头痛(PEH)。
与PCH类似,继发性LH由Valsalva动作引起并发生。然而,继发性LH与笑之间的关系更为密切。类似于PCH,LH的发作通常是突然的,并且立刻达峰,然后在数分钟之内消退。上文中的第2例患者的头痛则与持续的剧烈运动有一定关系,而这也是PEH的促发因素。所有这些类型的头痛都是在触发因素后立即发生或几秒内开始。
相比之下,虽然大多数PEH的头痛都是搏动性的,但LH和PCH是非搏动性的。头痛主要影响PCH或原发性LH患者头部的双侧后部区域。原发性头痛可能会有伴随症状,并对吲哚美辛反应良好。
继发性LH
据报道,继发性LH的病因包括Chiari畸形1型、巨大蛛网膜颗粒、血栓性静脉炎、颅内肿瘤、颅内低血压和未破裂的后交通动脉瘤。所有类型的病因都对后颅窝和脑脊液循环的空间结构有影响。
相应地,有症状性咳嗽相关头痛患者的多数病因也是Chiari畸形1型。此外,头痛也是该疾病的主要症状之一,症状发生率约为15%~75%。通过比较不难发现,继发性LH与咳嗽相关头痛有诸多类似之处。
Chiari畸形1型患者短暂头痛发作的机制似乎与Valsalva动作相关,该动作可以引起枕骨大孔内小脑扁桃体的冲击,从而压迫和牵拉疼痛敏感的结构,如神经、脑膜和血管等,导致头痛的发生。因此有理由推测,继发性LH和咳嗽相关头痛是Chiari畸形1型的不同表现,不过该假设目前仍然有待验证。
原发性LH
虽然一些LH患者的影像学检查并没有显著异常,但目前不能排除这些患者的头痛与Valsalva动作引起一过性颅内压变化相关的可能性。
根据以前的研究,逆行颈静脉血流可引起颅内静脉充血,这可能是运动相关头痛的病理生理学基础。
此外,一些研究人员提出,三叉神经硬脑膜分支中的活动、脑静脉扩张、静脉压暂时升高引起的脑容量增加、更拥挤的后颅窝可能在咳嗽相关头痛的病理生理过程中起作用,因此,不能否认这些可能性也可能是LH的促成因素。
此外,原发性LH、PCH和PEH对吲哚美辛或原发性头痛的预防*药性**物治疗反应均很好,这种相似性使得人们认为,这些原发性头痛可能存在更共通的潜在病理改变。
值得一提的是,有学者报道的原发性LH更具与偏头痛相似的特征,包括位置、持续时间、相关症状和药物反应,因此笑也可能是偏头痛的一种罕见触发因素。
与愉快的笑相关的LH
需要说明的是,与Valsalva动作相关的瞬时颅内压变化,并不能解释LH的各个方面。有学者称,引起头痛的笑主要是令人心情愉悦的笑,因此情绪也可能在头痛的发作中产生了一定作用。例如,此前有报道称哭泣引发的偏头痛样头痛与悲伤或不安情绪相关,而喜极而泣或切洋葱引起的哭泣并不能引起类似的头痛。
情绪与LH之间的密切关系表明,在情绪变化中产生的神经功能改变,似乎在头痛的发生中起到了重要作用,而不仅仅是颅内压变化引起头痛。在LH患者中,理解笑话本身并不会导致疼痛,因此LH的触发过程不是认知过程,而是欢乐的情感体验。
根据既往的报道,中脑边缘多巴胺奖赏系统可能与情感处理有关,相应的脑区包括双侧腹侧纹状体、伏隔核、腹侧被盖区、下丘脑区、杏仁核和右内侧前额叶区域。笑的运动部分包括两个部分独立的神经元通路,传统的自愿途径起源于运动皮质,通过锥体束到腹侧脑干,另一条途径则是情感驱动的途径,参与的结构包括杏仁核、丘脑下区、下丘脑区域、脑干被盖部、前扣带回和和颞叶内侧结构。
因此,推测与喜悦情绪表达相关的大脑区域可能与LH的发生也有关系。愉快的笑和LH之间的确切病理生理关系仍需进一步研究。
3小结
LH可分为原发性和继发性,为了明确患者的头痛是否为其他症状的继发性头痛,应当对患者进行充分的神经系统检查和影像学检查。本文报道的2个病例中,第一例为继发性LH,第二例则可归类为原发性LH。
目前推测后颅窝和脑脊液循环中的空间结构变化可能有助于LH的发展。针对原发性LH,PCH、PEH等可能与其有共通的病理生理基础。此外,考虑到在一些患者中,原发性LH只由欢乐的笑声触发,因此推测与情绪表达相关的大脑区域可能与LH有关。
下表总结了上述提到的4种头痛的特征。

本文编译自:Ye Ran, Huanxian Liu, et al. Laugh-Induced Headache: Clinical Features and Literature Review[J]. Headache. 19 September 2017.
全国独家首发↓↓↓

点击 “阅读原文” ,赶快抢购!