
各位宝爸宝妈们
好久不见~
临近年关,分享一个好消息
“窝沟封闭”
免 费 专 场 来 了

各位家长们
免费!免费!免费!
目前尚有 600颗牙齿的名额 左右
先到先得!

符合窝沟封闭的条件
1、年龄6-9岁且就读于顺德地区的学生;
2、六龄齿无龋坏;
3、六龄齿完全萌出 。
窝沟封闭预约流程
1、就诊前请务必先行电话预约:符合条件的儿童家长可通过电话进行预约;
2、就诊请务必携带学生身份证/户口簿/学生卡;
3、来院就诊时先于前台报到:前台接诊核对身份证/户口簿信息;
4、家长填写窝沟封闭知情同意书;
5、初诊口内检查(确定符合窝沟封闭条件)。
地址及预约电话
顺德目前设两个项目点:
- 甲子路项目点 -
顺德区大良街道甲子路1号南方医科大学顺德医院门诊大楼4楼B座口腔医学中心;
预约电话:0757-22318638
- 蓬莱路项目点 -
顺德区大良街道蓬莱路1号(顺德第一人民医院旧址);
预约电话:0757-22318658
- 服务时间 -
周一到周日 8:00-12:00 14:30-17:30
疑惑详解
什么是窝沟封闭?
窝沟封闭是在不去除牙体组织的情况下,对牙齿的合面、颊面或者舌面的深窝沟涂布封闭材料,使得深窝沟被填平,牙面变得更加光滑,达到预防窝沟龋的效果。其是一种无痛、无创伤的方法。根据最新统计表明,进行一次窝沟封闭,儿童龋病的发病率可 降低83%,由此可见窝沟封闭的重要性。

为什么要进行窝沟封闭?
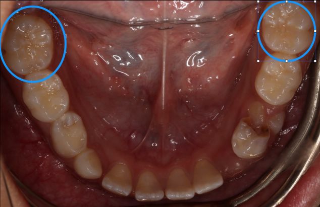
现窝沟封闭主要针对的是六龄齿,“六龄齿”(第一恒磨牙)是口腔内最早萌出的恒磨牙,大概在6岁左右萌出,它的咀嚼功能是最强的,由于其自身结构存在许多点隙窝沟,咬合面凹凸不平,难于清洁,易残留食物残渣,并且刷牙也无法将其清除,久而久之,窝沟部位就容易发生龋齿,称为“窝沟龋(qǔ)”。
如果窝沟龋得不到及时的治疗,龋坏逐渐进展,就会出现牙痛等严重症状,甚至需要拔除,严重影响儿童的健康和生长发育。据统计,儿童恒牙龋齿中90%以上都是窝沟龋。因此,做好窝沟封闭将会大大降低儿童恒牙龋的患病机会。
此外,由于宝宝年龄较小,很喜欢吃甜品、软类食物、粘类食物,这些食物易粘在牙齿上,这些原因,都会导致儿童新生恒牙易患龋,所以当第一恒磨牙萌出后,应该及时进行窝沟封闭。

圆圈所示为第一恒磨牙(六龄齿)
儿童龋病的危害?
乳牙龋坏导致牙齿大部分的缺损,前牙影响美观,后牙影响进食;每个小乳牙的下面,都有一个替换它的恒牙,如果乳牙有蛀牙后,可能会侵犯牙髓(牙神经),产生疼痛,也会导致更为严重的病变,影响恒牙胚的正常发育及萌出;乳牙龋坏早失后也会导致牙弓变短,后续恒牙萌出间隙不够、出现拥挤不齐;有些破损的牙冠可能较为锋利,会刺激局部的舌、唇黏膜。

儿童龋病到底要不要进行治疗?
答案是肯定的, 要!“一般人都认为孩子的乳牙反正是要更换的,蛀了就不必再治疗了”。的确,乳牙是要脱落而被恒牙代替的,但乳牙患龋齿也还是需要治疗的。

乳牙虽然脱换,但它们毕竟是儿童时期咀嚼食物不可缺少的,为了孩子的健康发育成长,乳牙要担负整整10年的咀嚼作用。
儿童期有一副健康的牙齿,是保证食物在口腔内充分咀嚼,完成消化的第一步。同时正常咀嚼对局部肌肉和颌骨的生长发育有一定的刺激作用,能使牙齿和颌面部发育得更加健康。此外,乳牙还是辅助发育器官,婴儿在乳牙萌出以后开始说话,借助牙齿的作用,练习并发出清晰的声音。

特别提醒:乳牙如果有了龋洞,应积极到医院治疗,而且越早越好,能修则修,能补则补,尽量保持牙体完整。
送给孩子再贵重的礼物
不如给一口洁白干净的牙齿
这次机会
家长们可千万不要错过!

“健康顺德”微信编辑部 编辑:华