补牙1200一个
烤瓷牙3000一个
光是补牙我就能破产……许多经历过补牙的朋友都有类似的“吐槽”:不进牙科不知道一进牙科吓一跳,看个牙都看穷人!

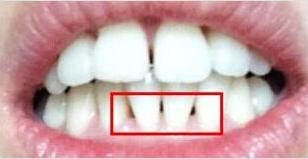
贵就贵吧,一些做完烤瓷牙的朋友居然发现,本来和牙齿一个颜色的烤瓷牙冠,不知道什么时候牙龈边上突然发黑了,怎么刷都刷不掉!!!
做完烤瓷牙牙龈发黑...这到底是怎么回事?

广大口腔医院口腔专家表示,原因不外乎两点:
一、为了“省钱”
烤瓷牙修复后不长出现牙龈发黑的现象多与选择的烤瓷牙材料有关。
在发达地区,烤瓷修复一般都以贵金属和全瓷牙为主,而国人由于受经济条件的限制,一部分人会选择比较便宜的材料作内冠。
所谓便宜的烤瓷牙材料就是指镍钴合金,这种材料与牙龈接触会不断释放出金属镍离子,这使一些体质敏感的人来说不仅易产生过敏反应,还容易产生牙龈红肿、出血等不良反应。

同时,大量的镍离子沉积在牙龈内会使牙龈发黑。在正规医院做的还好一点,在不规范的小诊所做的更得不到保障。所以,有的人做烤瓷牙要几千元,而有的几百就可以搞定,这就是原因了!
二、牙龈萎缩
牙龈萎缩会让牙冠与牙齿结合的部位露出来,这个缝隙受到唾液等的侵袭,导致内部的金属牙材露出来,所以看起来会黑黑的。
这个时候,你就要检讨一下自己为什么会牙龈萎缩了。

发黑了还能补救吗?
如果是牙周病导致的,需先进行牙周护理确保牙齿的基本健康。
如果是材料导致的,建议还是选择全瓷或仿生材质,此类产品对身体无害且组织相容性好,能很大限度的避免选材不当造成牙龈处变黑的情况。
