上期主要介绍了脑微出血的8种病因,这期将盘点14种大家容易遗漏的病因。
脑微出血(Cerebral microbleeds, CMBs)是利用对铁沉积敏感的磁共振成像(MRI)技术发现的急性、亚急性或慢性的小的点状出血。最常用的成像技术是T2*梯度回波序列(T2*GRE)和磁敏感加权成像(SWI)。
由于铁通常以含铁血黄素情势存在,CMBs在这些MRI序列中显现的是低信号。通常SWI较T2*GRE更易检测出CMBs。CMBs是脑小血管病的一种表现,主要见于高血压动脉病变和脑淀粉样血管病患者。然而,它同样可见于一些少见的病因。
上期介绍了脑出血的常见的8种病因和脑小血管病(详见MRI上出现脑微出血,最全病因总结来了),本期介绍CMBs的其他14种病因,一共整理了脑微出血的22种病因。
01
感染性心内膜炎
Infective endocarditis, IE
IE的MRI表现包括脑梗死(通常多发,无症状性,累及皮层及分水岭区)、细菌性动脉瘤(通常双侧多发,位于血管远端,呈梭形)、脑出血(ICH,与细菌性动脉瘤破裂或化脓坏死性局灶性动脉炎相关)、CMBs、脑脓肿及脑膜炎。
CMBs通常多发、皮层多见(皮层下白质、基底节、后颅窝少见)。CMBs可能提示化脓性血管炎或亚急性炎性微血管病变。小的细菌性动脉瘤和CMBs有时鉴别困难。


IE DWI示多发、小的、分水岭区梗死(a);T2*WI示皮层CMBs (b)。
02
放疗
Radiotherapy
电离辐射治疗可导致直接和间接性脑损伤,包括CMBs、颅内海绵状血管畸形、脑白质病变和脑萎缩。
放疗相关CMBs和颅内海绵状血管畸形的确切机制尚不清楚。可能原因为放疗诱导的动态小血管样病变,其机制包括血管内皮生长因子表达增加、血脑屏障破坏、氧化应激和炎性改变。在既往接受了放疗的原发性中枢神经系统肿瘤生存者中,CMBs出现率高达2/3。
CMBs发生率和数量随着放疗时间延长而逐年增加,与放疗剂量和目标体积以及胚胎组织学呈正相关,与患者的年龄呈负相关。放疗后的CMBs以脑叶多见,且以枕叶为主。CMBs的出现与认知降落有关。

放疗 T2*WI示放疗前(A)、放疗后21个月(B)、放疗后33个月(C)、放疗后44个月(D)和放疗后62个月(E)。CMBs随时间的延长而增多。
03
烟雾病
Moyamoya disease, MMD
MMD是一种罕见的特发性闭塞性脑血管病,其特点颈内动脉远端或其近端分支进行性狭窄或闭塞,并在颅底形成广泛侧支血管网。MMD可导致脑梗死、CMBs和脑出血。
ICH和CMBs被认为与豆纹动脉和丘脑穿支动脉异常扩张、扭曲有关,这些血管内弹性层断裂和内侧纤维化。CMBs是MMD患者未来ICH的预测因子。亚洲人CMBs主要位于深部灰质和脑室周区域,西方人CMBs则以皮层和皮髓交界处多见。

MMD 临床表现为短暂性脑缺血发作 T2*WI示右侧丘脑静态的CMBs(A)。DSA示明显烟雾样血管起源于豆纹动脉、脉络膜前动脉、脉络膜后动脉和筛动脉(B)。1周后,CT示右侧丘脑出血破入脑室(C)。
04
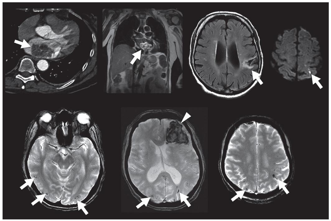
心脏黏液瘤
Cardiac myxoma
心脏黏液瘤的神经系统并发症包括脑栓塞(由黏液瘤碎片栓塞或表面血栓引起)、ICH、CMBs、动脉瘤和伴有占位效应的脑转移。


心脏粘液瘤 轴位胸部CT(a)、冠状位胸部MRI(b)示心脏粘液瘤;FLAIR示脑软化灶(c);DWI示急性点状梗死(d);T2*WI示ICH(f)和多发CMBs(e-g)。
05
庞贝病
Pompe disease
庞贝病,又称糖原贮积病Ⅱ型,是酸性α-葡糖苷酶(GAA)基因突变导致的常染色体隐性遗传代谢性疾病。以骨骼肌和心肌异常糖原沉积为病理学特点。
有报道庞贝病可出现基底动脉动脉瘤、扩张性动脉病、CMBs,可能的解释原因:组织病理学发现脑动脉平滑肌细胞中存在糖原沉积和空泡变性。由于血管壁易脆,导致颅内小动脉发生CMBs,而大动脉形成脉动脉瘤和扩张性动脉病。


庞贝病 MRA和T2WI示基底动脉、双侧大脑前动脉和大脑中动脉扩张延长(A-C)。T2*WI示双侧小脑、脑干和大脑多发CMBs。
06
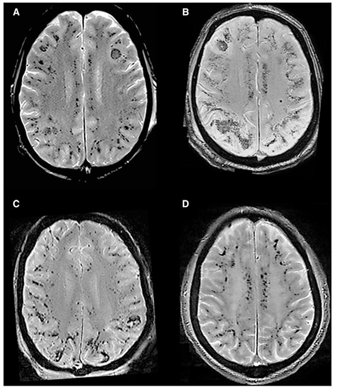
体外膜肺氧合
Extracorporeal membrane oxygenation, ECMO支持
ECMO用于常规治疗无效的患者提供心脏和(或)肺支持。ECMO相关神经系统并发症多见,包括脑梗死、ICH、CMBs、脑水肿、认知功能降落和脑死亡。
ECMO幸存者CMBs呈多发、弥漫性且相对对称,位于皮层下和深部白质。


ECMO支持后 T2*WI(A, C)和SWI(B, D)示皮层下弥漫性CMBs,主要分布在皮层U形纤维。
07
可逆性后部脑病综合征
Posterior reversible encephalopathy syndrome, PRES
PRES是一组由多种因素引起的以神经系统异常为主要表现的临床综合征。影像学特征为主要发生在脑后部的可逆性皮层下血管源性水肿。病变多分布在双侧顶枕叶等后部脑白质区,也可以累及额颞叶皮层下白质,极少数情况下累及脑干及丘脑(中央变异型 PRES)。
严重PRES患者MRI可见弥散受限,显现细胞毒性水肿。出血并发症包括ICH、CSS和CMBs。其中CMBs发生率为58%。在PRES患者中,CMBs出现的数量少(平均3个),其出现可能与其他影像异常发生的严重程度相关。


PRES FLAIR示小脑(a)、皮质及皮质下(b, c)WMH,ADC高信号(d),符合血管源性水肿。T2*WI示皮质及皮质下多发CMBs。
08
凝血障碍和抗凝治疗
凝血障碍患者可出现CMBs和ICH(如弥漫性血管内凝血,DIC;特发性血小板减少性紫癜、血友病A)。接受抗凝治疗的患者可在深部或脑叶发生CMBs和ICH(如房颤患者接受华法林抗凝治疗)。


DIC SWI示双侧大脑半球、小脑及脑干弥漫性CMBs
09
外伤
Trauma
钝性头部外伤与CMBs的发生相关。在轻度创伤性颅脑损伤患者中,CMBs主要位于皮层和皮层下白质,其出现与神经精神障碍相关。严重颅脑外伤患者可出现弥漫性轴索损伤(diffuse axonal injury, DAI)。
DAI通常累及胼胝体、中脑和脑叶白质,最常见的是皮-髓交界处。DAI与CMBs相关,在DWI和FLAIR序列上出现高信号,ADC低信号,提示细胞毒性水肿。DAI还可见于其他类型颅脑损伤,包括硬膜外、硬膜下、蛛网膜下腔或脑室出血和挫伤。

轻度创伤性颅脑损伤 SWI示近皮层、眶额和颞叶多发CMBs。
10
组织型纤溶酶原激活剂用药后
组织型纤溶酶原激活剂(tPA)给药后可以出现症状性ICH(包括初始梗死后出血性转化和梗死外出血)。tPA输注后新发的梗死外CMBs与之前就存在CMBs相关。

tPA用药后 tPA治疗后严格脑叶分布的CMBs。
11
脂肪栓塞综合征
Fat emboli syndrome
脂肪栓塞综合征通常由长骨骨折引发,骨髓中游离的脂肪进入血液循环所致。在脂肪栓塞综合征患者中,CMBs常见且主要分布在白质(尤其是分水岭区),也可见于灰质。这些脂肪栓塞相关CMBs与DWI上小的梗死相关。

脂肪栓塞综合征 骨折3周后SWI示双侧皮层下和脑室周白质、大脑半球、大脑脚、胼胝体后部弥漫性的CMBs (A-D)。骨折5周后复查SWI同前(E-F)。
12
Parry-Ro m berg综合征
Parry-Romberg综合征,又称面部单侧萎缩症,是一种少见的病因未明的神经皮肤疾病。临床以单侧面部皮肤及皮下脂肪组织进行性萎缩为特征,逐渐累及皮肤、皮脂腺、毛发,重者进一步累及骨胳、肾脏和大脑半球。
MRI表现包括脑萎缩、CMBs、软脑膜强化和多发颅内微小钙化、脑深部及皮质下白质异常信号。


Parry-Romberg综合征(A)右侧面部萎缩。(B-D)T2WI示右侧大脑半球皮层下白质高信,进行性加重,伴同侧脑萎缩。(E)T2*示右侧颞叶CMBs。(F)右侧大脑半球脑萎缩伴对侧小脑萎缩。
13
危重症疾病相关CMBs
广泛CMBs被认为与在重症单元住院期间或之后发生呼吸衰竭所致脑缺氧相关。CMBs主要分布于近皮层白质和胼胝体,少数分布于内囊、后颅窝(脑干或小脑中脚),皮质、深部和脑室周白质和深部灰质则保留。


危重症疾病相关CMBs CT、TW2I和FLAIR未见微出血和其他异常(A-C)。SWI示弥漫性CMBs,累及皮层下白质和胼胝体(D)。
14
血管炎
Vasculitis
血管炎的特征为不规则、节段性的血管狭窄或闭塞。原发性中枢神经系统血管炎主要累及中小动脉。这些异常在DSA中易发现(尽管有时会出现假阴性)。
MRI可出现小或大的局灶性缺血性和(或)出血性病灶,包括CMBs。这些病灶可见于皮层、皮层下及深部白质、基底节及后颅窝。脑内及软脑膜强化病灶也常见。


原发性中枢神经系统血管炎 FLAIR示双侧半球多发白质高信号(a, c);增强后示软脑膜和脑实质强化(b);SWI示多发CMBs(d);MRA未见血管狭窄(e);治疗8个月后病灶明显消退(f, g)。H-E染色可见血管壁损伤伴炎性浸润和肉芽肿形成(h)。脑组织免疫染色示广泛的CD68标记(i);无β-淀粉样蛋白1-40沉积(j)。
脑微出血在临床工作中常见,病因十分广泛。因此,全面认识脑微出血的影像表现并结合其他影像学特征对病因诊断有重要价值。
最后,注明本文主要译自D. Renard于2017年发表在Eur J Neurol上的一篇综述,同时也引入其他参考文献中的典型图片。
参考文献
[1].Evolution of cerebral microbleeds after cranial irradiation in medulloblastoma patients. Neurology 2017; 88:789–796.
[2].Incidence, locations, and longitudinal course of silent microbleeds in moyamoya disease: a prospective T2*-weighted MRI study. Stroke 2013 Feb;44(2).
[3].Neurological picture: Cerebral microbleeds in Pompe disease. J. Neurol. Neurosurg. Psychiatry 2010 Nov;81(11)。
[4].Diffuse cerebral microbleeds after extracorporeal membrane oxygenation support. Am. J. Respir. Crit. Care Med. 2015 Mar 01;191(5).
[5].Multiple cerebral microbleeds associated with disseminated intravascular coagulation. Neurologia 2020 Mar 12.
[6].Predictors of new remote cerebral microbleeds after IV thrombolysis for ischemic stroke. Neurology 2019 02 12;92(7).
[7]. Late progression of neurological symptoms and MRI T2 hyperintensities in Parry-Romberg syndrome. J. Neurol. Neurosurg. Psychiatry 2016 11;87(11).
[8]. A case of primary angiitis of the central nervous system presenting with diffuse cerebral microbleeds and recurrent intracranial hemorrhage. Neurol. Sci. 2019 Feb;40(2).
[9].Critical Illness-Associated Cerebral Microbleeds. Stroke 2017 04;48(4).
[10].Cerebral microbleeds: a magnetic resonance imaging review of common and less common causes. Eur. J. Neurol. 2018 03;25(3).
【版权声明】本平台属公益学习平台,转载系出于传递更多学习信息之目的,且已标明作者和出处,如不希望被传播的老师可与我们联系删除