阻挡你去拔智齿的原因是什么呢?

平常总发些卡通可爱的智齿作恶图,大家看了可能无法直观感受到智齿的坏,你忍心叫醒它吗?↓

看着无辜的表情↓

这蠢萌的画风,你忍心把它薅起来吗?挤点儿就挤点儿吧↓

那今天就走写实风了,都真牙真嘴真牙片,欢迎大家拿着自己牙片对号入座下,看清智齿的真面目后,最好能治治大家的拔牙拖延症。
那些一直拖着该拔没拔的智齿最后都怎么样了?
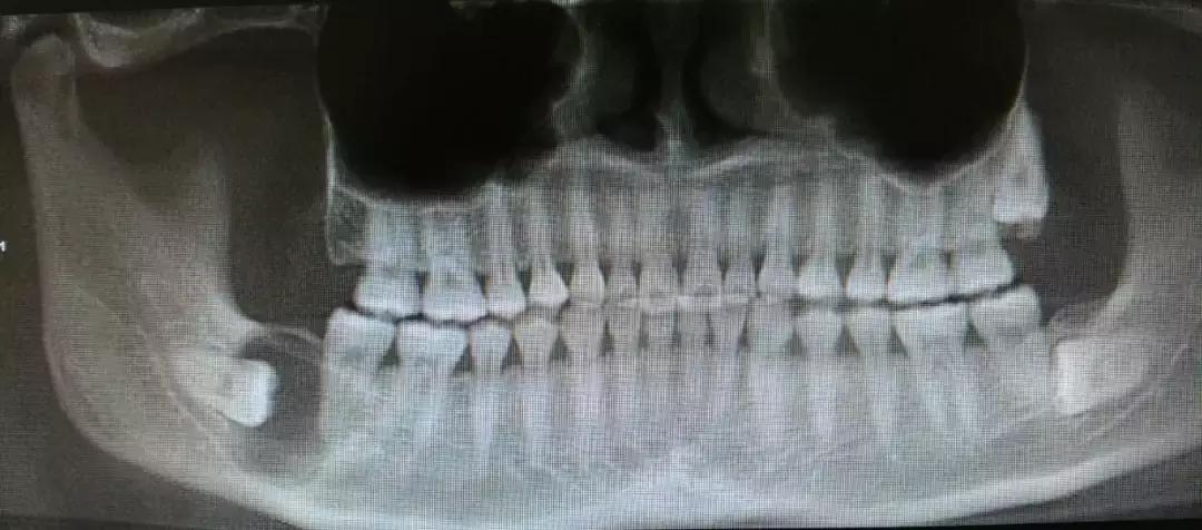
1
智齿斜靠在第二磨牙上,导致邻牙龋坏
不要高估你的动手能力,也不要挑战自己的耐性,刷不到,真的刷不到,放弃吧。
买了尽头刷就能做到每天清理歪头的智齿了吗,这就是大多数人嘴里智齿的清洁程度↓

2
智齿阻生,萌出不全
会引起局部肿胀疼痛
不是持续的胀痛,是那种反反复复红肿,特别磨人↓

你想着,等完全长出来就去拔,这一等又是一年多。
真相是,它真的就到这为止了,就露个尖儿↓

3
智齿位置不正,造成清洁困难
天然垃圾场,臭味儿熏天,还能不能好好聊天了?

最后就是龋坏再拔↓

4
颌骨空间不够,引起的邻牙牙根吸收
如果说倒在第二磨牙上被龋坏的智齿还能抢救一下,像这样牙根都被「吃」掉的,就完全没救了。

最后不得不一拔拔俩↓

5
智齿引发的牙源性囊肿或肿瘤
这部分多说几句,有人可能不明白看不见摸不着的智齿咋就囊肿了?

停留在牙槽中的智齿会刺激上皮细胞,使它增殖并分泌液体,当分泌的液体慢慢增多时,会像气球那样鼓胀起来,逐渐形成颌骨囊胀。
颌骨囊肿一开始可能没有疼痛感,再加上没有做牙齿检查的习惯,很多人都是拖到出现肿痛才发现。
还能救的囊肿可以采取了开窗的治疗办法,原理就是因为颌骨囊肿很大,像个气球一样。可以在颌骨囊肿上打一个洞,让‘气球’里面的气体跑出来。等它缩小到一定程度的时候,可以直接把颌骨囊肿摘掉,这样左下颌的骨头能够保留下来,不至于毁容。

严重的就得把下颌骨头切掉,那样会导致面部塌陷,甚至有毁容的可能。
6
智齿龋坏较深,可能影响牙神经
刷牙不太勤快智齿长得太深,长期刷不到龋坏严重,对我们好牙也是有影响的啊。


7
智齿没有对咬牙,过长
易咬到对侧牙床
这种情况的智齿,牙片长这样↓

吃点东西就咬腮帮子或智齿反复摩擦颊粘膜↓

8
智齿因阻生疑为不明原因神经痛
或可疑病灶牙时
阻生智齿和神经的关系↓

对待这种「骑」在神经上的智齿要以医生建议为主,即使拔也一定要选择微创拔哦。这个危险距离,一锤子下去,神经可就很难保住了。

看清真相了,还留着该拔不拔的智齿吗?
Q&A环节
附上几个带牙片诊断
1、长成这样的智齿需要拔吗?

你的左下智齿是完全埋伏的阻生齿,在确定没有实质的危害的情况下可以不拔。什么叫实质的危害呢?比如,是不是顶到了前牙,引起了左下7的牙根吸收?比如,有没有产生了含牙囊肿?比如有没有产生了你无法忍受的症状——主观或客观?怎么看?拍 CBCT 看。一张曲面断层片看到的信息是不够的。如果 CBCT 显示没有左下 7 牙根吸收、没有含牙囊肿等等,就先留着吧。
2、阻生齿拔除20天后,
牙床肿了一个包是咋回事?

图片看不太清,根据病史和上牙列情况,可能是粘液囊肿。上颌牙齿反复咬破下牙床引起的。
3、水平阻生的智齿必须拔吗?

如果大于25岁,且从未发炎,CT显示并未威胁到邻牙,可长期视察
4、拔智齿时把牙槽骨带下来了
怎么回事,正常吗?

拔晚了,反复发炎和牙槽骨粘连了,时有发生。
5、这种情况咋回事?要拔吗?

智齿下面的牙齿是下颌双尖牙异位了,位置很深,需要定期密切视察。和智齿一起拔的话,骨折风险不低。即便拔,建议拍个CBCT,住院拔。