
点击右上角关注《跑步专家》,专注“运动防护+损伤康复”,科学训练,快乐跑步;有专家,不瞎跑!

千里之足,始于足下。跑者脚受伤的情况很常见,约占据跑步受伤总量的16.9%,是紧排膝盖问题之后的第二大常见损伤问题。

(脚部疼痛是第二大损伤)
今天介绍如何科学解决脚痛问题:

解决足部问题,从了解受伤原因开始
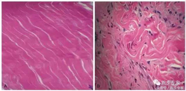
经常长跑的人脚痛,主因是跑多了,导致的软组织疲劳性损伤。下图可以看到正常的肌肉纤维和过度训练之后的肌肉纤维对比:

(左图是正常肌肉纤维,右图是受伤的肌肉纤维,可以看到肌肉纤维已经不成平行排列)
当肌肉功能失效后,地面的冲击力就传到了诸如韧带、关节,从而造成了更大范围的受伤
旧伤的累积,造成问题进一步加重
美国学者对47名顶尖运动员研究发现:曾经受过小腿前侧疼痛和跟腱炎的伤,脚旋前的角度明显小于未曾受过伤的人,这意味着他们再次受伤的风险大大增高。
因此,增加脚部灵活性是预防脚部受伤的重点

图中深色部分是曾经小腿受伤和跟腱炎的选手,白色是正常没有受伤的人
可以看到平均脚踝旋前角度是-8.7度,越往左,曾经受伤的案例越多,旋前角度越少。
脚的旋前,是背屈、内翻、外展三个平面运动的动作。是我们每一步从落地到蹬地的过程中都会经历的过程。这个过程对跑者很重要,好像弹簧一样,缓冲地面带来的冲击力。

(旋前动作的演示)
常见脚部问题有哪些?
脚由26块小骨头组成,而它们之间则由众多小韧带连接。由于运动造成的疲劳,比较容易造成骨间或韧带间的炎症

(足部由距骨、跟骨、足舟骨、骰骨、内中外楔骨、跖骨5块,趾骨14块构成)
如何评估常见足部问题?
足底筋膜炎是最常见的问题,如果用手抬起大脚趾的角度小于30度,得足底筋膜炎的可能性很大,需要多加关注

长距离跑后也容易造成跟腱和跟骨位置的炎症,成为跟骨后侧滑囊炎。表现出来的是脚跟后侧的疼痛和肿胀。
肿胀可以通过皮尺量出两边的差异,超过3公分,关注冰敷和加压

(脚踝肿胀的测试方法)

(如果用手捏住跟骨两侧产生疼痛,很有可能是滑囊炎)
通常遇到脚部炎症问题,首先要冰敷、休息,以控制炎症。然后进行针对性的恢复训练
脚部恢复训练
提升拇指关节活动度的关节松动术是我喜欢恢复方法,治疗师通过移动小关节,增加灵活性

(第一趾骨关节松动)

(跗骨间关节背侧松动)

(跗骨间关节掌侧松动)
自我恢复方法则可以用踩墙法:先将脚踩实在墙上,来回抬起大拇指。20次为一组,连续做三组。过程中尽可能抬升大拇指角度

小结
之前的研究发现,不灵活的关节更容易产生受伤风险。
因此在炎症期过后,脚部受伤后的恢复,主要以恢复关节活动度为主。之后辅助以功能性训练,就可以预防损伤的再次发生
更多精彩内容请关注微信公众号《跑步专家》,专注“运动防护+损伤康复”,科学训练,快乐跑步;有专家,不瞎跑!

