
3月10日,广州市胸科医院呼吸内科主任马志明教授在“医生站”APP为我们带来《慢性肺曲霉病:诊断和治疗的理论基础及临床指南》课程,接下来就让我们来看一下欧洲关于肺曲霉病的最新版指南吧!
作者:丁宁
来源:医学界呼吸频道
据估计:全球CPA合并肺结核患者约174万,合并变应性支气管肺曲霉病(ABPA)41100,合并结节病72000,表明CPA全球负担已经成为国际性问题。
一、肺曲霉病(CPA)有哪些类型?
单纯肺曲菌球:非免疫受损病人,有较少或没有症状,含真菌球单发空洞,具有曲霉菌血清学和微生物学依据(阳性结果),至少视察3个月没有放射影像学的进展。

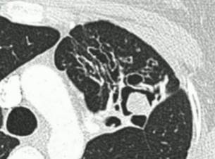
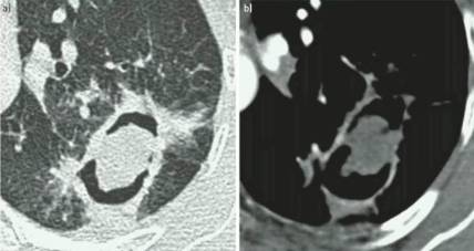
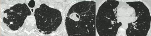
慢性空洞性肺曲霉病(CCPA):最常见,单发或多发的肺空洞(薄壁或厚壁),空洞内可包含一个或多个曲菌球或不规则的腔内物质,具有曲霉菌血清学和微生物学依据,并有明显肺部和全身症状,至少3个多月的视察有放射影像学进展(新发空洞,空洞外周浸润增加及纤维增生增加)。

慢性纤维化性肺曲霉病(CFPA):常因未经规范治疗的CCPA发展而来,至少有两个肺叶的严重纤维化破坏,伴肺功能丧失。而单发空洞伴一个肺叶的严重纤维化性破坏,简称为CCPA影响的肺叶。

曲霉结节:不常见,单发或多个结节(<3cm),有或没有空洞,常出现坏死,但不表现为组织侵袭。易与结核、肺癌、肺球孢子菌及其他疾病混淆,只能依靠组织学明确诊断。

亚急性侵袭性肺曲霉病(SAIA):轻度免疫缺陷的侵袭性肺曲霉病患者,发生在1-3个月内,具有可变的影像学特征,包括空洞、结节、有“脓肿形成的进展性实变”。最重要的特征为肺组织发现菌丝,另血液或呼吸液GM试验呈强阳性。

SAIA好发人群:糖尿病、营养不良、酗酒、高龄、长期使用糖皮质激素或其他免疫*制剂抑**、COPD、结缔组织性疾病、放疗、肺结核分枝杆菌感染或HIV病人。
二、肺曲霉病(CPA)的诊断
1、胸部影像学(CT最佳)符合CPA表现;
2、血清学:直接依据(培养到曲霉菌)+间接依据(GM试验、G试验、曲霉菌抗体检测、沉淀试验),排除其他诊断(结核、肿瘤);
3、至少发病3个月,发病时间可依据症状或影像学推断;
4、无因HIV感染、肿瘤化疗或免疫抑制治疗导致的免疫受损。
Tip:有不同程度免疫抑制的患者(如结缔组织病患者),建议强的松10mg qd(或同等量的其他药物)作为临床治疗的临界值。因为在没有抗真菌药物治疗的情况下,间隙性高水平的免疫抑制可能会加速CPA的进展。
单纯曲菌球:
①影像学发现,3个月内无影像学进展;②曲霉菌IgG或沉淀试验阳性;
③抗体检测阴性,则需要寻找曲霉菌感染的其他依据。
①+②=确诊90%以上的病人
慢性空洞性肺曲霉病:
①影像学发现并排除其他诊断,视察3个月以上发现进展;
②曲霉菌IgG或沉淀试验阳性、曲霉菌抗原或呼吸道液体DNA强阳性;
③经皮肺穿或空洞切除活检标本镜下发现曲霉菌丝或曲霉菌属生长;
④呼吸道标本发现与曲霉相一致的菌丝或/和曲霉菌属生长,或/和曲霉菌属PCR检测阳性。
亚急性侵袭性肺曲霉病:
①免疫受损病人或极度虚弱病人;
②影像学发现,1-3月内病变有进展;
③血液或呼吸液GM试验、曲霉抗体阳性;
④组织学发现菌丝侵犯肺实质。
三、鉴别诊断:
1、慢性空洞性组织胞浆菌病、副球孢子菌病和球孢子菌病
①地理位置和旅游史(不同疾病不同地理位置发病不同);
②抗体/抗原检测;
③呼吸道分泌物真菌培养鉴别。
2、分枝杆菌感染(肺结核、NTM)
①病史:肺结核或NTM感染可能在前,其后或偶尔同时并发CPA;
②肺标本图片、分枝杆菌核酸扩增培养;
③诊断分枝杆菌感染不能排除CPA。
3、其他:坏死性肺癌(空洞型)、肺梗死、血管炎和类风湿小结等。
4、其他细菌感染:肺炎链球菌、流感嗜血杆菌、金葡菌、铜绿假单胞菌和厌氧菌。
更多精彩内容可以*载下**医生站搜索课程名称观看。
如何*载下**医生站?
按住图中二维码3秒钟,识别二维码后,按提示步骤*载下**并安装。