
点击“北大肿瘤肝胆外一”订阅
想了解肝胆胰肿瘤领域最新进展吗? 想让更多的人也能看到这些进展吗? 您的关注和转发是我们最大的动力!

包全
博士,主治医师
出诊时间:周三全天
本期和大家讨论的话题是关于结直肠癌肝转移伴有肝外转移(CRLM-EHD)的相关问题。在这里和大家分享一例我中心治疗过的病例,希望和大家进行讨论。更多相关内容可参考本期另外一篇文章:《肝转移伴有肝外转移,手术的地位何在?》。
治疗过程
患者45岁男性,2009年10月主因“间断腹痛1年,发现结肠癌1周”入院。查体:无特殊。既往体健。辅助检查:结肠镜检查提示“横结肠近肝曲肠腔狭窄,不规则隆起”。活检病理:粘膜慢性炎。腹部CT提示近右侧结肠肝曲横结肠局部肠管僵硬,肠壁增厚,管腔狭窄,考虑横结肠癌可能。盆腔、胸部CT未见异常。CEA 4.95 ng/ml。
第一次手术(结肠癌手术)
2009年11月03日,患者于在全麻下行根治性横结肠切除术。术中探查见肿瘤位于横结肠中部,长径约6cm,侵及浆膜,与周围组织界限尚清楚,无明显侵犯及粘连。肠系膜可见多枚肿大淋巴结。手术顺利,术中出血约50ml,未输血。
术后病理:横结肠溃疡型低分化腺癌,大小9x5cm,侵透浆膜层并侵及网膜组织,可见脉管癌栓,肠周淋巴结可见癌转移(4/25),肠管两断端未见癌。分期:PT4N2M0出院日期2009.11.24。
2009年12月开始术后行XELOX方案化疗4周期,末次2010.01.20。
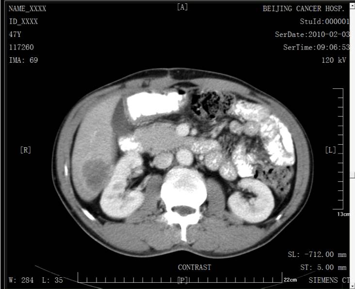
2010.01.25复查超声提示右肝S6占位,考虑肝转移。
2010.02.04腹部CT示肝S6占位,大小4.0x3.8cm,符合肝转移瘤改变。

胸部、盆腔CT未见异常。CEA 16.35ng/ml。肝转移评估可切除。
第二次手术(肝+腹膜结节)
2010.02.24在全麻下行右肝部分切除术+腹膜结节切除术。术中探查见肝S6直径约5cm肿物,质硬,邻近肝肾之间腹膜可见结节,大小约3cm。肿瘤完整未见破裂。术后病理:右肝部分S6可见低分化腺癌浸润伴大片坏死,大小7.0x6.0x3.5cm,可见脉管癌栓,切缘未见癌。腹膜结节:可见低分化腺癌,大小3.5x3x1.5cm,结合病史符合结肠癌术后肝及腹膜转移。出院日期2015.03.03。
2015.03.17开始行FOLFIRI方案化疗(初次手术XELOX辅助化疗期间复发),具体:亚叶酸钙0.3g D1,伊立替康280mg D1,5-FU 0.5 iv,3.75g 化疗泵 Q2W。术后化疗4周期,末次化疗日期2010.05.07。2015.05.27CEA 5.1ng/ml。
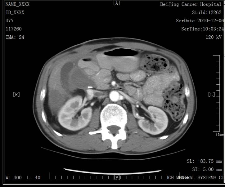
2010.09.06腹部超声复查发现腹膜后低回声肿大淋巴结,大小约4.7x2.6x4.0cm。

第三次手术(淋巴结)
2010.09.20在全麻下行腹膜后肿物切除术。术中探查肿瘤位于胰头后,质硬,大小约3cm,胆总管下段及胰头关系密切。因行R1切除,在该处放置钛钉。作为术后放疗标记,待术后放疗使用。术后病理:淋巴结可见低分化腺癌浸润伴大片坏死(1/1)。

出院日期2010.11.02。患者术后因个人原因未行放化疗治疗。
定期复查未见复发转移。
末次复查日期2015.11.18。腹盆部CT、胸片未见异常。

本例患者横结肠癌术后,肝转移同时伴有腹腔转移,肝转移单发、不够5cm、肝外转移不位于肝门或腹膜后,按照在本期《Colorectal Cancer Liver Metastases andConcurrent Extrahepatic Disease Treated With Resection》一文中提到的评分标准,本患者为1分(肝转移大约3cm)。进行手术切除后,术后进行了FOLFIRI方案的辅助化疗。DFS约7个月,再次出现了胰头后复发,再次评分本患者为1分(胰头后淋巴结),为患者再次选择手术切除。目前患者DFS已超过4年。
大家如何看待CRLM伴有EHD的情况?如何看待该病例?欢迎您发表评论或者留言!更多内容请关注本公众号查看历史。
