微信搜索“yiliaobaike”,关注您与家人的健康!

原文\中山大学附属第一医院血管外科 石毅 博士
虽然A4腰话题就火了一个星期,但是关于腹主动脉瘤的系列文章才进入到第二章。扫瘤指南——专攻腹主动脉瘤症状以及常用检测方式。(关注本“yiliaobaike”公众号并回复“腹主动脉瘤”了解前文。)
从症状扫瘤
想必80后的小伙伴们都早已练就一身扫雷绝技,通过显示的数字症状来判断地雷的位置。同样,扫瘤也可以通过参照以下症状获得相关的信号。
腹部搏动性包块
当动脉瘤扩大到一定程度(如4-5cm以上),如果腹部脂肪不是太厚、肌肉不是太发达,把手掌平放在肚子表面能触摸到跟心跳同一个节律跳动的包块。而偏瘦的人或腹主动脉迂曲的人,亦可通过上述方法触及搏动性包块。有些患者的腹部肿瘤位于腹主动脉表面因而搏动传导到肚皮上被感触到。有不少病人首次发现腹主动脉瘤的症状往往是自己摸到,或因其他病就诊时医生检查腹部时无意中发现的。如发现搏动性包块建议到医院进行检查。

腹痛
当腹主动脉瘤增长迅速,牵扯周围组织包膜,濒临破裂或者已经破裂时,会有程度不一的腹部疼痛,可能是钝痛、酸胀痛、撕裂样痛。如果不曾考虑腹主动脉瘤的可能性,或者只当胃肠炎、溃疡穿孔或者肾结石处理,那么就可能引发严重的后果。
压迫症状
腹主动脉瘤增大后可压迫腹腔器官,压迫肠道引起恶心呕吐、腹胀、停止排气排便,压迫输尿管则引起肾积水。如果有相应症状也需要到专业机构进行检查。
下肢缺血表现
腹主动脉瘤常伴随有瘤内的血栓形成,当血栓脱落时有可能堵塞下肢动脉,导致间歇性跛行或者下肢的急性缺血,需要到急诊就诊确定病因。
用辅助检查扫瘤
除了通过以上症状可以进行初步扫瘤,以下专业检查才是扫瘤主力。
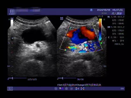
多普勒超声
无创、易行的检查,可明确有无腹主动脉瘤,以及瘤体的部位和大小。所以彩超对筛查、定期视察、术后的病人的随访非常有价值。医博士建议65岁以上老人可通过超声进行腹主动脉瘤筛查,而家族中有腹主动脉瘤史的亲属则宜50岁开始进行筛查。

CT血管造影(CTA)
能视察主动脉瘤及内脏动脉的情况,并对腹主动脉瘤的瘤颈、瘤体以及髂动脉等远端大动脉等进行视察和测量,针对破裂腹主动脉瘤能看到破裂口和腹膜后血肿。因此CTA是诊断和治疗腹主动脉瘤中最重要的影像学资料。

一般情况下,通过症状诊断和检查诊断都有效确诊腹主动脉瘤。那扫瘤成功后下一步又该怎么办?是否所有腹主动脉瘤均需要通过手术进行治疗呢?下一篇医博士开专题进行分享与讲解。
作者其人
石毅, 博士, 中山大学附属第一医院血管外科。研究方向为外周血管疾病的腔内和手术治疗。
本期的科普文到这里结束啦!欢迎各位用问题雨袭击医博士哦~
医聊百科公众号是由广州三甲医院博士团打造的移动医疗公众平台,提供专业靠谱的移动医疗咨询。请搜索”yiliaobaike“关注我们,关注健康。
医聊百科,您的随身医疗
专业靠谱,欢迎随时将您的困惑告诉医博士
微信号:yiliaobaike
长按二维码后选择识别图中二维码即可关注