各位爸爸妈妈,大叔这一次要来一次正经的科普。最近大叔看到科室里面来了好几个股骨干骨折的宝贝,暑假将至,爸爸妈妈们要更加关注孩子的安全啊,不要让孩子受伤了。孩子需要一个健康、快乐的童年哦。

现在,大叔要着重科普一下儿童股骨干骨折。各位爸爸妈妈们听好了哦。股骨干骨折在儿童中常见,10岁以下儿童占多数,男性多于女性,多由直接或间接*力暴**所致。主要为直接*力暴**致伤,如机动车撞伤、重物砸伤等;间接*力暴**如高出坠落、运动性损伤和机器致伤等。
儿童股骨干骨折可选用小夹板固定、悬吊皮牵引、水平皮牵引、骨牵引、Pavlik支具、髋人字石膏固定等保守方法治疗或外固定、弹性髓内钉固定、接骨板固定等手术方法治疗。

那么,儿童股骨干骨折的治疗到底是咋搞的呢?且听大叔慢慢说。股骨干骨折孩子的治疗方案与患儿年龄、体重、骨折部位、骨折类型和合并伤等有关。
对年龄在六个月以下的患儿,主要适用于Pavlik支具或髋人字石膏固定。0~6个月是婴儿生长发育最快的阶段,及时治疗股骨干骨折可完全愈合。由于儿童股骨干骨折可快速愈合,诊治重点主要是方便照顾患儿及降低并发症发生风险。使用Pavlik支具和髋人字石膏治疗股骨干骨折可获得良好的治疗效果,而且并发症少。

对6个月至5岁、短缩<2 cm的股骨干骨折患儿,推荐使用早期髋人字石膏固定或牵引后延期使用髋人字石膏固定治疗。
对儿童股骨干骨折患者,推荐使用防水石膏衬垫行髋人字石膏固定治疗

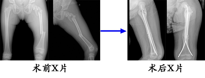
对5~11岁的股骨干骨折患儿,推荐选用弹性髓内钉治疗。
例:6岁,女,双侧股骨干骨折,在外院初次手术(髓内针直径过小,尾帽使用不当)复位不成功,来我院翻修(调整弹性髓内针直径,去除尾帽),翻修术后8个月,骨愈合良好,拆除弹性髓内针。

对11岁至骨骼成熟阶段儿童的股骨干骨折,推荐使用经转子开口的刚性髓内钉、接骨板和弹性髓内钉治疗,建议避免经梨状窝或近梨状窝开口使用刚性髓内钉固定治疗。
对儿童股骨干骨折患者推荐进行局部疼痛控制以改善围手术期舒适度。
最后,大叔要提醒各位爸爸妈妈,当孩子发生骨折的时候,应带孩子到正规的设有儿童骨科的医院进行治疗,切不可耽误了治疗的时机。