近日,县总医院腔镜下颅内血肿清除术、脑室腹腔分流术和脑出血脑室引流术顺利完成。这几项新技术的成功开展,填补了我县在该技术领域的空白。
腔镜下颅内血肿清除术
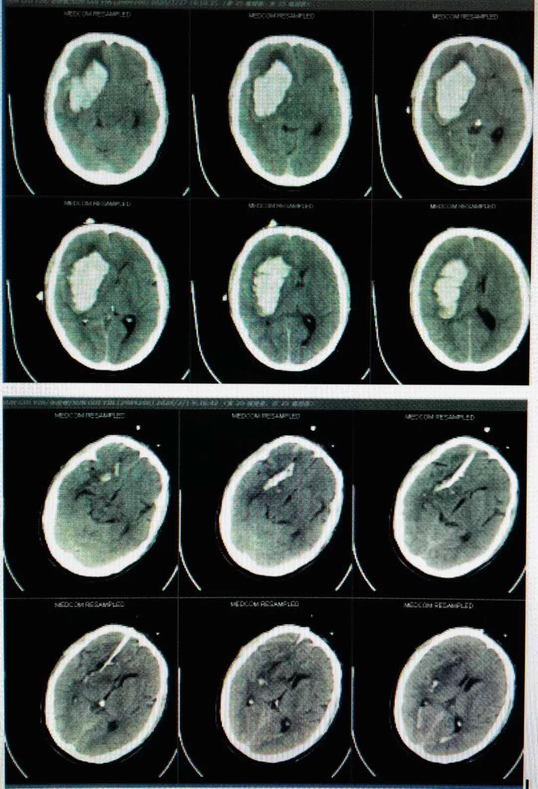
患者林某,男性,82岁,反复头晕半个月,症状时好时坏,未引起重视,未进行治疗,4月27日突发右侧肢体无力,无不能言语,无人事不省,无口吐白沫、双眼上吊、四肢抽搐,无大、小便*禁失**。经查,该患者左侧额、颞、顶部亚急性硬膜下血肿,右侧顶部硬膜下少量出血未除。左侧额颞顶部硬膜下血肿清除术后,于2020.04.28在全身麻醉下行“内镜下颅内血肿清除术+脑积液漏修补术+颅骨修补术”。

术后降低颅内压及抗感染治疗,患者态势良好,病情得到恢复。

术前

术后

脑室腹腔分流术
患者高某,男性,73岁,于入院2个半月前因外伤致伤头部,当即人事不省,无口吐白沫、双眼上吊、四肢抽搐,无大、小便*禁失**等不适,经福建医科大学附属第一医院治疗后好转。1个月前就诊我院康复科,行康复治疗。半个月前患者开始出现精神态势欠佳,呈痴呆状,意识障碍,大、小便*禁失**。诊断为创伤性脑积水、左侧额部硬膜下积液、右侧颞叶软化灶、两肺下叶炎症。5月18日在局部麻醉下行“脑室腹腔分流术”。

术后,给予预防感染和抗癫痫等对症支持处理,患者病情慢慢恢复。

脑出血脑室引流术
此外,永春县医院还成功开展了“脑出血脑室引流术”。



这三项技术的成功开展意义重大,标志着永春县总医院开启了新篇章,同时也为全县相关疾病患者带来福音。今后,此类患者不出县就能得到很好的治疗。
消息来源丨永春县总医院外二科
来源:微信公众号-永春县总医院
04