在我们的日常生活中,我们难免会磕磕碰碰。那么,有的时候一不小心摔倒摔到了牙齿,导致牙齿脱落。尤其是是针对一些小孩子们来说,他们总是喜欢乱跑,在小朋友们之间,你追我打的过程中,是很容易摔倒摔掉牙齿的。可如果我们的牙齿摔掉了,还可以安回去吗?

尤其是在上体育课的时候,小朋友们都对踢足球很感兴趣。因此每次上体育课的时候,体育老师都会组织小朋友们分成两队去练习踢足球。虽然说踢足球可以帮助宝宝锻炼身体,可每次上体育课踢足球的时候,体育老师总是最担心的那一个。

因为在体育课上是非常容易发生碰撞受伤的,尤其是是针对一些小孩子们来说,他们在玩耍起来根本就不关注其他的。更何况是踢足球或者是打篮球这类运动了。在体育课上磕磕碰碰是常有的事情,有的小朋友摔倒了蹭破了皮,老师带他去医务室进行简单的消毒。也有的时候,小朋友们因为冲撞得过于厉害而导致把牙齿撞掉了。
虽然说牙齿撞掉不是经常发生的,但也有意外的时候。男友毕业之后就去小学担任了体育老师。现在的小学的体育课不跟我们之前一样,我们小的时候体育课往往都是被主课霸占了的。那所小学非常注重学生的体育,因此他的体育课只要有,那就是一定需要上的。那天我陪他去上了一节体育课,他在教小朋友们踢足球,而就在小朋友们自由玩耍练习的时候,因为孩子们玩得太嗨了,两个小朋友撞到了一起,另一个小朋友摔倒了地上将牙齿磕到了。

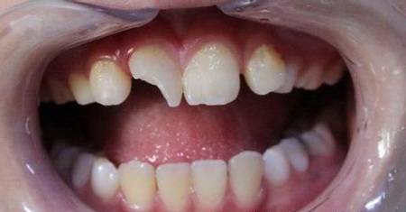
那位摔倒的小朋友,他的牙齿从中间摔断了,没有完全脱落,而只是从中间断了一半。小朋友们也非常注重自己的外在,别看他们年纪小。当时我的那位同学立即从草丛里面将孩子的半颗牙齿找到放到生理盐水泡着,并且联系了班主任,尽快就医。我当时也跟着一起去了,也正是那次我才知道原来牙齿断了还是可以补起来的。
向医生向我们普及到牙齿折断可以分为牙冠折断,牙根折断,以及根冠折断。如果牙齿只是一小部分折断的话,那就用跟牙齿相近的材料将它补起来就可以恢复了。可如果是牙齿折断的比较厉害,那就有可能要涉及到牙髓的相关治疗啊。

正是那次向医生讨教,我才知道原来即使因为外力导致牙齿整颗脱落,如果就一及时的话也是有可能恢复的。如果因为意外导致自己牙齿脱落,可以再将牙齿轻轻用水冲洗之后放回原位,用嘴轻轻咬住前往医院,如果来得及时的话也是可以达到愈合的效果的。当然这一切都建立在及时就医,并且保管得当的前提下。
我的弟弟在小的时候,因为一次玩滑板不小心把牙齿摔断了,当时家里人也没有及时带他去医院认为牙齿摔断了,除了影响外观之外也没有什么补救措施了。导致现在他的牙还只是一半。后来我们才了解到原来牙齿是可以补齐的,可当时弟弟还小,再加上他每天还要去上学,就想着等他成年以后再去。

可就在这段等待的时间里,他没少让人嘲笑,因为他的牙断了一半也是真的丑。上学结束了,家里人带他去医院将牙齿补了起来。
而言之,一旦牙齿意外脱落,就一定要将牙齿保保护好及时去医院。千万不要自己认为没有可能了就放弃了。另外还需要关注的是,在去医院之前一定要将脱落的牙齿保护好。