一、患者信息及影像
患者:女性,28岁
主诉发现左乳包块1+月就诊。
现病史双侧乳房对称,左乳头凹陷(先天性),未见皮肤色素沉着,未见酒窝征、橘皮征,双侧乳头无溢液,左乳3点钟方向距乳晕2cm触及一肿物,约4cm×5cm大小,质硬,无压痛,边界不清,表面不光滑,活动度不佳,左腋窝可及小淋巴结。
既往史月经初潮年龄14岁。既往2年前行“剖宫产术”。
实验室检查无
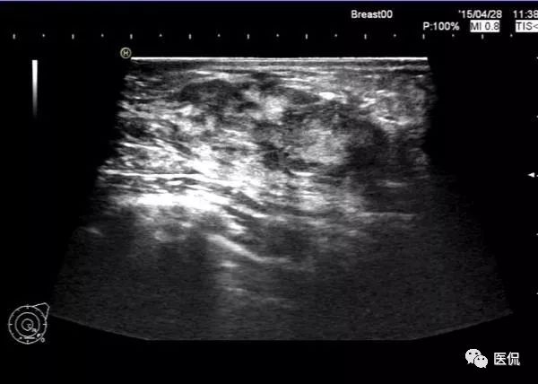
超声超声检查设备为HITACHI Avius彩色多普勒超声诊断仪,频率3-13MHz,患者取仰卧位,暴露双侧乳腺及腋窝,对每侧乳腺采取扇形扫描,充分检查每一区域。
CT/MR扫描X鉬靶检查:
X线钼靶检查设备型号为Selenia Dimensions乳腺X射线摄影系统。包括双乳内外侧斜位(MLO)及头尾位(CC)。
乳腺MRI检查:
MRI检查设备为PHILIPS Achieva 3.0T超导型MRI扫描机,专用乳腺8通道相控阵线圈。患者俯卧位,双乳自然悬垂。先行横轴位梯度回波T1WI序列(TR/ TE=5.15/2.59ms),横轴位快速自旋回波脂肪抑制T2WI序列(TR/ TE=7989.15/70.00ms)平扫,FOV=35cm×16cm,层厚4mm,层间距0.4mm。后行横轴位、矢状位DCE-MRI扫描,采用三维容积梯度回波成像技术脂肪抑制序列(TR/TE=5.4/2.7ms),造影剂用量14ml,速率2ml/s,设定8个时相,无间断扫描,每个时相扫描时间为111s,总动态增强时间约14.8min,FOV=35cm×16cm,层厚4mm,层间距0.4mm。DWI序列,b值0,600。
查体无

二、病例问答挑战
问题一
根据上述临床资料与影像学表现,该病例最可能的诊断为下列哪一项:
A浆细胞性乳腺炎
B化脓性乳腺炎
C乳腺癌
D乳腺硬性腺病
E乳腺纤维腺瘤
答案解读:A
该例患者有先天性乳头凹陷, MRI图像上,病灶范围较广泛,呈片状,边缘不清,累及乳后间隙,增强后不均质强化,时间信号曲线为平台型,应首先考虑为炎性病变。
【手术和病理结果】
(左乳)浆细胞性乳腺炎。镜下所见:乳腺导管扩张,上皮破坏,导管周围见大量炎性细胞,内含较多浆细胞。
三、诊断与鉴别诊断
诊断要点
本病例特点为年轻女性,以发现左乳肿块1+月就诊,病程较短,有先天性乳头内陷。X钼靶显示左乳外下象限腺体结构紊乱,密度增高,边缘模糊,无钙化,腋窝无增大淋巴结。超声显示病灶范围较为广泛,为混杂低回声区,边缘不清。MRI显示病灶呈片状稍长T2信号,边缘不清,DWI(b=600)为稍高信号,增强后明显不均质强化,时间-信号曲线为平台型。上述影像表现均提示病变范围广泛,边界模糊不清,无肿块显示,结合患者先天性左乳头凹陷,有乳腺炎发病基础,因此在诊断上首先需要考虑浆细胞性乳腺炎的可能性。

鉴别诊断
本病例鉴别诊断上需与以下几种疾病进行鉴别诊断。
(1)乳腺癌:单发、无痛并进行性生长的肿块,外上象限最多见(45~50%),质地较硬,表面不光滑,边界不清,活动度差。可见“酒窝”征、乳头内陷、皮肤橘皮样改变等。可伴同侧腋窝淋巴转移,晚期可出现锁骨上、对侧腋窝淋巴结转移,其他部位如肺部、骨等转移。影像上通常表现为乳腺肿块,边界不清,有毛刺、分叶,浸润性生长,MRI针对癌肿对周围组织的浸润情况显示更清晰,动态增强扫描病变呈肿块样、段样或导管样强化,时间-信号曲线通常为流出型或平台型
(2)急性乳腺炎:多发生于哺乳期女性,急性起病,乳房有红、肿、热、痛等症状,白细胞增高。病变累及范围较广泛,边缘模糊,脓肿形成后超声实时显像可显示脓腔内脓液流动现象;由于脓腔内蛋白含量高,DWI显示为显著高信号,MR增强扫描脓壁强化显著,脓腔不强化。
病例供稿:贵州医科大学附属医院 陈静
专
家
点
评
浆细胞性乳腺炎(plasma cell mastitis,PCM),是一种非哺乳期乳腺炎症性疾病,占乳腺良性疾病中的1.41~5.36%。多发生在中、老年女性,与妊娠哺乳无关。常见于乳头内陷患者,由于乳头凹陷,乳导管排泄不畅、扩张并分泌物潴留,引起导管上皮炎症反应及纤维增生,大量浆细胞浸润。临床上患者多以乳晕区肿块、乳头溢液、乳房疼痛来就诊。
乳腺X线摄影是基本检查方法,主要表现为患侧乳腺的大片密度增高,边缘不清,有时可在病灶区域内看到迂曲透亮的扩张导管影。超声可清晰显示扩张的导管,浆细胞性乳腺炎一般分为三型:(1)包块型,肿块多位于乳晕附近,边界不清,形态不规则,与乳腺癌不易鉴别;(2)单纯导管扩张型:乳腺腺体内见多发扩张导管,内透声差;(3)脓肿形成型:范围较广泛,边界模糊,脓肿形成后深压探头可显示脓液流动,光点漂浮。MRI检查具有较好的组织分辨率及空间分辨率,能从多个角度显示病灶的信号、形态特点,T1WI呈等低信号,压脂T2WI呈高信号,动态增强呈不均匀明显强化,脓肿形成后脓肿壁环形强化,DWI脓腔呈明显高信号,时间-信号强度曲线多为I型或II型。对与乳腺癌鉴别具有较大意义。
点评专家:云南医科大学附属医院 李俊
长按图片,识别二维码
关注医侃(yikantime)
微博:@医看
点击「阅读原文」,进入「医看」医生问答平台!
