谢谢你能来并关注了我们☝
1.什么是犬心丝虫病?
犬心丝虫病是由犬心丝虫引起的一种血液寄生虫症,其主要传播途径为蚊子叮咬传播。犬心丝虫病是一种严重危害宠物狗健康的疾病,可感染任何年龄段的宠物狗,犬心丝虫成虫寄生于心脏内,造成心脏破坏,同时也可以影响肝脏,肾脏,眼睛和中枢神经系统,如果不加以治疗,会导致死亡。

2.犬心丝虫病有什么症状?
犬心丝虫病的初期并无明显症状,很容易被狗主人们忽略。但在狗狗感染一段时间后随着心丝虫数量的增加,狗狗会逐渐表现出咳嗽、嗜睡、呼吸困难、运动不耐受等症状,同时狗狗食欲不振体重降落。如果不及时加以治疗的话,随着病情的加重狗狗开始出现贫血、腹水、肺积水、心肺衰竭、黄疸、肝肾衰竭等症状,到这个时候基本可以说是已无力回天了。

3.谁会被感染述
犬心丝虫病最早发现于美国南部,但目前全球各地都有分布,只要有蚊子出现的地区,就可能出现这种寄生虫。你也许知道心丝虫病对狗狗有影响,但你可能不知道它一样能传染给人和猫。事实上,任何能被蚊子叮咬的动物都有受到此寄生虫感染的风险。
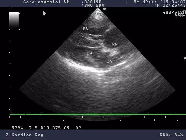
4.如何诊断犬心丝虫病?
心丝虫病是最常见的诊断方式是检测血液中是否有心丝虫存在。许多宠物医院都可以进行检测,几分钟内就能得到结果。根据检测结果和动物的症状,还可以进行心脏超声检查来确定是否感染和感染的严重程度。
5. 如何预防?
该病一旦感染,不易被发现,等宠物主发现症状时基本上已是晚期,治疗费用高昂且耗时较长,最好的“治疗”就是做好预防工作。
预防犬心丝虫病的方法有:口服,外用,肌肉注射等三种方法。
口服:每月定期服用心丝虫预防药,除预防心丝虫外对胃肠道部分其他寄生虫亦有预防效果。
外用:每月于颈背皮肤(宠物不易舔到的地方)滴预防药物,除能预防心丝虫外,也能驱除跳蚤、蜱虫等。
肌肉注射:狗狗半岁以后打一针,之后每年定期打一针。

结语:犬心丝虫并广泛分布于世界各地,我国亦是重灾区,有调查显示犬心丝虫病的感染率达40%以上,该病不易治疗也无成熟疫苗可用于预防,因此防止蚊子叮咬是预防该病的关键所在。
关注我们,解锁更多姿势!