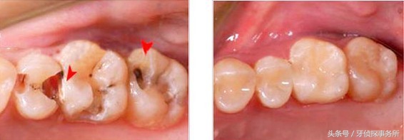
补牙材料要嵌入牙齿,参与日常咀嚼进食,如果选择的材质不适合,不仅影响进食,更影响健康。市面上常见的补牙材料这么多,应该选择哪种材料才正确?

补牙材料按封闭性能和耐用性,分为暂时性、半永久性、永久性三大类。牙医一般会根据患者的牙齿状况及治疗阶段进行推荐。各种类别的特性优缺点如下,供您参考:
一、 暂时性补牙材料:氧化锌丁香油水门汀
暂时性补牙材料一般在牙体牙髓治疗时用来暂时性封闭窝沟。强度差,封闭性一般。优点是便宜,耗时少,医生操作时间短。不推荐用作常规补牙。

二、 半永久性补牙材料:玻璃离子水门汀
优点:可以缓慢释放氟离子,能一定程度上预防继发性龋齿;边缘封闭性较好;对牙髓刺激性小;安全性较好。
缺点:外观不如复合树脂,而且不透明;强度不及复合树脂和银汞合金。大部分玻璃离子硬度及与牙体的粘接性低于树脂。

三、 永久性补牙材料:银汞合金、树脂
1、 银汞合金
优点:比较耐磨;价格便宜
缺点:依赖机械锁合作用嵌在牙齿上,需要在牙齿上磨出洞形,磨牙量较大;比较容易出现继发性龋齿;颜色不好看;导热能力强,易出现术后敏感;在未硬固前会有少量游离贡释出。

2、 树脂
优点:美观,颜色和质地比较接近牙齿组织;和牙齿组织有粘接性,对洞形的要求相对比较低,磨牙的量比较少,有利于保护牙体组织;可用于充填大面积缺损的患牙;窝洞的边缘封闭性较好,有利于防止继发性龋齿;导热能力比银贡弱,术后反应较小。
缺点:少部分人会对树脂材料过敏;费用相对较高。

四、 嵌体:常见的有瓷嵌体、树脂嵌体、银贡合金嵌体。以上树脂和银贡合金已做介绍。
瓷嵌体
优点:美观,生物相容性好。耐磨、耐腐蚀;边缘密合性高;邻面可高度抛光,形成良好的邻接关系。
缺点:需制备洞型,磨牙量相对较大,补牙周期较长,加工需要医技配合,价格较贵。

以上是对补牙材料做的一个简要优缺点分析,患者可根据自身的经济条件及医生建议进行选择。