你是否有过这样的感觉:
站久了膝盖疼
身后看小腿会特别粗
走路、跑步时小腿会先累
大腿前侧突出
……
很多人以为身体本来就是这样,甚至以为这是常态。但其实呢,这些现象有可能都指向同一个原因——膝关节超伸。
一、超伸是什么样的

图中妹子的左腿有一个很明显的反向弯折,这个弯折就叫做「超伸」,也叫「过伸」,意思是关节的伸展超过了合理的幅度。

舞蹈演员,是膝关节超伸的高发人群,其中芭蕾舞最为严重。膝关节在处于超伸的姿态时,膝关节会变成一个刚性结构,这个结构的支撑非常稳定,很适合舞蹈中的单腿站立舞姿。
但在这个结构下,无法发挥肌肉的弹性,久而久之就会变得僵硬、肿大。所以,即使是千挑万选选出来的舞蹈演员,也很少有双腿笔直、纤细的。

传统印度瑜伽中,也含有许多膝关节超伸的动作。这是曾是瑜伽被批判的重点之一,不过随着现代瑜伽体系的不断完善,此类风险较大的动作已经得到改良。瑜伽也越来越适合大众。
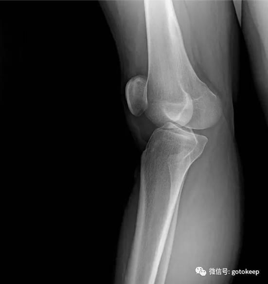
二、超伸是膝关节疼痛的主要诱因

这是一张膝关节超伸的 X 光片,图中很明显地看到关节前侧的缝隙变得很窄,髌骨与股骨(大腿骨)之间的缝隙也很窄。
正常情况下,两个骨头应该是在「关节面」均匀接触的,重力会平均分布在整个支撑面上。但超伸之后,就全压在关节前侧了。这些现象很有可能成为膝关节病痛的诱因。如果髌骨和股骨之间还可能会有摩擦,那就更糟糕了。
三、膝关节超伸会让小腿更粗
这就是成千上万女生想割掉、或剁碎的腓肠肌。它虽然长在小腿,但它是一直连到到大腿上的,就是图片腓肠肌最上端的两个头。
膝关节超伸时,膝关节向后顶会把腓肠肌上下两端拉长。当膝盖前侧感到难受时,人体会本能地用腓肠肌发力,将膝关节尽可能拉回正常位置,减少膝盖前侧的压迫。
也就是说,小腿肌肉会在膝关节超伸的情况下,小腿肌肉会过度发力来维持身体姿势。过度发力,就会有变粗的可能。

在视觉上,由于膝盖向后顶,把小腿肌肉顶了起来,从后面看会显得更加圆润,饱满……小腿上侧的肌肉与大腿后侧、脚踝形成了一个对比,自然就看起来粗了。
膝关节超伸怎么办
如果你的膝关节超伸已经非常明显,且膝关节经常疼痛。最好的解决办法就是:
去医院!
去医院!
去医院!
(挂骨科、运动医学科,听医生的话)
如果是轻度的超伸,通过一些自我训练其实是可以改善的哟。下面 Keep 君就来教大家解决的办法。
1、大腿前侧放松

收紧腹部,抓住脚腕,将腿向上提,大腿整个前侧会有拉伸感。

将泡沫轴接触于大腿的下半部分,用双肩的力量推动身体前后运动。
2、小腿放松

按摩:将重力压在小腿的痛点上,转动脚踝。

拉伸:后脚脚跟踩地,臀部向下压,感受小腿后侧上部有强烈拉伸感。
3、大腿后侧放松

手握住小腿拉伸大腿后侧,膝盖微曲。如果柔韧度不够,可以用毛巾套住脚,拉动毛巾拉伸。
4、大腿后侧力量训练

腰腹部要始终绷紧,依靠大腿后侧的力量勾起小腿。下落时不要把膝盖完全伸直。
5、下肢稳定力训练

绷紧腿部的几个关节,培养肌肉发力稳定身体的习惯。
以上动作建议每天训练,除此之外,日常生活中也要关注收腹、膝盖微屈,一个月左右就会有所改观啦~
---------------------------------------
关于 Keep:
互联网健身 App「 Keep-移动健身教练」,在各大应用市场搜索 Keep 即可*载下**,为你量身打造最适合自己的健身计划。
微信公众号:Keep,分享最实用的健身知识、最有趣的生活指南