
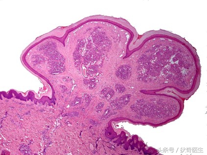
肉芽肿性血管瘤病理
什么是肉芽肿性血管瘤?
肉芽肿性血管瘤又称化脓性肉芽肿,是发生于皮肤和黏膜面的一种息肉状血管瘤,为一种特殊类型的血管瘤。可发生于各年龄。发病原因不明,多认为与外伤、感染及激素水平等有关,其中与外伤关系密切,多为皮肤损伤后所形成新生血管形成的损害。好发于头面部、手足等。

肉芽肿性血管瘤
肉芽肿性血管瘤有什么特点?
1、外生型生长,紫红色,质脆,触碰易出血,出血较不易止。
2、反复出血其表面易出现溃疡,每次破溃后瘤体会较前增大,造成底部有蒂与皮肤或黏膜相连。
3、无明显痒感或疼痛。

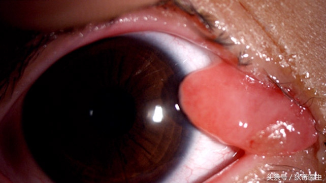
眼部肉芽肿性血管瘤
得了肉芽肿性血管瘤怎么治疗?
如何治疗肉芽肿性血管瘤取决于它的大小和位置:
小的肉芽肿性血管瘤,你可能不需要治疗,有可能会自行消失。
大的肉芽肿性血管瘤,可以硬化治疗、手术切除、激光治疗、外用药水治疗等,通常预后良好,但复发率可能高达16%。
相关文章
血管瘤系列科普之一,1张图看懂6种血管瘤
血管瘤系列科普之二,婴幼儿血管瘤早发现早治疗,治愈率极高!
血管瘤系列科普之三,什么样的血管瘤可以不治疗?

狄奇,国家儿童区域医疗中心核心技术开展优秀医师、郑州市卫计委引进国内外知名学科团队主要成员、中华医学会河南血管外科学分会下肢静脉组委员,曾在广州妇儿中心深造。科室配备价值千万的飞利浦FD20大型数字减影血管造影机(DSA),拥有门诊-病区-介入手术室全套完整的微创介入诊疗体系。擅长介入微创治疗血管瘤、血管畸形,淋巴管瘤微创硬化治疗,儿童肿瘤介入灌注化疗和栓塞治疗,儿童输液港植入,食管狭窄球囊扩张,脑血管造影及全身大血管造影等先进的儿科介入诊疗技术。其中儿童视网膜母细胞瘤的介入治疗国内领先。我科介入治疗最小的患儿出生后3天,体重仅1.36kg。对儿童复杂脉管类畸形的诊治具有丰富的诊疗经验。发表文章10余篇,参编专著1部,参与河南省医学科技攻关项目3项,郑州市科技局科研项目1项。