丁香诊所:聂顺利
3,肺部症状
皮肌炎和多发性肌炎患者的肺部并发症很常见,也是炎症肌病患者的重要死因之一。常见的临床表现为呼吸困难、咳嗽。采用敏感性高的高分辨率CT、肺功能检查可在70%的患者发现肺部病变。
胸壁肌、膈肌等呼吸肌无力会带来严重的呼吸困难。肺功能检测会提示限制性肺病。肌无力的最严重信号是咽部肌肉受累。咽部肌肉无力会导致炎性肌病患者吞咽困难、甚至喝水都难以咽下。这往往同时带来吸入性肺炎;咽部肌肉无力一旦出现则死亡率明显偏高。
除呼吸肌无力外,肺部组织炎症也是重要原因。炎性肌病损伤肺部组织时表现为间质性肺疾病(interstitial lung disease, ILD)。根据肺部受累的病理可以分为:
-
非特异性间质性肺炎(nonspecific interstitial pneumonia, NSIP)
-
寻常型间质性肺炎(usual interstitial pneumonia, UIP)
-
机化性肺炎(organizing pneumonia, OP),
-
弥漫性肺泡损伤(diffuse alveolar damage, DAD),
患者的间质性肺疾病的出现时机不定。可以在皮疹、肌肉症状出现前,也可以同时或此后出现。少数人存在快速进展的肺部病变,例如急性间质性肺炎带来弥漫性肺泡损伤。但大多数患者表现轻微、进展缓慢。
每个拟诊皮肌炎或多发性肌炎的患者都应行高分辨率CT检查肺部。尽管肺间质病变患者可在吸气后期听到固定的音调偏高水泡音----velcro啰音。但并非所有肺间质病变都存在。单纯以肺部听诊正常就排除掉肺间质病变是错误的。
另外,考虑到肺部病变时机未定,因此所有拟诊特发性肺间质病变的患者都应评估皮肤、肌力、甲襞毛细血管显微镜检。以避免将风湿性疾病,比如炎性肌病漏诊。

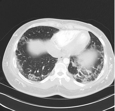
皮肌炎的胸部CT表现
4,其他脏器
关节:皮肌炎、皮肌炎也可以出现关节痛和关节炎。手足小关节的对称性关节炎最常见。在Jo-1抗体、其他抗合成酶抗体阳性的关节炎更常见。有时关节炎症状出现较早而易想到类风湿关节炎。关注到皮肤、肌力、甲襞毛细血管显微镜检则可以最大程度减少漏诊、延误诊断。
心脏:心电图检查可以看到传导异常、心律失常。但有确凿的心脏临床症状的较罕见。
胃肠道:舌肌、咽肌和食管下端肌肉无力较常见。15%到50%的患者存在胃食管反流。便秘、腹泻和腹痛也不少见。
5,特别关注
部分患者有典型皮肤表现但缺乏肌肉疾病的证据,表现为「无肌病性皮肌炎」。曾经以为这个现象少见,但新近研究认为可能被低估了。皮肌炎的少见皮肤症状是皮肤钙化,这常见于儿童。
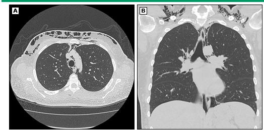
自发性纵隔积气是炎性肌病一种罕见但严重的并发症。皮肌炎更常见该并发症,尤其是「无肌病性皮肌炎」。有研究显示,约50%的自发性纵膈积气发生在「无肌病性皮肌炎」病人身上。纵隔积气的典型表现是急性发作的胸骨后胸痛伴皮下气肿。这时可以视察到颈部和面部肿胀。医生按压皮肤时有明显的「握雪感」,甚至可以听到沙沙的气体被挤压声音。

自发性纵膈积气
五,实验室及影像学检验
皮肌炎和多发于肌炎有数个特征性实验室检查。包括:
-
●肌酶升高。要跟心肌损伤鉴别时可查肌钙蛋白。肌酶通常可以反映肌病活动度,但它不提示肌力高低。同时当肌肉明显萎缩,肌病再活动时肌酶可能不高。
-
●自身抗体,包括抗核抗体,见于多达80%的皮肌炎和多发性肌炎患者;「肌炎特异性自身抗体」见于至少30%-40%的患者;还有肌炎相关性自身抗体,尤其是见于有重叠综合征的患者
-
●血清肌红蛋白和尿肌红蛋白水平增高。肌红蛋白很敏感,然而健康人的血清肌红蛋白昼夜波动大,活动强度变化后的变异率大,检测不普及。
红细胞沉降率(erythrocyte sedimentation rate, ESR)通常正常或仅轻度升高,即使是有活动性肌病的患者。
虽然「肌炎特异性自身抗体」并不在所有皮肌炎和多发性肌炎病人身上出现,但「肌炎特异性自身抗体」往往高度提示存在皮肌炎和多发性肌炎可能。「肌炎特异性自身抗体」可分为几类,包括:
-
●抗氨酰基-tRNA合成酶抗体(抗合成酶抗体),包括抗Jo-1抗体
-
●抗信号识别颗粒(signal recognition particle, SRP)抗体
-
●抗Mi-2抗体(一种核解螺旋酶)
除上述外,还有新近发现的一些肌炎抗体,但尚未广泛验证过,这里就不再多说。
除了上述临床征象、血清学检查外,要找到客观的肌肉炎症证据就必须做肌肉活检。尤其是对多发性肌炎应如此,因为没有肌肉活检的病理证据,你几乎不可能肯定区分「炎症性肌病」跟「肌营养不良」、「代谢性肌病」、神经性肌病。仅仅根据临床表现、肌酶就早早下定「炎症性肌病」诊断而予以激素等治疗是冒失草率的!因为部分肌营养不良症用激素治疗也可以看到轻度临床改善,这更容易误导医生的判断。
实际上笔者见识过不少把代谢性肌病、肌营养不良等等非炎性肌病误诊为多发性肌炎的病例。这个情况在儿童、青少年病人群尤为危险。因为肌肉病变人群里,儿童、青少年的非炎性肌病比例颇高。

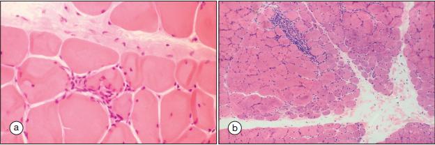
肌肉活检的光镜检查
但是如何做肌肉活检?仅仅根据症状就行肌肉活检是不妥的。尤其采用医生体检按压肌肉寻找肌肉活检部位。这是因为临床按压本身可能误导肌肉活检结果。为此,予以磁共振(MRI)检查肌肉是必要的。因为MRI对早期肌组织病变和钙质沉着敏感。采用T2加权和压脂序列可以清楚显示病变范围,提高肌电图及肌活检的阳性率。虽然「皮肌炎和多发性肌炎」临床表现为对称性近端肌肉受累,但MRI可以显现不均匀和不对称性。MRI阳性改变在一些血清肌酶正常的「皮肌炎和多发性肌炎」中亦不少见。因此, 可用于评估疾病活动性、 累及损害和对治疗的反应。

一儿童皮肌炎的MRI压脂图像显示,关注白色提示肌肉炎症
六,鉴别诊断
1,跟非炎性肌病鉴别
营养障碍性肌病(例如,Dysterlin缺乏性肌营养不良、面肩肱型急营养不良等)、运动神经元病、脊髓性肌肉萎缩、代谢性肌病(酸性麦芽糖酶缺乏、McArdle病、线粒体肌病)等等都可以表现为肌肉乏力、肌酶增高。这时肌肉活检是必须的鉴别手段。
2,内分泌肌病
库欣综合征、甲状腺功能亢进、甲状腺功能减退都可以导致肌无力、肌酶增高。尤其是甲状腺病变可以带来很高的肌酸激酶增高,由此带来的误诊并算少见。毕竟,甲亢、甲减带来的肌病远比皮肌炎、多发性肌炎常见。因为甲亢、甲减是常见病,而皮肌炎、多发性肌炎是罕见病。而前述的肌营养不良等也是罕见病。
3,包涵体肌炎
不少风湿病专著把包涵体肌炎列入炎性疾病范畴来讨论。但肌肉活检提示:肌纤维内淀粉样蛋白异常沉积----这提示为肌肉退行性病变。目前包涵体肌炎到底如何归类仍有较大争议。
跟皮肌炎和多发性肌炎相比较,包涵体肌炎的激素、免疫*制剂抑**治疗反应不佳。从这个角度来看,更早鉴别出包涵体肌炎对治疗有很好的指导价值。而包涵体肌炎跟皮肌炎和多发性肌炎的鉴别要点仍是肌肉活检。
4,其他肌病
在上一篇疾病机制讨论时就已经提到细菌、病毒感染可以导致肌病。因此这也是常见的鉴别点。而他汀类药物、青霉胺、齐多夫定(治疗HIV)等药物诱发的肌病也不可忽视。

他汀类药物是最常见的药物性肌病的病因
七,合并肿瘤的相关讨论
考虑到皮肌炎和多发性肌炎往往伴发恶性肿瘤,临床医生应该根据症状、家族史和年龄特征而「普选式」筛查恶性肿瘤。这是基于如下证据:
瑞典的一项研究纳入1963-1983年间被诊断为皮肌炎或多发性肌炎的788例患者,调查了癌症发病率和因癌症导致的死亡率。
-
392例皮肌炎患者中,在皮肌炎诊断的同时或诊断后诊断出癌症的患者有59例(15%)
-
396例多发性肌炎患者中,同时诊断或在多发性肌炎诊断后诊断出癌症的患者有37例(9%)
日本的皮肤科医生肥田野在1986年的论文里报道:1973到1983年的637例DM病人,发现癌症的有171人,共30%。法国1990年的研究证实,118例DM共有34例癌症,约28%。综上述,初步可认为,PM的癌症并发生率比DM低,但也相对同年龄段人群偏高。
一般来说,根据临床症状、实验室检查、肌肉活检后,「皮肌炎和多发性肌炎」即可确诊。确诊的同时还需要如上述筛查肿瘤可能。不但如此,一般认为「皮肌炎和多发性肌炎」除确诊当时需要筛查肿瘤外,追踪随访的3年内都需要定期筛查肿瘤。

皮肌炎患者应关注恶性肿瘤筛查
八,治疗
「皮肌炎和多发性肌炎」的治疗相对困难。目前的主流方案是大剂量激素治疗,然而激素的副反应颇为让人担心。尤其是糖皮质激素本身也可以引起肌肉萎缩。这对「皮肌炎和多发性肌炎」颇为不利。但治疗的少激素尝试很困难!临床视察证实,相对红斑狼疮而言,「皮肌炎和多发性肌炎」需要更大剂量、更长疗程的糖皮质激素治疗。为了减少激素副反应,免疫球蛋白冲击、联合甲氨蝶呤、环磷酰胺、硫唑嘌呤也是可选之一。羟氯喹也被引入皮肌炎的皮肤病变治疗,但对多发性肌炎似乎是无效的。
希望随着临床科学的进步,对「皮肌炎和多发性肌炎」治疗有新的突破性发展。
参考资料:
1, Kelley and Firestein's Textbook of Rheumatology(第 10 版)
2,Rheumatology(第 6 版)
3,Rook’s Textbook of Dermatology(第9版)
4,Uptodate文献数据库