肿瘤诊断是以病理结果作为最终的标准,而不是根据磁共振等影像诊断。只有根据肿瘤组织的病理诊断结果,才能制定出针对病因的最佳治疗方案。但是有时需要辩证的看待病理诊断结果,排除病理诊断中的一些干扰和不确定因素,才能使病理诊断结果真正符合肿瘤的本质与真相。

祁女士5个月前头颅磁共振发现脑部有个病变,当时就怀疑是恶性脑肿瘤,在当地医生的建议下进行了手术切除。但奇怪的是,手术切除的标本并没有看到明确的肿瘤细胞。这就使得后续的治疗陷入了困境,到底按照什么病来治疗呢?
如果按照磁共振怀疑的恶性肿瘤来治疗,但是手术切除下来标本的病理诊断不支持。也就是说,如果按照恶性肿瘤的方法来治疗一个良性的病变,病人就要忍受不必要的放疗和化疗,对身体造成严重的损害。而且,即使按照恶性肿瘤,又按照哪一种恶性肿瘤的治疗方案来治疗呢?另一方面,如果按照病理诊断的结果来处理,病人就不需要治疗肿瘤,那如果肿瘤真的就是恶性肿瘤呢,就会耽误治疗的机会,也会影响病人的治疗效果。
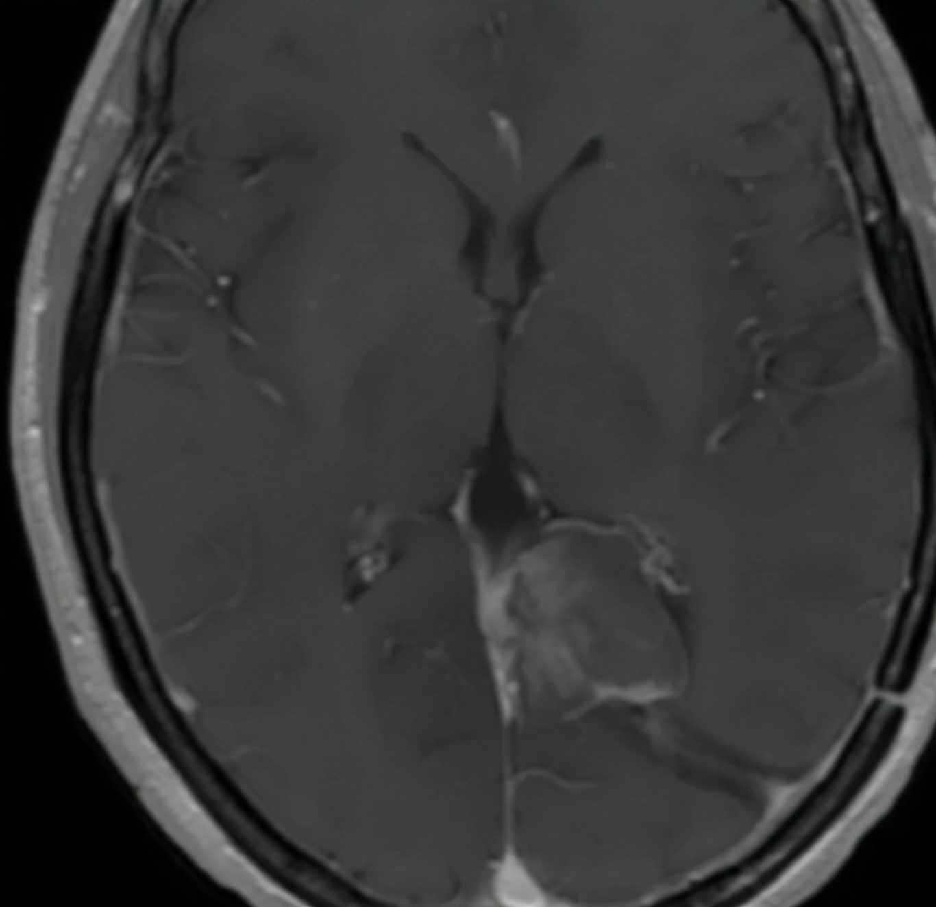
会不会是手术切除的标本中有肿瘤细胞,但是病理医生遗漏了呢?所以病人带着以前手术切除的病理标本来到广州中山大学附属肿瘤医院进行病理会诊,但也仅仅是看到胶质增生的改变,同样没有看到肿瘤细胞,治疗再次陷入困境。神经外科柯超医生团队通过分析病人手术后复查的磁共振片发现,病变还是显现比较典型的恶性肿瘤特征,之所以病理诊断无法明确,很可能是取材的部位不在肿瘤核心区域,所以病理医生难以诊断。

为了解决这个问题,建议病人再次手术,更多的切除肿瘤组织,一方面可以有更多核心的肿瘤组织标本便于诊断,另一方面也可以减少肿瘤体积,提高后续治疗的效果。经过这几个月的辗转,病人也理解了目前治疗的困境,选择了再次手术治疗,手术后顺利出院,手术中快速病理诊断考虑胶质瘤,2周后的常规病理诊断与之前的分析是一致的,是胶质瘤中的星形细胞瘤类型,局部呈间变性改变,也就是说是属于恶性胶质瘤中的一种。这样病人就能开始正规的放化疗控制肿瘤的生长与复发了。广州中山大学附属肿瘤医院神经外科柯超主诊教授指出,病理诊断结果是制定脑肿瘤个体化治疗方案的最重要依据,但是临床医生不能片面的只看某一种诊断结果,需要综合分析辩证看待各种检查结果,才能为脑肿瘤病人制定最佳治疗方案。